Phẫu thuật nội soi cho NCT mắc ung thư đại tràng

Đầu năm 2024, phẫu thuật nội soi, trong đó có “Phẫu thuật Bạch Mai” lại phát huy giá trị thực tiễn của mình bằng việc điều trị thành công nâng cao chất lượng sống cho hai bệnh nhân 94 tuổi mắc ung thư. Sau mổ, cả 2 cụ đều đáp ứng tốt và được xuất viện trở về cuộc sống bình thường chỉ sau 10 ngày “đại phẫu”.

“Phẫu thuật Bạch Mai” là công trình nghiên cứu được công bố trên tạp chí World journal of surgical oncology số 140 ngày 5/5/2023. Tạp chí World journal of surgical oncology là tạp chí uy tín hàng đầu, chuyên về phẫu thuật ung thư. Là sản phẩm sáng tạo của Trung tâm Phẫu thuật Tiêu hóa, Bệnh viện Bạch Mai, phương pháp “Phẫu thuật Bạch Mai” giúp phẫu thuật triệt để, khắc phục nhiều hạn chế so với các phương pháp khác.

Xuất viện sau 10 ngày “đại phẫu” cắt bỏ khối ung thư đại tràng

Chỉ trước Tết cổ truyền vài ngày, Trung tâm Phẫu thuật Tiêu hóa, Bệnh viện Bạch Mai tiếp nhận cụ Nguyễn Văn H, 94 tuổi nhập viện vì đi ngoài phân đen. Tiền sử, bệnh nhân H có tăng huyết áp, đái tháo đường, u phì đại tiền liệt tuyến… Soi đại tràng của người bệnh có nhiều dịch máu đen, đại tràng góc gan có khối u sùi chiếm toàn bộ chu vi, bề mặt xuất huyết, máy soi không đi tiếp được…

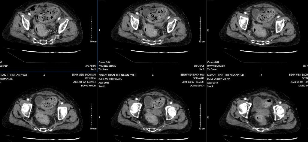
Cắt lớp vi tính ổ bụng: Dày thành đại lên không đều, chỗ dày nhất 14mm, trên đoạn dài 48mm, ngấm thuốc mạnh, thâm nhiễm mỡ xung quanh

Phẫu thuật nội soi cho NCT mắc ung thư đại tràng

Hình 1: Dày thành không đều đại tràng phải

Các bác sĩ kết luận, bệnh nhân H mắc ung thư đại tràng. Tuy nhiên, trước khi bước vào đại phẫu, với thể trạng yếu, tuổi cao, nhiều bệnh nền thì cần nâng cao thể trạng cho cụ. Bệnh nhân được chỉ định truyền khối hồng cầu, điều trị ổn định tình trạng xuất huyết tiêu hóa và nhiễm khuẩn tiết niệu, đường máu, kèm tập phục hồi chức năng hô hấp trước phẫu thuật. Ngày 19/2/2024, bệnh nhân được ekip bác sĩ của Trung tâm Phẫu thuật Tiêu hóa thực hiện “Phẫu thuật Bạch Mai”. Đây là một quy trình thực hiện phẫu thuật nội soi hoàn toàn cắt đại tràng phải kèm cắt toàn bộ mạc treo, thắt mạch máu trung tâm, nạo vét hạch D3 theo tiêu chuẩn phẫu thuật triệt căn ung thư và thực hiện miệng nối trong cơ thể. Quá trình phẫu thuật diễn ra trong 150 phút, lượng máu mất trong mổ không đáng kể.

Sau mổ, bệnh nhân được áp dụng chương trình ERAS (Chương trình tăng cường chăm sóc phục hồi sớm sau mổ): bệnh nhân vận động sớm với sự hỗ trợ của nhân viên y tế và người nhà, ăn lỏng ngay ngày thứ 1 sau phẫu thuật. Bệnh nhân có nhu động ruột vào ngày thứ 2 và tập ăn đặc ngày thứ 3. Và chỉ 10 ngày sau cuộc đại phẫu, ngày 29/2, bệnh nhân H đã hồi phục hoàn toàn và đủ sức khỏe để xuất viện.

