Bản án cuối cùng của việc nghiện thuốc lá trên 30 năm

Bệnh nhân ho kéo dài, nhiều lần mua thuốc nhưng không thấy đỡ. Bản thân cứ nghĩ mình chỉ viêm họng hạt hoặc viêm phế quản nhưng qua thăm khám nhận án tử ung thư phổi giai đoạn cuối. Đó là bệnh nhân Trần Văn Lưu, 61 tuổi, quê ở huyện Yên Dũng, tỉnh bắc Giang
“ Hút thuốc lá” con đường ngắn nhất dẫn đến ung thư phổi Thuốc lá và thuốc lá điện tử đều tổn hại nghiêm trọng đến sức khỏe của con người Giúp con cai thuốc lá thành công Các căn bệnh nguy hiểm do hút thuốc lá… Vấn nạn thuốc lá điện tử với trẻ vị thành niên

Cái kết đắng của thói quen hút thuốc

Sau những triệu chứng ho có đờm kéo dài hơn một tháng, người sốt nhẹ, chán ăn, sút cân, mất ngủ… khó thở không rõ nguyên nhân. Bệnh nhân tự ý đi mua thuốc kháng sinh điều trị viêm họng, ho và viêm phế quản rất nhiều lần. Nhưng kết qủa là chỉ thấy tình trạng ho tăng lên, kéo dài cơn hơn, ho khạc ra nhiều đờm màu trắng… Ông Trần Văn Lưu, 61 tuổi quê ở Yên Dũng, Bắc Giang có đi khám tại phòng khám tư nhân ở thị trấn gần nhà, ộng được chẩn đoán là có khối u lạ gây tổn thương phổi.

Ngày 1/8, Bệnh viện Đa khoa Bắc Giang tiếp nhận bệnh nhân cho biết: sau khi thăm khám ban đầu, ông Lưu được chỉ định chụp xquang phổi, sau đó bệnh nhân nhận được kết quả là có một khối u lạ trong phổi và được chỉ định chụp cắt lớp vi tính, thì phát hiện có khối u bên phổi trái gây tổn thương ở hai bên phổi, u tăng sinh nghi ngờ là ung thư phổi. Tiếp đó, ông Lưu được làm nội soi phế quản, sinh thiết tổn thương ở niêm mạc phế quản, phát hiện mắc ung thư phổi di căn tại phổi, gan. Bệnh bước vào giai đoạn muộn nên phác đồ điều trị không tối ưu, tiên lượng rất xấu.

Theo bác sĩ Nguyễn Xuân Trường BSCK1-Phó khoa Chẩn đoán hình ảnh Bệnh viện Đa khoa Bắc Giang cho biết: “ông Lưu là một trong rất nhiều các bệnh nhân có biểu hiện đi khám xong mới phát hiện ra ung thư phổi, chứ tâm lý tất cả mọi người chỉ nghĩ đơn giản ho là do bị viêm họng, do cảm cúm gây viêm phế quản, viêm phổi thông thường. Rồi đến khi bệnh tình trở nặng ko thuyên giảm thì bệnh nhân mới đi khám. Trong quá trình thăm khám bệnh nhân thì được biết bệnh nhân có thâm niên hút thuốc lá, thuốc lào hơn 30 năm nay”.

