Bệnh viện Bình Dân: Lần đầu tiên tại Việt Nam phẫu thuật robot điều trị phổi biệt lập

Bệnh viện Bình Dân vừa thực hiện thành công ca phẫu thuật robot cắt thùy dưới phổi trái cho một bệnh nhân mắc phổi biệt lập nội thùy – đánh dấu trường hợp đầu tiên tại Việt Nam điều trị bệnh lý này bằng công nghệ robot.
Phẫu thuật robot cho thấy nhiều ưu điểm nổi bật, đặc biệt trong những ca bệnh đòi hỏi thao tác chính xác đến từng milimet
Phẫu thuật robot cho thấy nhiều ưu điểm nổi bật, đặc biệt trong những ca bệnh đòi hỏi thao tác chính xác đến từng milimet

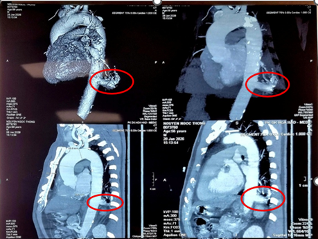
Theo thông tin từ bệnh viện, bệnh nhân N.N.T (56 tuổi, Tây Ninh) tình cờ phát hiện tổn thương ở thùy dưới phổi trái khi khám sức khỏe tổng quát. Qua thăm khám và chẩn đoán chuyên sâu, các bác sĩ xác định ông mắc phổi biệt lập nội thùy với khối tổn thương kích thước 23 x 26 mm. Đáng lưu ý, động mạch nuôi khối này xuất phát trực tiếp từ động mạch chủ ngực xuống, có đường kính lên đến 17 mm – kích thước lớn, tiềm ẩn nguy cơ vỡ mạch và chảy máu ồ ạt nếu không được xử trí kịp thời.

ThS.BSCKII Nguyễn Văn Việt Thành – Trưởng khoa Ngoại Lồng ngực – Bướu cổ – cho biết, thách thức lớn nhất trong ca mổ là phẫu tích nhánh động mạch nuôi bất thường. Mạch máu này có kích thước lớn, thành mạch dễ tổn thương và dính chặt do tình trạng viêm mạn tính xung quanh. Chỉ một sai sót nhỏ cũng có thể gây biến chứng chảy máu nghiêm trọng, khó kiểm soát.

Trước mức độ phức tạp đó, hội chẩn toàn viện đã thống nhất lựa chọn phẫu thuật robot – phương pháp ngoại khoa hiện đại nhất hiện nay – nhằm tối ưu hóa độ an toàn và hiệu quả điều trị.

Ưu thế vượt trội của phẫu thuật robot

So với phẫu thuật mở truyền thống phải rạch ngực rộng và banh sườn, hay nội soi lồng ngực kinh điển, phẫu thuật robot cho thấy nhiều ưu điểm nổi bật, đặc biệt trong những ca bệnh đòi hỏi thao tác chính xác đến từng milimet.

Hình ảnh 3D độ phân giải cao: hệ thống robot cung cấp hình ảnh phóng đại nhiều lần với chiều sâu không gian rõ nét, giúp bác sĩ nhận diện chính xác các mạch máu bất thường nằm sâu trong lồng ngực. Cánh tay robot linh hoạt: có khả năng xoay đến 720 độ, thao tác linh hoạt hơn nhiều so với dụng cụ nội soi truyền thống, hỗ trợ hiệu quả việc kẹp, khâu buộc các mạch máu lớn sát động mạch chủ. Độ chính xác cao: hệ thống có khả năng loại bỏ rung tay tự nhiên, giúp quá trình bóc tách tinh vi, hạn chế tối đa tổn thương mô lành. Ca phẫu thuật được thực hiện ngày 12/2, kéo dài khoảng 120 phút và diễn ra thuận lợi. Phần phổi biệt lập được cắt trọn, không gây tổn thương động mạch chủ ngực xuống và không xảy ra biến chứng chảy máu. Nhờ không phải banh sườn, bệnh nhân ít đau, giảm mất máu và hồi phục nhanh. Sau 4 ngày, ông T. đã đủ điều kiện xuất viện.

Phổi biệt lập – “mối nguy thầm lặng” trong lồng ngực

Phổi biệt lập (Bronchopulmonary Sequestration – BPS) là dị tật bẩm sinh hiếm gặp, chiếm khoảng 0,15% – 6,4% các dị tật phổi. Bệnh gồm hai dạng: nội thùy (khoảng 75%) và ngoại thùy (25%), thường gặp nhất ở thùy dưới phổi trái.

Đây là phần mô phổi phát triển bất thường từ thời kỳ phôi thai, không có chức năng hô hấp và không thông với đường dẫn khí bình thường. Nguy hiểm nhất là khối mô này không nhận máu từ động mạch phổi mà được cấp máu trực tiếp từ hệ động mạch chủ (ngực hoặc bụng) – nơi có áp lực rất cao.

