Can thiệp mạch vành trong “giờ vàng” cứu sống bệnh nhân nhồi máu cơ tim cấp người nước ngoài

Bệnh nhân 37 tuổi quốc tịch Trung Quốc bị nhồi máu cơ tim cấp nguy kịch đã được các bác sĩ Bệnh viện Hữu nghị Đa khoa Nghệ An can thiệp kịp thời, tái thông mạch vành thành công và hồi phục nhanh sau 4 ngày điều trị.

Tiếp cận nhanh, chẩn đoán chính xác trong cấp cứu tim mạch

Nhồi máu cơ tim cấp là một trong những nguyên nhân hàng đầu gây tử vong trên toàn cầu, đặc biệt trong bối cảnh bệnh tim mạch ngày càng có xu hướng trẻ hóa. Việc phát hiện sớm và xử trí kịp thời đóng vai trò quyết định đến khả năng sống còn và chất lượng cuộc sống của người bệnh.

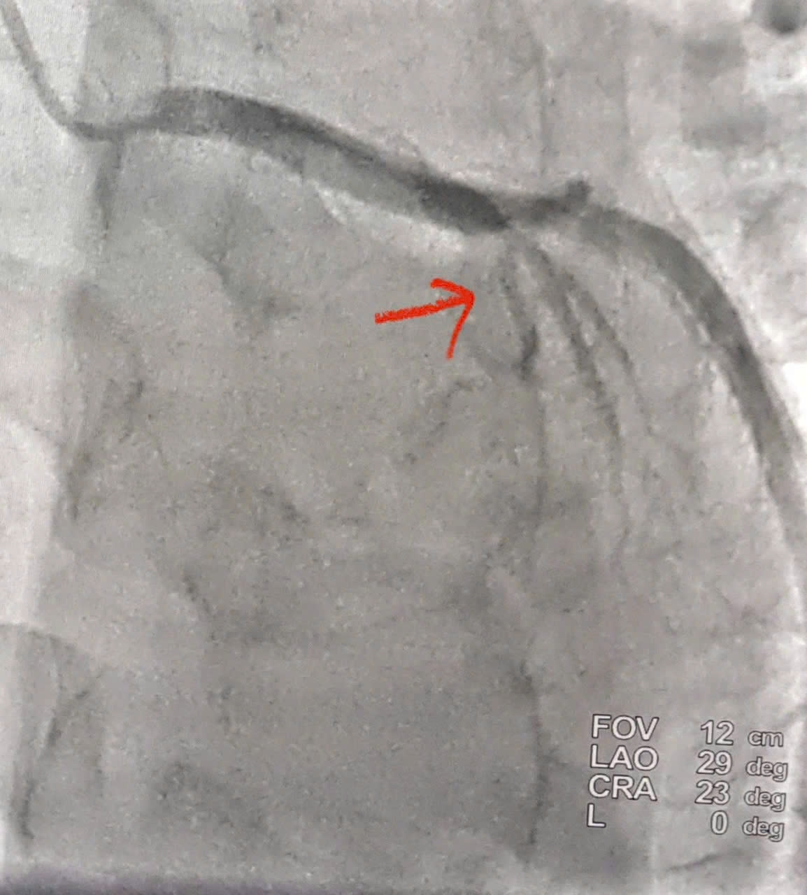
Hình ảnh tắc động mạch liên thất trước đoạn 2 (LADII) (Hình mũi tên đỏ) khi nhập viện tại Bệnh viện đa khoa Nghệ An
Hình ảnh tắc động mạch liên thất trước đoạn 2 (LADII) (Hình mũi tên đỏ) khi nhập viện tại Bệnh viện đa khoa Nghệ An

Ngày 09/4/2026, bệnh nhân nam 37 tuổi, quốc tịch Trung Quốc, nhập viện trong tình trạng đau tức ngực trái lan lên vai và tay trái, kèm khó thở – những triệu chứng điển hình của nhồi máu cơ tim. Khai thác tiền sử cho thấy bệnh nhân hút thuốc lá nhiều năm, đây là yếu tố nguy cơ quan trọng dẫn đến xơ vữa động mạch vành.