Bản án cuối cùng của việc nghiện thuốc lá trên 30 năm
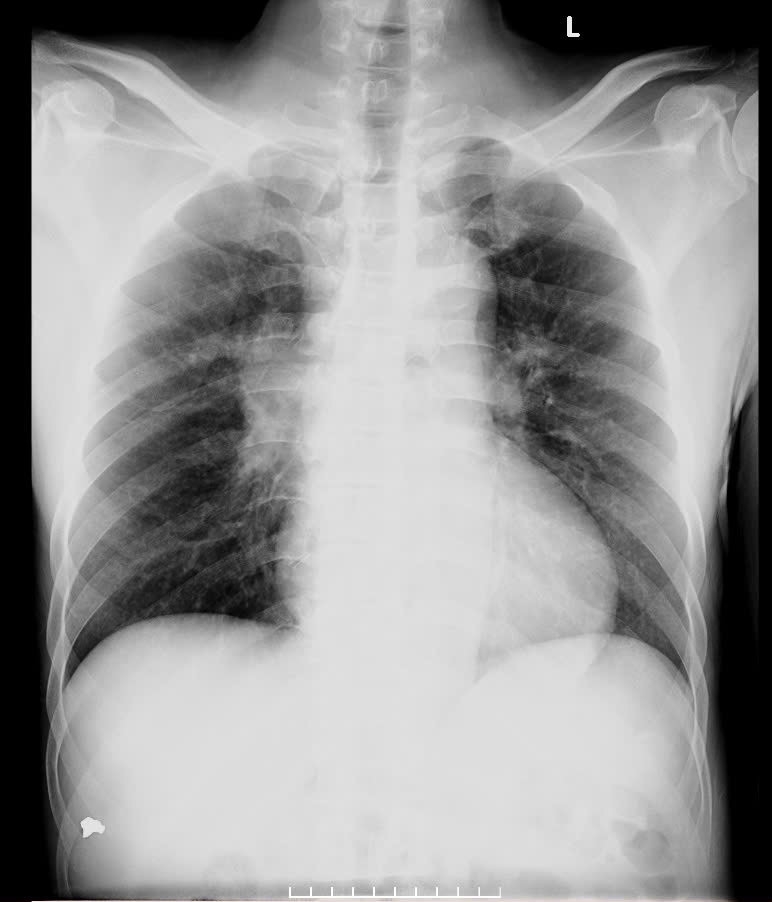
Bệnh viện Đa khoa Bắc Giang cung cấp hình ảnh Xquang của bệnh nhân Trần Văn Lưu

Vợ của ông Lưu là bà Hoa cho biết, chồng mình nghiện thuốc lá rất nặng. Ở nhà hai vợ chồng làm nghề cai thợ xây, đi xây là công việc tự do, nên thích hút thuốc lúc nào là hút, một ngày ông hút từ 1,5 đến 2 bao thuốc lá, chưa kể đến thuốc lào. Được biết ông Lưu hút thuốc từ khi còn thanh niên. Nhiều lần bà có khuyên bảo ông nên từ bỏ thuốc lá để đảm bảo sức khỏe. Nhưng do ông Lưu có hơn 30 năm hút thuốc lá, nên từ bỏ là rất khó. Đã rất nhiều lần ông ý thức được tác hại của việc hút thuốc lá nên ông cũng tự chủ động để cai thuốc lá, nhưng do hút nhiều năm nó vừa tạo thành thói quen vừa tạo thành cơn thèm, nên ông lại từ bỏ ý định cai thuốc lá và đã hút trở lại.

Giờ đây bản án ung thư giai đoạn cuối đã mang lại sự ân hận, dằn vặt của ông Lưu. Rằng tại sao mình không bỏ thuốc sớm hơn, không làm chủ được sức khỏe của bản thân. Để giờ đây bản thân mình chịu đau đớn và sau là khổ vợ con, người thân.

Thói quen hút thuốc lá gây nghiện như thế nào?

Theo ThS.BS CKII Vũ Xuân Huy, Phó Trưởng khoa Xạ tổng hợp Tân Triều, Bệnh viện K, có 2 nguyên nhân chính dẫn tới ung thư phổi. Thứ nhất chiếm 80% nguyên dân gây ung thư phổi là do sử dụng thuốc lá, thuốc lào. Thứ hai dẫn tới ung thư phổi là yếu tố di truyền, chiếm 20% tổng nguyên nhân gây nên căn bệnh này. Có những yếu tố di truyền do gen. Ví dụ như đột biến gen P53 gây ung thư trong đó có ung thư phổi, đột biến gen EGFR ở phụ nữ gây ung thư, hoặc những đột biến gen khác liên quan đến ung thư. Như vậy là chúng ta đã thấy ung thư phổi chủ yếu là do khói thuốc lá gây nên.

Khói thuốc lá chứa hơn 7.000 hóa chất, trong đó có khoảng hơn 70 hóa chất trong số này gây bệnh ung thư. Điển hình là những chất như Hydrocarbon thơm đa vòng (PAH), chất 3-4 benzopyzen là chất gây ung thư rất rõ trong thực nghiệm. Mọi người hay lầm tưởng Nicotine trong thuốc lá gây ung thư, tuy nhiên Nicotine chỉ là chất gây nghiện, các hóa chất Hydrocarbon thơm mới là các chất gây ung thư. Theo thống kê 90% nam giới bị ung thư liên quan tới thuốc lá. Với ung thư phổi ở nữ giới, chiếm 50-80% liên quan tới thuốc lá hút thụ động hoặc chủ động. Đối với trẻ em, hút thuốc thụ động gây viêm đường hô hấp, viêm tai giữa, làm nặng thêm các triệu chứng hen và là một trong những nguyên nhân gây đột tử ở trẻ sơ sinh.

