Bộ Y tế chỉ đạo tăng cường quản lý, nâng cao chất lượng khám chữa bệnh

Y tế 11/07/2025 18:03
Tiền sử bệnh nhân đã phẫu thuật tuyến giáp năm 2007, được theo dõi định kỳ với chẩn đoán u lành. Tuy nhiên, trong 10 năm trở lại đây, bà phải điều trị suy tim độ III. Gần đây, khối u vùng cổ của bà to dần, kèm theo khó thở nhẹ. Tình trạng chuyển biến xấu nhanh chóng hai ngày trước khi nhập viện, khi bệnh nhân xuất hiện nuốt vướng, khó thở rít dữ dội phải ngủ ở tư thế ngồi.
![]() |
![]() |
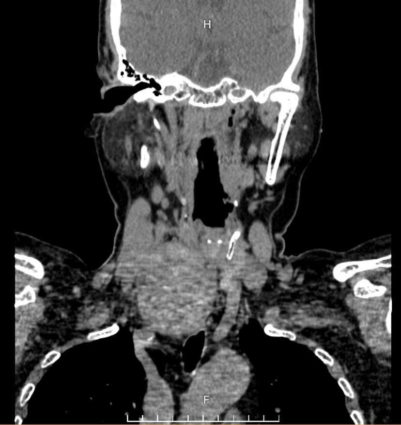
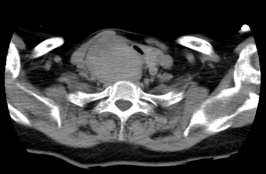
Khối u chèn ép khí quản và thực quản |
Sau khi được chuyển từ Bệnh viện Tim Hà Nội, các bác sĩ Bệnh viện Ung Bướu Hà Nội xác định bệnh nhân có khối u thùy phải tuyến giáp kích thước 6x8cm, nằm kẹt giữa thực quản và khí quản. Khối u này đã chèn ép khí quản đến mức đường thở chỉ còn khoảng 2mm trên đoạn dài 20mm, gây biến dạng giải phẫu nghiêm trọng. Khí quản của bệnh nhân còn bị đẩy lệch trái 2cm, xẹp và dễ co thắt, khiến việc tiếp cận phẫu thuật vô cùng khó khăn. Đặc biệt, khối u tăng sinh mạch rất mạnh, tiềm ẩn nguy cơ chảy máu cao trong và sau mổ.
Ngay lập tức, một cuộc hội chẩn liên chuyên khoa giữa Khoa Ngoại Đầu cổ và Khoa Gây mê hồi sức đã được tiến hành. Dưới sự chỉ đạo quyết liệt của Ban Giám đốc bệnh viện, các bác sĩ đã thống nhất phương án phẫu thuật cấp cứu, bất chấp nguy cơ tử vong cao nếu không can thiệp.
TS.BS Đàm Trọng Nghĩa, Trưởng khoa Ngoại Đầu cổ, nhận định: “Đây là khối u lành tính nhưng vị trí cực kỳ hiếm gặp và phức tạp. Bệnh nhân còn có nhiều yếu tố nguy cơ như tuổi cao, tiền sử mổ giáp, bệnh tim mạch và viêm phổi hai bên. Toàn bộ quá trình gây mê, phẫu thuật và hồi sức đều đòi hỏi sự cẩn trọng tối đa.”
BSCKII Hà Kim Hảo, Trưởng khoa Gây mê hồi sức, chia sẻ thêm về thách thức: “Việc đặt nội khí quản gây mê cực kỳ khó khăn do khí quản bị di lệch nhiều và đường thở quá hẹp, buộc phải sử dụng ống nội khí quản kích thước nhỏ. Bên cạnh đó, tiền sử suy tim độ III của bệnh nhân cũng là một yếu tố cần được kiểm soát chặt chẽ.”
Trước ca mổ, bệnh nhân được điều trị tích cực bằng thở oxy, kháng sinh, corticoid chống viêm, đồng thời các thuốc và trang thiết bị cấp cứu được chuẩn bị đầy đủ, cùng với việc đánh giá kỹ lưỡng tình trạng tim phổi.
![]() |
Ê-kíp BS Bệnh viện Ung bướu Hà Nội phẫu thuật cho bệnh nhân. |
Ca phẫu thuật kéo dài hơn 3 tiếng, ekip phải "đi ngược dòng", lần theo cấu trúc giải phẫu đã biến dạng để tiếp cận khối u. Trong suốt quá trình, các bác sĩ đã kiểm soát mạch máu, cầm máu triệt để và bóc tách tỉ mỉ để loại bỏ hoàn toàn khối u mà không làm tổn thương các cơ quan lân cận như thực quản, khí quản, thanh quản. Điều đáng nói là bệnh nhân không cần phải mở khí quản – một thủ thuật thường thấy trong các ca khó tương tự.
Sau mổ, bệnh nhân tiếp tục được chăm sóc tại đơn vị hồi sức tích cực. Chỉ sau 3 ngày, điều kỳ diệu đã đến: bệnh nhân có thể tự thở, ăn uống và sinh hoạt bình thường trở lại.
![]() |
Ca phẫu thuật thành công này không chỉ cứu sống một mạng người mà còn khẳng định năng lực chuyên môn cao và tinh thần trách nhiệm của đội ngũ y bác sĩ Bệnh viện Ung Bướu Hà Nội. Đây là minh chứng rõ ràng cho nỗ lực không ngừng của y tế chuyên sâu trong việc xử lý các ca bệnh phức tạp khác, khẳng định vị thế của y tế Việt Nam trong việc ứng dụng công nghệ để nâng cao chất lượng điều trị và cuộc sống cho bệnh nhân.