Ngay khi tiếp nhận, các bác sĩ Khoa Cấp cứu đã khẩn trương triển khai quy trình cấp cứu nhồi máu cơ tim: thăm khám lâm sàng, làm điện tim, xét nghiệm và hội chẩn chuyên khoa tim mạch. Kết quả xác định bệnh nhân bị nhồi máu cơ tim cấp thành trước – thể bệnh nặng, có nguy cơ nhanh chóng dẫn đến sốc tim và tử vong nếu không được xử trí kịp thời.

Can thiệp trong “giờ vàng”, hồi phục nhanh nhờ kỹ thuật hiện đại

Bệnh nhân được chỉ định chụp động mạch vành cấp cứu bằng hệ thống chụp mạch số hóa xóa nền (DSA) qua đường động mạch quay phải – phương pháp hiện đại, ít xâm lấn, giúp rút ngắn thời gian can thiệp và giảm biến chứng.

Kết quả chụp cho thấy tắc hoàn toàn động mạch liên thất trước đoạn II (LAD II) – nhánh mạch vành quan trọng nuôi phần lớn cơ tim thất trái. Ê-kíp can thiệp đã nhanh chóng tiến hành nong bóng và đặt một stent phủ thuốc tại vị trí tổn thương. Sau can thiệp, dòng máu được tái lập ngay, cải thiện rõ rệt tình trạng thiếu máu cơ tim.

Can thiệp mạch vành trong “giờ vàng” cứu sống bệnh nhân nhồi máu cơ tim cấp người nước ngoài
Bệnh nhân được đội ngũ y, bác sỹ Bệnh viện đ khoa Nghệ An can thiệp y khoa kịp thời

Trong cấp cứu nhồi máu cơ tim, thời gian là yếu tố then chốt. Mỗi phút trôi qua là một phần cơ tim bị hoại tử, do đó tái thông mạch càng sớm càng giúp bảo tồn chức năng tim và giảm nguy cơ biến chứng.

Sau can thiệp, bệnh nhân được theo dõi và điều trị nội khoa tích cực. Nhờ can thiệp kịp thời và áp dụng kỹ thuật hiện đại, người bệnh hồi phục nhanh, giảm đau rõ rệt, không xuất hiện biến chứng nặng. Đến ngày 13/4/2026, sau 4 ngày điều trị, tình trạng ổn định và được xuất viện.

Can thiệp mạch vành trong “giờ vàng” cứu sống bệnh nhân nhồi máu cơ tim cấp người nước ngoài
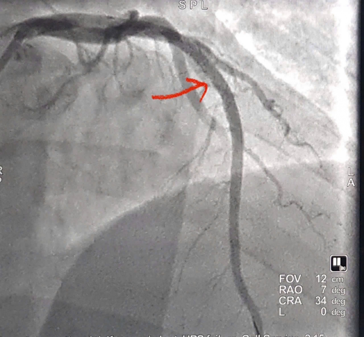
Hình ảnh động mạch vành được tái thông sau điều trị tại Bệnh viện đa khoa Nghệ An

Trường hợp bệnh nhân trẻ tuổi này tiếp tục là lời cảnh báo về xu hướng trẻ hóa của bệnh lý tim mạch. Các yếu tố nguy cơ như hút thuốc lá, căng thẳng kéo dài, chế độ ăn uống không lành mạnh và ít vận động đang làm gia tăng tỷ lệ mắc bệnh ở người trẻ. Các chuyên gia khuyến cáo, khi xuất hiện các triệu chứng như đau ngực, khó thở, vã mồ hôi hoặc buồn nôn, người dân cần đến ngay cơ sở y tế có khả năng can thiệp tim mạch để được xử trí kịp thời.

Thành công của ca can thiệp không chỉ cứu sống người bệnh mà còn khẳng định năng lực chuyên môn, khả năng làm chủ kỹ thuật cao của đội ngũ bác sĩ Khoa Nội Tim mạch 2 nói riêng và Bệnh viện Hữu nghị Đa khoa Nghệ An nói chung, góp phần nâng cao chất lượng điều trị tại địa phương.