Thông thường, khi chúng ta hít thở, không khí sẽ vào đường hô hấp trên qua mũi, miệng - nơi không khí được lọc, sưởi ấm và làm ẩm rồi đi qua khí quản để vào phổi. Khi khói thuốc đi vào miệng, người hút thuốc đã bỏ qua cơ chế bảo vệ thứ nhất là quá trình lọc ở mũi nên sẽ đưa nhiều độc tố vào cơ thể hơn.

Người hút thuốc lá thường bài tiết nhiều đờm hơn người không hút thuốc và khả năng đưa đờm ra khỏi đường hô hấp cũng kém hơn do hệ thống lông chuyển ở người hút thuốc bị liệt hoặc thậm chí đã bị phá hủy. Bên cạnh đó, khói thuốc làm thay đổi cấu trúc các tuyến tiết nhầy cũng như thành phần của chất nhầy. Đôi khi, các tuyến tiết nhầy bị tắc, làm giảm khả năng bài tiết đờm của người hút thuốc. Hậu quả chính là chất nhầy bị nhiễm nhiều chất độc hại từ khói thuốc, bị giữ lại trong phổi và cản trở sự lưu thông trao đổi không khí. Sự cản trở này lâu ngày sẽ làm cho phổi dễ nhiễm vi rút, vi khuẩn tạo nên u nhú rồi gây ra tổn thương và ung thư phổi.

Kết quả nhiều nghiên cứu cho thấy nguy cơ mắc ung thư phổi của những người có thói quen hút thuốc lá cao gấp 20 đến 30 lần so với những người không hút thuốc.Chúng ta cần hiểu thuốc lá thông thường, thuốc lá điện tử hay bất kỳ các sản phẩm thuốc lá nào cũng chứa nhiều độc tố nguy hiểm. Điều tốt mà chúng ta có thể làm để bảo vệ sức khỏe của mình là bỏ thuốc lá hoàn toàn, tránh xa môi trường có khói thuốc lá. Đừng dành quãng đời còn lại để nghiện nicotine. Hàng ngàn người đã từ bỏ được thói quen hút thuốc lá mỗi năm và bạn nên là một trong số họ. Điều này có thể không dễ dàng, nhưng vì bản thân và những người xung quanh thì bạn sẽ làm được!

Nguyễn Hải

Tin liên quan

Cùng chuyên mục

Lễ Khánh lão xưa

Lễ Khánh lão xưa

Nhân dân ta vốn có truyền thống kính trọng cha mẹ, ông bà và NCT. Gặp bậc cao niên, người ta thường có câu chúc kính lão đắc thọ, hoặc lời khuyên với lớp trẻ kính già, già để tuổi cho - để nhắc nhở mọi người tôn kính NCT.
Tuổi già được gì mất gì

Tuổi già được gì mất gì

Cả một đời lao tâm, khổ tứ, vất vả ngược xuôi, đến khi về già đã bao giờ ta tự hỏi mình còn lại gì chưa? Bằng lòng hay tiếc nuối, hạnh phúc hay đau khổ? Giá như thời gian quay trở lại, chắc chắn ta sẽ nghĩ khác và sẽ sống khác đi...
Đừng làm ba mẹ buồn

Đừng làm ba mẹ buồn

Ba mẹ là những người cả đời cần mẫn làm việc, sẵn sàng hi sinh cho con cái được ăn ngon, mặc đẹp, học hành tử tế.
Hạnh phúc của tuổi già

Hạnh phúc của tuổi già

Con người ta, ai rồi cũng đến tuổi già, hạnh phúc lớn nhất của người già là có sức khỏe, sống một cuộc sống vui vẻ, với một tinh thần lạc quan, yêu đời...
Cần phải biết giải tỏa cảm xúc

Cần phải biết giải tỏa cảm xúc

Trong cuộc sống, nhiều người (trong đó có NCT) không kiềm chế được những cơn thịnh nộ (nóng tính), để nó bùng phát tự do tuy có thể bị mọi người xa lánh, làm tổn thương đến mối quan hệ với mọi người, nhưng theo các chuyên gia về tâm lí, sức khỏe, chính những người này lại sống lâu hơn (!?)