Phẫu thuật nội soi cho NCT mắc ung thư đại tràng

Hình 2: Bệnh nhân tập vận động sau mổ
Phẫu thuật nội soi cho NCT mắc ung thư đại tràng

Hình 3: Vết mổ nội soi

Xuất viện sau 9 ngày “đại phẫu”

Cùng tuổi “bách niên” giống cụ H, ngày 1/4/2024, cụ bà Phạm Thị L, 94 tuổi cũng vào viện vì đại tiện khó kèm nhày máu. Cụ L cũng mắc chứng cao huyết áp kèm sốt cao 39 độ. Chụp cắt lớp: Tổn thương đông đặc thùy trên và giữa phổi phải. Dày thành không đều trực tràng cao trên đoạn 9cm, chỗ dày nhất 39mm, xâm lấn ra lớp ngoài thanh mạc, chưa xâm lấn đến mạc treo trực tràng, tạo khối lồi vào lòng trực tràng gây hẹp. Kết quả Nội soi: Khối sùi loét nham nhở chiếm gần hết lòng chu vi cách rìa hậu môn 8cm, máy soi không qua được.

Phẫu thuật nội soi cho NCT mắc ung thư đại tràng

Hình 4. CLVT hình ảnh u trực tràng bệnh nhân L.

Sau khi hội chẩn đa chuyên khoa, cụ L. được điều trị tích cực: Kháng sinh, hỗ trợ và tập phục hồi chức năng hô hấp, nâng cao dinh dưỡng, bù điện giải. Sau 2 tuần điều trị nội khoa tích cực, tình trạng sức khỏe của cụ L. đã ổn định. Ngày 17/4/2024, sau khi hội chẩn đa chuyên khoa lần 2, các phẫu thuật viên của Trung tâm Phẫu thuật Tiêu hóa đã tiến hành phẫu thuật nội soi cắt đoạn đại tràng sigma, trực tràng, nạo vét hạch D3. Ca phẫu thuật chỉ trong hơn 90 phút với lượng mất máu không đáng kể.

Sau mổ, cụ L tập ăn lỏng và ngồi dậy sớm ngay từ ngày thứ nhất. Ngày thứ hai, bệnh nhân có nhu động ruột và tập đứng với sự hỗ trợ của nhân viên y tế và người nhà. Ngày thứ 3, bệnh nhân được cho ăn đặc. Ngày thứ 5 sau mổ, cụ L có thể đi lại sinh hoạt nhẹ nhàng như bình thường. Bệnh nhân cũng được áp dụng ERAS thường quy, vận động sớm, ăn sớm và vẫn tập phục hồi chức năng hô hấp để tránh các biến chứng về tim phổi sau mổ.

Phẫu thuật nội soi cho NCT mắc ung thư đại tràng

Hình 5. BN tự vận động đi lại sau mổ

Bàn luận về kết quả của 2 ca mổ, TS.BS. Nguyễn Ngọc Hùng cho biết: Cả hai bệnh nhân trên đều là những “bệnh nhân siêu cao tuổi” (Super-Elderly Patients - được định nghĩa là những bệnh nhân trên 85 tuổi), có nhiều bệnh lí nặng đi kèm, nguy cơ biến chứng, tử vong rất cao nếu phải phẫu thuật, đặc biệt là đại phẫu. Do vậy, thông thường phẫu thuật viên cũng như gia đình người bệnh rất e ngại khi quyết định phẫu thuật cho người bệnh siêu cao tuổi, nhiều gia đình người bệnh chỉ chọn biện pháp điều trị giảm nhẹ hoặc thậm chí từ chối điều trị. Sau khi thuyết phục 2 bệnh nhân này và thân nhân họ, trước mổ và sau mổ chúng tôi đều đánh giá kĩ lưỡng dinh dưỡng, nguy cơ ngã, khả năng hình thành huyết khối, khả năng hô hấp, vận động, chức năng tim phổi cũng như các bệnh lí đi kèm để có một liệu trình điều trị phù hợp nhất với từng bệnh nhân. Chính nhờ sự phối hợp đa chuyên khoa, đặc biệt chuyên khoa Gây mê hồi sức có nhiều kinh nghiệm trong điều trị bệnh nhân nặng, già yếu và ekip phẫu thuật nội soi chuyên sâu trong ung thư đại trực tràng, không chỉ 2 bệnh nhân nói trên mà còn nhiều bệnh nhân cao tuổi của Bệnh viện Bạch Mai đã được Trung tâm Phẫu thuật Tiêu hóa phẫu thuật thành công, xuất viện với kết quả rất tốt./.