Hiền Mai

Tin liên quan

Cùng chuyên mục

Tiến bộ nhãn khoa: Cá nhân hóa điều trị, nâng cao chất lượng thị lực trong kỷ nguyên số

Tiến bộ nhãn khoa: Cá nhân hóa điều trị, nâng cao chất lượng thị lực trong kỷ nguyên số

Hội thảo quốc tế của Bệnh viện Mắt Quốc tế DND cập nhật xu hướng chẩn đoán, phẫu thuật và điều trị hiện đại.
Bộ Y tế: Từ 2026, người dân được khám sức khỏe miễn phí mỗi năm một lần

Bộ Y tế: Từ 2026, người dân được khám sức khỏe miễn phí mỗi năm một lần

Bộ Y tế vừa ban hành kế hoạch triển khai khám sức khỏe định kỳ hoặc sàng lọc miễn phí hằng năm cho người dân, hướng tới phát hiện sớm bệnh tật, giảm chi phí điều trị và xây dựng hệ thống quản lý sức khỏe toàn dân, liên tục theo vòng đời.
Bác sĩ Bạch Mai xử trí khẩn cấp ca nghi đột quỵ trên chuyến bay Hà Nội - Paris

Bác sĩ Bạch Mai xử trí khẩn cấp ca nghi đột quỵ trên chuyến bay Hà Nội - Paris

Vượt qua điều kiện y tế hạn chế trên máy bay, GS.TS.BS Mai Duy Tôn - Giám đốc Trung tâm Đột quỵ, Bệnh viện Bạch Mai đã kịp thời thăm khám, xử trí một trường hợp hành khách nước ngoài có dấu hiệu liệt mặt nghi đột quỵ, giúp chuyến bay không phải hạ cánh khẩn cấp.
Già hóa dân số mở cơ hội cho du lịch y tế tại Hà Nội

Già hóa dân số mở cơ hội cho du lịch y tế tại Hà Nội

Trong bối cảnh dân số già hóa nhanh, Hà Nội đang chuyển hướng mạnh mẽ từ “chữa bệnh” sang “chăm sóc sức khỏe toàn diện”. Đáng chú ý, mô hình du lịch y tế được đặt lên bàn nghiên cứu như một hướng đi mới - không chỉ phục vụ người dân mà còn mở ra cơ hội đưa Thủ đô trở thành điểm đến chăm sóc sức khỏe của khu vực.
Hà Nội: Khám sàng lọc sức khỏe miễn phí cho cán bộ Hội NCT phường Phú Diễn

Hà Nội: Khám sàng lọc sức khỏe miễn phí cho cán bộ Hội NCT phường Phú Diễn

Hướng tới chăm sóc sức khỏe người cao tuổi từ sớm, từ xa, Hội Người cao tuổi phường Phú Diễn (Hà Nội) vừa phối hợp tổ chức chương trình khám sàng lọc miễn phí cho cán bộ Hội và hội viên nòng cốt. Hoạt động không chỉ mang ý nghĩa tri ân mà còn giúp phát hiện sớm nhiều bệnh lý nguy hiểm.

Tin khác

Ngạt mũi và táo bón kéo dài, người đàn ông ngỡ ngàng nhận "án" 2 ung thư cùng lúc

Ngạt mũi và táo bón kéo dài, người đàn ông ngỡ ngàng nhận "án" 2 ung thư cùng lúc
Nam bệnh nhân 68 tuổi, tiền sử hoàn toàn khỏe mạnh, bất ngờ rơi vào tình huống đặc biệt khi được chẩn đoán đồng thời hai bệnh ung thư nguyên phát độc lập - một trường hợp hiếm gặp trong thực hành lâm sàng.

Phát động Tháng hành động vì an toàn thực phẩm 2026: Siết chặt từ “điểm nóng” TP Hồ Chí Minh

Phát động Tháng hành động vì an toàn thực phẩm 2026: Siết chặt từ “điểm nóng” TP Hồ Chí Minh
Sáng 16/4, tại TP Hồ Chí Minh, Bộ Y tế phối hợp với các bộ, ngành và UBND TP Hồ Chí Minh tổ chức lễ phát động Tháng hành động vì an toàn thực phẩm năm 2026. Sự kiện mở đầu cho đợt cao điểm triển khai đồng bộ trên cả nước, hướng tới mục tiêu bảo vệ sức khỏe người dân từ những bữa ăn hằng ngày.