Tin khác

Lòng tốt, việc tốt sẽ đẩy lùi cái xấu

Lòng tốt, việc tốt sẽ đẩy lùi cái xấu
Tối thứ Sáu tại nhà ga đi qua khu mỏ thuộc vùng núi ở Chicago, chỉ còn 10 phút nữa là chuyến tàu cuối cùng trong ngày sẽ chạy. Hành khách hầu hết là thợ mỏ, họ trở về với gia đình sau một tuần làm việc, vì vậy ai cũng vội vã.

Từ trụ cột năng lượng đến điểm tựa cộng đồng

Từ trụ cột năng lượng đến điểm tựa cộng đồng
Với hàng triệu tỷ đồng nộp ngân sách và hàng vạn việc làm được tạo ra, Tập đoàn Công nghiệp - Năng lượng Quốc gia Việt Nam (Petrovietnam) không chỉ là trụ cột năng lượng mà còn là điểm tựa của cộng đồng.

Chuyện của những người già

Chuyện của những người già
Nuôi con khôn lớn để có nơi nương tựa khi về già, nhưng cuộc sống đôi khi không như mong muốn, thậm chí còn dập tắt hi vọng. Tôi từng nghe nói “nhà của cha mẹ là nhà của con, nhà của con không phải là nhà của cha mẹ”. Ban đầu tôi không tin, cho đến khi được nghe câu chuyện của những người già, tôi mới ngộ, lời nói trên không phải không có cơ sở...

Nỗi niềm của ông bạn già

Nỗi niềm của ông bạn già
“Anh bây giờ sống để chờ chết thôi cô ạ! Nhiều đêm nằm chả ngủ được, cứ lặng đi trong nỗi cô đơn!”. Nghe ông bạn già chia sẻ, lòng tôi bỗng chùng xuống. Tính nhẩm ra ông bạn già đã 11 năm lẻ bóng trong ngôi nhà của chính mình…

Đôi điều về người khôn

Đôi điều về người khôn
Người xưa dạy: Người khôn không hơn thua với trẻ nhỏ, không cứng nhắc với người yếu thế. Người khôn không cần giữ nhiều. Không phân định đúng sai trong lúc nóng giận. Người sâu sắc không để lời khen làm lệch hướng của mình. Họ không sống, điều chỉnh theo miệng của người khác. Không bị dao động giữa những lời thị phi...

Nỗi niềm, trăn trở của người già

Nỗi niềm, trăn trở của người già
Tuổi già là quãng thời gian mà con người nhìn lại hành trình đã qua, đồng thời cũng là lúc cảm nhận rõ rệt sự thay đổi trong cơ thể, tâm trí và các mối quan hệ xung quanh. Những nỗi niềm, trăn trở, đôi khi là niềm vui giản dị, là tâm tư của những người đã đi qua nhiều giai đoạn của cuộc đời...

Về già dựa vào ai?

Về già dựa vào ai?
Điều mong muốn nhất khi về già là được sống an yên thảnh thơi cho đến khi nhắm mắt xuôi tay...

Sống tốt mỗi ngày

Sống tốt mỗi ngày
Bước qua tuổi 80, tôi nghĩ sống được đến tuổi này là hạnh phúc lắm rồi. Tôi thường nhắc mình bỏ qua mọi lo lắng phiền muộn, vui vẻ lên mà sống...

Để già mà không lão

Để già mà không lão
Tuổi già ví như mặt trời khi lên cao nhất, cũng là tuổi tích lũy được nhiều kinh nghiệm nhất vì đã ngộ ra nhiều điều trong cuộc sống...

Sống buông... là nhẹ!

Sống buông... là nhẹ!
Cuộc đời như một cuộc hành trình. Mỗi người mang vác trên vai nặng hay nhẹ đều phụ thuộc vào chính họ. Và người đời thì dạy: Muốn sống nhẹ nhàng thì phải buông tay, hay “sống buông là nhẹ”!