Diệu Hiền

Tin liên quan

Cùng chuyên mục

Để cơn hen không còn là “Nỗi ám ảnh” khi thời tiết chuyển mùa

Để cơn hen không còn là “Nỗi ám ảnh” khi thời tiết chuyển mùa

TS.BS Nguyễn Hữu Trường - Phó Giám đốc Trung tâm Dị ứng - Miễn dịch lâm sàng, Bệnh viện Bạch Mai đưa ra những “tư vấn vàng” giúp người cao tuổi kiểm soát bệnh hen phế quản, vui sống khỏe mạnh khi thời tiết chuyển mùa nồm ẩm, mưa rét.
Giải pháp điều trị thoái hóa khớp gối cho người bệnh cao tuổi

Giải pháp điều trị thoái hóa khớp gối cho người bệnh cao tuổi

Bệnh viện đa khoa tỉnh Thanh Hóa vừa phẫu thuật thành công cho bệnh nhân 76 tuổi bị thoái hóa khớp gối bằng phương pháp thay khớp gối toàn phần bảo toàn cơ.
Chủ động phòng ngừa bệnh phổi tắc nghẽn mạn tính khi trời rét - Lời khuyên đặc biệt cho người cao tuổi

Chủ động phòng ngừa bệnh phổi tắc nghẽn mạn tính khi trời rét - Lời khuyên đặc biệt cho người cao tuổi

Thời tiết lạnh dễ làm bệnh phổi tắc nghẽn mạn tính (COPD) bùng phát, đặc biệt ở người cao tuổi. Bài viết cập nhật dấu hiệu, cách phòng ngừa và lời khuyên từ chuyên gia y tế.
Vinmec Phú Quốc cứu sống bệnh nhân cao tuổi người Đức tính mạng “ngàn cân treo sợi tóc”

Vinmec Phú Quốc cứu sống bệnh nhân cao tuổi người Đức tính mạng “ngàn cân treo sợi tóc”

Một bệnh nhân 81 tuổi người Đức nhập viện trong tình trạng rối loạn nhịp tim nặng, tụt huyết áp sâu và tăng kali máu, nguy cơ ngừng tim đã được cấp cứu thành công tại Bệnh viện Đa khoa Vinmec Phú Quốc. Kết quả điều trị khẳng định năng lực xử trí các tình huống đe dọa tính mạng người bệnh với tiêu chuẩn chuyên môn cao ngay tại tuyến đảo.
Bệnh viện đa khoa Phương Đông: Cụ bà 80 tuổi phục hồi vận động nhờ kỹ thuật tạo hình đốt sống bằng xi măng sinh học

Bệnh viện đa khoa Phương Đông: Cụ bà 80 tuổi phục hồi vận động nhờ kỹ thuật tạo hình đốt sống bằng xi măng sinh học

Bệnh viện Phương Đông vừa triển khai thành công tạo hình đốt sống bằng xi măng sinh học, giúp cụ bà 85 tuổi giảm đau nhanh và sớm phục hồi vận động sau xẹp đốt sống do loãng xương.

Tin khác

Bệnh viện Thận Hà Nội: Dinh dưỡng hợp lý giúp bảo vệ tim và thận

Bệnh viện Thận Hà Nội: Dinh dưỡng hợp lý giúp bảo vệ tim và thận
Người mắc bệnh thận mạn thường có nguy cơ cao kèm theo bệnh tim mạch. Một chế độ ăn uống khoa học, kiểm soát muối, đạm, mỡ và lượng nước hợp lý sẽ giúp giảm biến chứng, bảo vệ sức khỏe tim và thận, đặc biệt cần thiết đối với người cao tuổi.