Tăng cường liên kết chuyên khoa, nâng chất lượng chăm sóc người cao tuổi

Tăng cường liên kết chuyên khoa, nâng chất lượng chăm sóc người cao tuổi
Chiều 14/4, Bệnh viện Hữu Nghị và Bệnh viện Răng Hàm Mặt Trung ương Hà Nội ký kết thỏa thuận hợp tác chuyên môn, hướng tới nâng cao hiệu quả khám, chữa bệnh và chăm sóc sức khỏe răng miệng, đặc biệt cho bệnh nhân là người cao tuổi.

Lựa chọn cân điện tử thông minh phù hợp cho người cao tuổi

Lựa chọn cân điện tử thông minh phù hợp cho người cao tuổi
Nhu cầu chăm sóc sức khỏe tại nhà ngày càng tăng, đặc biệt ở người cao tuổi, cân điện tử thông minh đang trở thành một thiết bị hữu ích, dễ sử dụng và mang lại nhiều giá trị thiết thực. Không chỉ đơn thuần đo cân nặng, sản phẩm này còn giúp theo dõi nhiều chỉ số quan trọng của cơ thể, hỗ trợ người dùng kiểm soát sức khỏe một cách chủ động và khoa học.

Ngày Sức khỏe toàn dân: Long Châu phát huy “cánh tay nối dài” của ngành y tế, chủ động phòng ngừa và quản lý đột quỵ

Ngày Sức khỏe toàn dân: Long Châu phát huy “cánh tay nối dài” của ngành y tế, chủ động phòng ngừa và quản lý đột quỵ
Hưởng ứng Ngày Sức khỏe toàn dân (07/04) cùng định hướng chuyển dịch từ “chữa bệnh” sang “phòng bệnh” của Đảng và Nhà nước Việt Nam, Hệ thống nhà thuốc và trung tâm tiêm chủng Long Châu đã hợp lực cùng đối tác y tế triển khai các chương trình tầm soát, dự phòng đột quỵ trên quy mô toàn quốc. Chuỗi hoạt động hướng tới nâng cao nhận thức cộng đồng về chủ động phòng bệnh, giảm thiểu gánh nặng bệnh tật từ sớm, vì một Việt Nam khỏe mạnh hơn.

Lần đầu tiên tại Việt Nam, Long Châu “trình làng” Ví Sức Khỏe tích thưởng cho cả gia đình kèm loạt quyền lợi chưa từng có

Lần đầu tiên tại Việt Nam, Long Châu “trình làng” Ví Sức Khỏe tích thưởng cho cả gia đình kèm loạt quyền lợi chưa từng có
Trong bối cảnh kinh tế đầy biến động, khi "thắt lưng buộc bụng" trước áp lực bão giá trở thành bài toán chung của mọi nhà, việc tối ưu hóa chi phí y tế đã trở thành mối quan tâm hàng đầu. Thấu hiểu sâu sắc điều đó, Long Châu đã cho ra mắt tính năng “Ví Khỏe Nhà Ta” - ví sức khoẻ tích thưởng cho cả gia đình đầu tiên tại Việt Nam. Qua đó, giúp hàng triệu gia đình Việt nhẹ gánh lo chi phí, khi điểm thưởng từ chi tiêu y tế của từng thành viên đã có thể tích lũy chung, quy đổi thành những giá trị thiết thực.

Vinmec Cần Thơ tiên phong đưa mô hình “ở cữ 5 sao chuẩn y khoa” về miền Tây

Vinmec Cần Thơ tiên phong đưa mô hình “ở cữ 5 sao chuẩn y khoa” về miền Tây
Chính thức được triển khai tại miền Tây, mô hình “ở cữ 5 sao chuẩn y khoa” nhanh chóng trở thành lựa chọn được nhiều mẹ bầu săn đón. Không đơn thuần là dịch vụ nghỉ dưỡng sau sinh, giải pháp tiên phong của Vinmec Cần Thơ mang đến quy trình chăm sóc toàn diện, kết hợp y học hiện đại và trải nghiệm cao cấp, giúp người mẹ phục hồi tối ưu, trẻ sơ sinh phát triển vững vàng ngay từ những ngày đầu đời.