Mối nguy của thuốc lá điện tử dưới góc nhìn chuyên gia

Mối nguy của thuốc lá điện tử dưới góc nhìn chuyên gia
Những năm gần đây, hình ảnh thanh thiếu niên cầm trên tay chiếc thuốc lá điện tử, nhả khói với nhiều hương vị và kiểu dáng “thời thượng” không còn xa lạ. Tưởng chừng vô hại, song đằng sau làn khói trắng đó là một mối nguy mới âm thầm đe dọa sức khỏe thế hệ trẻ Việt Nam. Các chuyên gia đầu ngành trong y học, tâm lý, giáo dục và pháp lý đều bày tỏ quan ngại sâu sắc về tốc độ lan rộng và hậu quả của thuốc lá điện tử (TLĐT) đối với thanh thiếu niên hiện nay.

Thuốc lá thế hệ mới: Lời cảnh tỉnh từ một người trẻ

Thuốc lá thế hệ mới: Lời cảnh tỉnh từ một người trẻ
Chỉ vì tò mò và tin vào lời quảng cáo ‘thuốc lá điện tử an toàn, không độc hại’, Nguyễn Đức Long, 23 tuổi, đã rơi vào cơn nghiện nicotine lúc nào không hay. Câu chuyện của Long không phải cá biệt, mà là hồi chuông cảnh tỉnh cho nhiều bạn trẻ đang bị cuốn vào làn khói ảo mang tên thuốc lá thế hệ mới.

Giúp người là đức, chịu thiệt được phúc

Giúp người là đức, chịu thiệt được phúc
Trong cuộc sống, không ít người “sợ bị thiệt”, ai cũng muốn phần hơn, phần tốt về mình. Tuy nhiên, những phẩm chất đạo đức như lòng nhân ái, sự nhẫn nại, im lặng, chịu thiệt đúng lúc luôn được đề cao. Điều đó không chỉ là kim chỉ nam giúp con người sống thiện lành mà còn là nguyên tắc giúp mỗi người đạt được sự bình an...

Dạy con cần kiên trì, lấy tình thương làm gốc

Dạy con cần kiên trì, lấy tình thương làm gốc
Bà Nguyễn Thị Lợi, 68 tuổi, Chi hội trưởng Chi hội Phụ nữ thôn Phúc Linh, xã Xuân Vân, tỉnh Tuyên Quang, luôn được mọi người quý mến và kính trọng. Với tinh thần trách nhiệm, tận tụy trong công tác Hội, bà còn là tấm gương sáng trong phong trào “Xây dựng gia đình văn hóa”...

Chuyến tàu cuộc đời

Chuyến tàu cuộc đời
Chúng ta vẫn thường nghe nói rằng: “Cuộc đời là hành trình của một chuyến đi”, ngẫm nghĩ cho kĩ thì thấy đúng là như vậy thật, mỗi người trong chúng ta đều đi trên chuyến tàu của cuộc đời mình...
Xem thêm
Lữ đoàn 125, Vùng 2 Hải quân chủ động chuẩn bị bầu cử đại biểu Quốc hội khóa XVI và HĐND các cấp

Lữ đoàn 125, Vùng 2 Hải quân chủ động chuẩn bị bầu cử đại biểu Quốc hội khóa XVI và HĐND các cấp

Trong không khí phấn khởi hướng về ngày hội lớn của toàn dân tộc, cán bộ, chiến sĩ Lữ đoàn 125, Vùng 2 Hải quân đang tích cực, khẩn trương triển khai đồng bộ các mặt công tác chuẩn bị cho cuộc bầu cử đại biểu Quốc hội khóa XVI và đại biểu Hội đồng nhân dân các cấp, nhiệm kỳ 2026 – 2031.
Gìn giữ cội nguồn, lan tỏa giá trị văn hóa dòng họ

Gìn giữ cội nguồn, lan tỏa giá trị văn hóa dòng họ

Ngày 4/3/2026, tại xã Đồng Lương, tỉnh Phú Thọ, con cháu họ Vi trong và ngoài địa phương đã trang trọng tổ chức Lễ Giỗ Tổ năm Bính Ngọ 2026. Đây là hoạt động có ý nghĩa thiết thực nhằm tri ân công đức Tổ tiên, giáo dục truyền thống “Uống nước nhớ nguồn”,
Ứng cử viên Đặng Sơn Lâm với cam kết hành động vì một Tân Hưng an toàn, văn minh, nghĩa tình