Kết hợp y học cổ truyền và hiện đại, nâng cao sức khỏe người cao tuổi

Kết hợp y học cổ truyền và hiện đại, nâng cao sức khỏe người cao tuổi
Trong khi y học hiện đại ngày càng phát triển, y học cổ truyền (YHCT) vẫn khẳng định vị trí quan trọng trong chăm sóc sức khỏe cộng đồng, nhất là đối với người cao tuổi. Tại Trung tâm Y tế thị xã Hoàng Mai (tỉnh Nghệ An), việc kết hợp hài hòa giữa Đông và Tây y đã mang lại hiệu quả thiết thực, giúp nhiều bệnh nhân cao tuổi nâng cao chất lượng cuộc sống, điều trị bệnh mạn tính an toàn và bền vững.

Phòng chống bệnh Alzheimer: Kinh nghiệm quốc tế và bài học thiết thực cho Việt Nam

Phòng chống bệnh Alzheimer: Kinh nghiệm quốc tế và bài học thiết thực cho Việt Nam
Tháng 9 hằng năm được thế giới chọn là Tháng hành động phòng, chống bệnh Alzheimer, là dịp nâng cao nhận thức xã hội về tác động nặng nề của bệnh Alzheimer và các dạng sa sút trí tuệ khác đối với đời sống.

Người cao tuổi cần thận trọng với bệnh suy giãn tĩnh mạch chi dưới

Người cao tuổi cần thận trọng với bệnh suy giãn tĩnh mạch chi dưới
Suy giãn tĩnh mạch chi dưới là bệnh có thể xảy ra ở mọi lứa tuổi, thường gặp ở những người trên 30 tuổi. Đặc biệt, bệnh phổ biến gặp ở người cao tuổi, do sự suy yếu của van tĩnh mạch và thành mạch máu lão hóa theo thời gian.

Sa sút trí tuệ, thách thức lớn trong bối cảnh dân số già hóa

Sa sút trí tuệ, thách thức lớn trong bối cảnh dân số già hóa
Với tốc độ già hóa dân số nhanh chóng, Việt Nam đang phải đối mặt với làn sóng gia tăng các bệnh lý tuổi già, trong đó có sa sút trí tuệ.

Thời tiết nắng nóng: Những điều mà người có bệnh tăng huyết áp cần quan tâm

Thời tiết nắng nóng: Những điều mà người có bệnh tăng huyết áp cần quan tâm
Mùa Hè đến, thời tiết nóng bức không chỉ mang lại cảm giác khó chịu mà còn tiềm ẩn nhiều nguy cơ sức khỏe, đặc biệt đối với NCT mắc bệnh tăng huyết áp. Đây là một trong những bệnh lí mạn tính phổ biến nhất ở Việt Nam, với tỉ lệ mắc cao ở NCT.

Khám mắt miễn phí cho người cao tuổi tại xã Tân Nhựt, TP. Hồ Chí Minh

Khám mắt miễn phí cho người cao tuổi tại xã Tân Nhựt, TP. Hồ Chí Minh
Từ 29 đến 31/7, UBND xã Tân Nhựt, TP Hồ Chí Minh phối Công ty Cổ phần Trung Tâm Mắt Quốc Tế 3P Hikari tổ chức khám, chữa bệnh mắt miễn phí cho người cao tuổi, hộ nghèo.

Bệnh viện Quân y 175 cứu sống bệnh nhân 67 tuổi bị nhiễm độc toàn thân

Bệnh viện Quân y 175 cứu sống bệnh nhân 67 tuổi bị nhiễm độc toàn thân
Mới đây, Bệnh viện Quân y 175, TP. Hồ Chí Minh tiếp nhận và điều trị thành công bệnh nhân nữ 67 tuổi mắc hội chứng Lyell (hoại tử thượng bì nhiễm độc toàn thân – TEN), một bệnh lý hiếm gặp với tỷ lệ tử vong rất cao, đặc biệt khi diện tích tổn thương da lên đến 92% cơ thể.