Đột quỵ: Đừng bỏ qua những “tín hiệu lạ”

Đột quỵ: Đừng bỏ qua những “tín hiệu lạ”
Đột quỵ hiện là một trong những nguyên nhân hàng đầu gây tử vong và tàn tật tại Việt Nam, và có thể xảy ra với bất kỳ ai, không chỉ người cao tuổi.

Longevity Medical System: Cầu nối đưa y học tái tạo đến gần hơn với người Việt

Longevity Medical System: Cầu nối đưa y học tái tạo đến gần hơn với người Việt
Hai sự kiện ký kết liên tiếp tại Singapore (2/4/2026) và Malaysia (3/4/2026) không chỉ đánh dấu bước tiến trong hợp tác quốc tế về công nghệ tế bào gốc, mà còn thể hiện một chiến lược rõ ràng: xây dựng hệ sinh thái y học tái tạo theo chuỗi giá trị khép kín, từ nghiên cứu, chuyển giao công nghệ đến triển khai ứng dụng thực tiễn.

Chiến lược quản lý đột quỵ: Cuộc đua với thời gian và nhiệm vụ giảm gánh nặng bệnh tật

Chiến lược quản lý đột quỵ: Cuộc đua với thời gian và nhiệm vụ giảm gánh nặng bệnh tật
Tại Hội nghị Khoa học Quốc tế về phòng, chống bệnh không lây nhiễm vừa qua, TS.BS Đào Việt Phương - Phó Giám đốc Trung tâm Đột quỵ, Bệnh viện Bạch Mai đã chia sẻ về một chiến lược tổng thể nhằm nâng cao hiệu quả phòng ngừa, cấp cứu và điều trị đột quỵ. Đây không chỉ là định hướng chuyên môn mà còn thể hiện trách nhiệm của ngành y tế trong việc bảo vệ sức khỏe nhân dân, giảm thiểu tử vong và tàn phế.

Hàng nghìn người dân được tư vấn, khám sức khỏe miễn phí

Hàng nghìn người dân được tư vấn, khám sức khỏe miễn phí
Sáng 5/4, tại Công viên Thống Nhất (Hà Nội) đã diễn ra Lễ mít tinh phát động Ngày Sức khoẻ toàn dân 7/4 với chủ đề "Chủ động phòng bệnh - Vì một Việt Nam khỏe mạnh” do Ban Tuyên giáo và Dân vận Trung ương phối hợp với Bộ Y tế tổ chức.

Điều trị sỏi thận hoàn toàn không vết mổ

Điều trị sỏi thận hoàn toàn không vết mổ
Tại Khoa Phẫu thuật Tiết niệu, Nam học và Y học giới tính - Bệnh viện Đại học Y Dược, ĐHQGHN, Cơ sở Linh Đàm, một bước tiến mới trong điều trị sỏi tiết niệu phức tạp vừa được xác lập. Bằng việc làm chủ kỹ thuật nội soi ống mềm tinh vi kết hợp cùng hệ thống Laser Dornier Thulio công suất cao, các bác sĩ đã giúp bệnh nhân "sạch sỏi" đa vị trí chỉ trong một lần can thiệp, mở ra kỷ nguyên điều trị sỏi thận hoàn toàn không vết mổ.

Hợp tác công nghệ tế bào gốc tại Singapore: Động lực thúc đẩy phát triển y học tái tạo

Hợp tác công nghệ tế bào gốc tại Singapore: Động lực thúc đẩy phát triển y học tái tạo
Ngày 2/4/2026 tại tòa nhà Grace Global Raffles, Singapore, một hợp tác chiến lược trong lĩnh vực công nghệ tế bào gốc đã chính thức được thiết lập giữa ba đơn vị gồm Cellcare Holdings Pte. Ltd., Cellresearch Corporation Pte. Ltd. và Cellcare Laboratory Sdn. Bhd., đánh dấu một dấu mốc mới trong định hướng phát triển y học tái tạo trên quy mô quốc tế.