Ứng cử viên Đặng Sơn Lâm với cam kết hành động vì một Tân Hưng an toàn, văn minh, nghĩa tình

Trình bày chương trình hành động trước cử tri, ông Đặng Sơn Lâm – Trưởng Công an phường Tân Hưng, TP. Hồ Chí Minh – khẳng định quyết tâm phát huy kinh nghiệm hơn 30 năm công tác trong lực lượng Công an Nhân dân để góp phần xây dựng địa phương an toàn, ổn định và phát triển bền vững.
Trường Mầm non Sao Sáng: Giáo dục văn hóa truyền thống cho trẻ qua hoạt động trải nghiệm “Chợ Tết”

Trường Mầm non Sao Sáng: Giáo dục văn hóa truyền thống cho trẻ qua hoạt động trải nghiệm “Chợ Tết”

Trường Mầm non Sao Sáng (xã An Lão, thành phố Hải Phòng) vừa tổ chức hoạt động trải nghiệm với chủ đề “Chợ Tết”. Chương trình nhằm tạo môi trường học tập sinh động, giúp trẻ mầm non được tiếp cận, tìm hiểu và cảm nhận những nét đẹp truyền thống của Tết cổ truyền Việt Nam thông qua các hoạt động thực hành, trải nghiệm trực tiếp.
Lan tỏa giá trị văn hóa qua chuyên đề “Lễ hội ánh sáng – Xuân sắc quê hương”

Lan tỏa giá trị văn hóa qua chuyên đề “Lễ hội ánh sáng – Xuân sắc quê hương”

Trường Tiểu học Kiền Bái (phường Thiên Hương, TP Hải Phòng) vừa tổ chức chuyên đề cấp thành phố với chủ đề “Lễ hội ánh sáng – Xuân sắc quê hương”. Chương trình không chỉ là một ngày hội văn hóa, nghệ thuật của cô trò nhà trường mà còn là hoạt động giáo dục giàu ý nghĩa, góp phần bồi đắp tình yêu quê hương, gìn giữ bản sắc truyền thống và khơi dậy niềm tin vào tương lai cho các em học sinh.
Trường THPT Lê Văn Thịnh: Điểm sáng giáo dục của vùng Kinh Bắc

Trường THPT Lê Văn Thịnh: Điểm sáng giáo dục của vùng Kinh Bắc

Trường THPT Lê Văn Thịnh là một trong những cơ sở giáo dục phổ thông có bề dày xây dựng và phát triển, tiêu biểu cho quá trình đổi mới, nâng cao chất lượng giáo dục toàn diện của ngành Giáo dục và Đào tạo Bắc Ninh.
Xã Phú Khê rộn ràng hướng tới Ngày bầu cử đại biểu Quốc hội khóa XVI

Xã Phú Khê rộn ràng hướng tới Ngày bầu cử đại biểu Quốc hội khóa XVI

Những ngày đầu tháng Ba, về xã Phú Khê (tỉnh Phú Thọ), dễ dàng cảm nhận không khí rộn ràng, phấn khởi đang lan tỏa khắp các tuyến đường trung tâm, khu dân cư và nhà văn hóa. Cờ Tổ quốc tung bay đỏ thắm, băng rôn, khẩu hiệu tuyên truyền được treo trang trọ
Trẩy Hội Lim – theo câu Quan họ du xuân vùng Kinh Bắc

Trẩy Hội Lim – theo câu Quan họ du xuân vùng Kinh Bắc

Dòng người đổ về trong sắc xuân tươi mới, mang theo tâm trạng háo hức, ngóng đợi với Hội Lim – lễ hội mùa xuân đặc sắc bậc nhất vùng Kinh Bắc
Triển khai kế hoạch đón Tết an toàn - vui tươi - lành mạnh

Triển khai kế hoạch đón Tết an toàn - vui tươi - lành mạnh

UBND xã Thăng Bình (tỉnh Thanh Hóa) đã và đang triển khai nhiều giải pháp trọng tâm, toàn diện nhằm bảo đảm cho Nhân dân trên địa bàn đón Tết cổ truyền của dân tộc trong không khí vui tươi, an toàn, lành mạnh.
Phiên bản di động