Đồng hành vì sức khỏe người cao tuổi có hoàn cảnh khó khăn

Đồng hành vì sức khỏe người cao tuổi có hoàn cảnh khó khăn
Nhằm chào mừng 84 năm ngày truyền thống NCT, Ngày NCT Việt Nam (6/6/1941-6/6/2025), Bệnh viện Lê Văn Thịnh, TP. Thủ Đức, TP. Hồ Chí Minh phối hợp Trung tâm an sinh xã hội TP. Thủ Đức, TP. Hồ Chí Minh tổ chức chương trình khám bệnh “Đồng hành vì sức khỏe người cao tuổi khó khăn”.

Đơn vị Lão khoa, Bệnh viện Hữu Nghị Việt Tiệp: Địa chỉ tin cậy chăm sóc sức khoẻ người cao tuổi

Đơn vị Lão khoa, Bệnh viện Hữu Nghị Việt Tiệp: Địa chỉ tin cậy chăm sóc sức khoẻ người cao tuổi
Với phương châm “Tất cả vì sự hài lòng của người bệnh”, đội ngũ nhân viên y tế của Đơn vị Lão khoa – Khoa nội 4 (Bệnh viện Hữu Nghị Việt Tiệp) luôn học hỏi trau dồi kiến thức, nâng cao năng lực, nêu cao tinh thần đoàn kết xây dựng và phát triển đơn vị, cống hiến cho sự nghiệp bảo vệ, chăm sóc và nâng cao sức khoẻ nhân dân.

Chật vật vì ngủ 2 – 3 tiếng mỗi đêm, nhiều người đã tìm được bí kíp hay

Chật vật vì ngủ 2 – 3 tiếng mỗi đêm, nhiều người đã tìm được bí kíp hay
Theo thống kê, tại Việt Nam, có đến hơn 1/3 dân số đang gặp phải hội chứng khó ngủ, mất ngủ. Điều đáng lo, nhiều trường hợp chỉ ngủ 2 – 3 tiếng mỗi đêm, thậm chí thức trắng gây ra nhiều hệ lụy, ảnh hưởng tới sức khỏe.

NCT cần chủ động phòng bệnh giao mùa Thu Đông

NCT cần chủ động phòng bệnh giao mùa Thu Đông
Thời tiết thay đổi, cơ thể chúng ta cũng chưa kịp thích nghi, dẫn tới đề kháng bị giảm mạnh và đó là nguyên nhân dễ mắc các bệnh giao mùa Thu Đông. Bệnh giao mùa Thu Đông có thể gặp ở mọi đối tượng và lứa tuổi, tuy nhiên một số đối tượng sẽ có nguy cơ mắc bệnh cao hơn như: Trẻ em và NCT.

Khám mắt và sức khỏe miễn phí cho hàng trăm người cao tuổi ở TP Bà Rịa

Khám mắt và sức khỏe miễn phí cho hàng trăm người cao tuổi ở TP Bà Rịa
Ngày 10/8, Ban Đại diện Hội NCT TP Bà Rịa phối hợp Bệnh viện Mắt tỉnh Bà Rịa – Vũng Tàu, Trung tâm Y tế TP Bà Rịa tổ chức chương trình khám mắt và sức khỏe cho NCT.

Bệnh viện Đa khoa Medic khám bệnh, cấp thuốc miễn phí cho Người có công Cách mạng

Bệnh viện Đa khoa Medic khám bệnh, cấp thuốc miễn phí cho Người có công Cách mạng
Hướng tới kỷ niệm 76 năm Ngày Thương binh - Liệt sĩ, sáng 19/7/2023, tại phường Chánh Nghĩa, UBND TP. Thủ Dầu Một, tỉnh Bình Dương, Phòng Lao động - Thương binh và Xã hội thành phố phối hợp với Bệnh viện Đa khoa Medic Bình Dương tổ chức khám bệnh, tư vấn sức khỏe, cấp thuốc miễn phí và tặng quà tại chỗ đối với Người có công với Cách mạng trên địa bàn thành phố.