Bệnh viện Tâm Anh ứng dụng Robot AI thay khớp chủ động hoàn toàn

Bệnh viện Tâm Anh ứng dụng Robot AI thay khớp chủ động hoàn toàn
Lần đầu tiên tại Việt Nam, Bệnh viện Đa khoa Tâm Anh TP Hồ Chí Minh được cấp phép phẫu thuật thay khớp bằng Robot trí tuệ nhân tạo (AI) CUVIS-Joint có khả năng chủ động thực hiện nhiều công đoạn và thao tác với độ chuẩn xác vượt trội.

Bộ Y tế công nhận E-CPR, cứu sống bệnh nhân ngưng tim tại Việt Nam

Bộ Y tế công nhận E-CPR, cứu sống bệnh nhân ngưng tim tại Việt Nam
Bộ Y tế vừa chính thức công nhận kỹ thuật hồi sinh tim phổi có sử dụng tuần hoàn ngoài cơ thể (E-CPR), đánh dấu lần đầu tiên một phương pháp hồi sức chuyên sâu, hiện đại được đưa vào hệ thống kỹ thuật y tế tại Việt Nam. Sự kiện này mở ra hướng tiếp cận điều trị mới, góp phần nâng cao đáng kể cơ hội sống cho bệnh nhân ngưng tim đột ngột.
Xem thêm
Để cơn hen không còn là “Nỗi ám ảnh” khi thời tiết chuyển mùa

Để cơn hen không còn là “Nỗi ám ảnh” khi thời tiết chuyển mùa

TS.BS Nguyễn Hữu Trường - Phó Giám đốc Trung tâm Dị ứng - Miễn dịch lâm sàng, Bệnh viện Bạch Mai đưa ra những “tư vấn vàng” giúp người cao tuổi kiểm soát bệnh hen phế quản, vui sống khỏe mạnh khi thời tiết chuyển mùa nồm ẩm, mưa rét.
Giải pháp điều trị thoái hóa khớp gối cho người bệnh cao tuổi

Giải pháp điều trị thoái hóa khớp gối cho người bệnh cao tuổi

Bệnh viện đa khoa tỉnh Thanh Hóa vừa phẫu thuật thành công bệnh nhân 76 tuổi bị thoái hóa khớp gối bằng phương pháp thay khớp gối toàn phần bảo toàn cơ.
Chủ động phòng ngừa bệnh phổi tắc nghẽn mạn tính khi trời rét - Lời khuyên đặc biệt cho người cao tuổi

Chủ động phòng ngừa bệnh phổi tắc nghẽn mạn tính khi trời rét - Lời khuyên đặc biệt cho người cao tuổi

Thời tiết lạnh dễ làm bệnh phổi tắc nghẽn mạn tính (COPD) bùng phát, đặc biệt ở người cao tuổi. Bài viết cập nhật dấu hiệu, cách phòng ngừa và lời khuyên từ chuyên gia y tế.
TP Hồ Chí Minh xuất hiện mô hình kết hợp fitness – phục hồi chức năng – y học thể thao

TP Hồ Chí Minh xuất hiện mô hình kết hợp fitness – phục hồi chức năng – y học thể thao

California Fitness & Yoga hợp tác cùng bệnh viện Phục hồi chức năng và Liên đoàn Muay TP Hồ Chí Minh phát triển mô hình y học thể thao kết hợp tập luyện.
Lan tỏa phong trào hiến máu tình nguyện, chung tay vì cộng đồng

Lan tỏa phong trào hiến máu tình nguyện, chung tay vì cộng đồng

Sáng ngày 7/4, Trường Đại học Hàng hải Việt Nam phối hợp với Sở Y tế thành phố Hải Phòng và Hội Chữ thập đỏ thành phố tổ chức Lễ phát động hưởng ứng Ngày Sức khỏe toàn dân, Ngày Sức khỏe Thế giới và Ngày Toàn dân hiến máu tình nguyện.
Hàng nghìn người dân được tư vấn, khám sức khỏe miễn phí

Hàng nghìn người dân được tư vấn, khám sức khỏe miễn phí

Sáng 5/4, tại Công viên Thống Nhất (Hà Nội) đã diễn ra Lễ mít tinh phát động Ngày Sức khoẻ toàn dân 7/4 với chủ đề "Chủ động phòng bệnh - Vì một Việt Nam khỏe mạnh” do Ban Tuyên giáo và Dân vận Trung ương phối hợp với Bộ Y tế tổ chức.
Phiên bản di động