Những nguyên nhân gây ra bệnh đái tháo đường

Những nguyên nhân gây ra bệnh đái tháo đường
Bệnh đái tháo đường (hay còn gọi là bệnh tiểu đường) là một tình trạng bệnh lý rối loạn chuyển hóa không đồng nhất, có đặc điểm tăng lượng đường huyết trong cơ thể.
Xem thêm
Tiến bộ trong thay khớp gối: Cá thể hóa điều trị và rút ngắn thời gian phục hồi cho bệnh nhân

Tiến bộ trong thay khớp gối: Cá thể hóa điều trị và rút ngắn thời gian phục hồi cho bệnh nhân

Bệnh viện Hoàn Mỹ Sài Gòn, thành viên Tập đoàn y khoa Hoàn Mỹ với các thương hiệu Hoàn Mỹ, Hạnh Phúc và Thuận Mỹ, tổ chức hội thảo khoa học “Cập nhật những tiến bộ trong kỹ thuật thay khớp gối” nhằm chia sẻ những cập nhật chuyên môn mới, kinh nghiệm thực hành lâm sàng và tăng cường kết nối chuyên môn trong lĩnh vực chấn thương chỉnh hình.
Phẫu thuật nội soi điều trị thành công nhiều ca viêm ruột thừa cấp tại Trung tâm Y tế Hoàng Mai

Phẫu thuật nội soi điều trị thành công nhiều ca viêm ruột thừa cấp tại Trung tâm Y tế Hoàng Mai

Trung tâm Y tế Hoàng Mai đã liên tiếp thực hiện thành công nhiều ca phẫu thuật nội soi cắt ruột thừa, giúp người bệnh được điều trị hiệu quả ngay tại địa phương
Boxer’s Fracture - Chấn thương gãy xương bàn tay dễ gặp sau va chạm mạnh

Boxer’s Fracture - Chấn thương gãy xương bàn tay dễ gặp sau va chạm mạnh

Đằng sau những cú đấm mạnh trên võ đài hay chỉ đơn giản là một va chạm trong sinh hoạt hằng ngày, bàn tay rất dễ trở thành “nạn nhân” của một dạng chấn thương khá điển hình trong y khoa: Boxer’s Fracture. Điều đáng nói, chấn thương này không chỉ xảy ra với vận động viên boxing mà có thể gặp ở bất kỳ ai.
Sau kỳ nghỉ Tết, người cao tuổi cần chủ động tầm soát sức khỏe

Sau kỳ nghỉ Tết, người cao tuổi cần chủ động tầm soát sức khỏe

Tết Nguyên đán là dịp sum họp, vui xuân, nhưng cũng là khoảng thời gian nhiều người cao tuổi xao nhãng việc dùng thuốc, ăn uống thiếu kiểm soát, thức khuya, ít vận động. Không ít trường hợp sau kỳ nghỉ xuất hiện tăng huyết áp, rối loạn đường huyết, tái phát bệnh tim mạch hoặc nhập viện vì đột quỵ, suy tim, biến chứng đái tháo đường.
Vinmec Nha Trang cứu bệnh nhân nước ngoài cao tuổi sốc tim, nguy cơ đột tử cận kề

Vinmec Nha Trang cứu bệnh nhân nước ngoài cao tuổi sốc tim, nguy cơ đột tử cận kề

Nhập viện trong tình trạng sốc tim nặng do nhồi máu cơ tim cấp, nguy cơ tử vong rất cao, bệnh nhân người Trung Quốc 79 tuổi đã được các bác sĩ Bệnh viện Đa khoa Vinmec Nha Trang cứu sống ngoạn mục nhờ phối hợp nhiều kỹ thuật can thiệp tim mạch phức tạp.
Ba lần phẫu thuật cứu cụ ông mắc hai bệnh ung thư

Ba lần phẫu thuật cứu cụ ông mắc hai bệnh ung thư

Ở tuổi 70, ông Đông bất ngờ phát hiện mắc cùng lúc ung thư hạ họng, ung thư thực quản và phì đại tuyến tiền liệt. Các bác sĩ Bệnh viện Đa khoa Quốc tế Vinmec Times City đã tiến hành liên tiếp 3 ca phẫu thuật nội soi ít xâm lấn, vừa triệt căn ung thư, vừa
Phiên bản di động