Nếu không điều trị kịp thời, người bệnh có thể đối mặt với nhiều biến chứng nghiêm trọng như: ho ra máu sét đánh hoặc xuất huyết nội: do vỡ mạch máu nuôi khối biệt lập, gây chảy máu ồ ạt vào đường thở hoặc khoang màng phổi. Nhiễm trùng tái phát, áp xe phổi: dịch tiết ứ đọng trong mô phổi không có đường dẫn lưu, tạo điều kiện cho vi khuẩn phát triển. Suy tim cung lượng cao: do luồng thông máu bất thường từ động mạch chủ về tim, thường gặp ở trẻ nhỏ. Nguy cơ thoái hóa ác tính: dù hiếm, đã có ghi nhận ung thư phát triển trên nền mô phổi biệt lập.

Khuyến cáo từ chuyên gia

Phổi biệt lập tuy hiếm gặp nhưng hoàn toàn có thể điều trị dứt điểm nếu được phát hiện sớm. Phẫu thuật là phương pháp điều trị duy nhất, đặc biệt hiệu quả khi chưa xảy ra biến chứng nhiễm trùng hoặc chảy máu.

Việc điều trị cần sự phối hợp chặt chẽ giữa nhiều chuyên khoa như gây mê hồi sức, chẩn đoán hình ảnh và phẫu thuật mạch máu. Vì vậy, các trường hợp phức tạp nên được thực hiện tại các bệnh viện ngoại khoa chuyên sâu để đảm bảo an toàn tối đa.

Bệnh viện Bình Dân vừa thực hiện thành công ca phẫu thuật robot cắt thùy dưới phổi trái cho một bệnh nhân mắc phổi biệt lập nội thùy – đánh dấu trường hợp đầu tiên tại Việt Nam điều trị bệnh lý này bằng công nghệ robot
Bệnh viện Bình Dân vừa thực hiện thành công ca phẫu thuật robot cắt thùy dưới phổi trái cho một bệnh nhân mắc phổi biệt lập nội thùy – đánh dấu trường hợp đầu tiên tại Việt Nam điều trị bệnh lý này bằng công nghệ robot

Thành công của ca phẫu thuật robot điều trị phổi biệt lập đầu tiên tại Bệnh viện Bình Dân không chỉ là bước tiến công nghệ, mà còn mở ra cơ hội để người dân Việt Nam tiếp cận kỹ thuật y khoa hiện đại ngay trong nước, góp phần nâng cao chất lượng sống và sự an toàn cho người bệnh.

Các chuyên gia khuyến cáo, nếu có biểu hiện viêm phổi tái diễn tại cùng một vị trí, ho ra máu hoặc phát hiện bất thường ở phổi qua khám sức khỏe, người dân nên đến cơ sở y tế chuyên sâu để tầm soát. Các phương tiện chẩn đoán hình ảnh như MSCT có thể giúp phát hiện sớm phổi biệt lập và kịp thời xử trí.

Hải Linh - Đại Long

Tin liên quan

Cùng chuyên mục

Boxer’s Fracture - Chấn thương gãy xương bàn tay dễ gặp sau va chạm mạnh

Boxer’s Fracture - Chấn thương gãy xương bàn tay dễ gặp sau va chạm mạnh

Đằng sau những cú đấm mạnh trên võ đài hay chỉ đơn giản là một va chạm trong sinh hoạt hằng ngày, bàn tay rất dễ trở thành “nạn nhân” của một dạng chấn thương khá điển hình trong y khoa: Boxer’s Fracture. Điều đáng nói, chấn thương này không chỉ xảy ra với vận động viên boxing mà có thể gặp ở bất kỳ ai.
Bộ Y tế chấn chỉnh hoạt động hiến, lấy, ghép mô và bộ phận cơ thể người

Bộ Y tế chấn chỉnh hoạt động hiến, lấy, ghép mô và bộ phận cơ thể người

Bộ Y tế yêu cầu toàn ngành y tế tăng cường quản lý, chấn chỉnh hoạt động hiến, lấy và ghép mô, bộ phận cơ thể người nhằm bảo đảm tuân thủ pháp luật và bảo vệ sức khỏe, tính mạng người dân.
Bệnh viện Đa khoa Trung ương Cần Thơ cứu sống bệnh nhân xuất huyết nguy kịch

Bệnh viện Đa khoa Trung ương Cần Thơ cứu sống bệnh nhân xuất huyết nguy kịch

Ngày 6/3, Bệnh viện Đa khoa Trung ương Cần Thơ cho biết các bác sĩ của bệnh viện vừa can thiệp nội mạch thành công, kịp thời cứu sống một bệnh nhân bị xuất huyết nặng do ung thư vòm hầu xâm lấn động mạch cảnh trong – tình trạng hiếm gặp nhưng đặc biệt nguy hiểm, có thể đe dọa tính mạng trong thời gian rất ngắn.
Làm chủ kỹ thuật khó trong không gian vài milimet, cứu sống bệnh nhân 73 tuổi có khối máu tụ nguy hiểm ở não

Làm chủ kỹ thuật khó trong không gian vài milimet, cứu sống bệnh nhân 73 tuổi có khối máu tụ nguy hiểm ở não

Bệnh nhân 73 tuổi nhập viện trong tình trạng gần như mất tri giác do khối máu tụ lớn chèn ép não, nguy cơ tàn phế hoặc tử vong cao. Bằng việc làm chủ kỹ thuật nội soi thần kinh trong không gian rất hẹp vài milimet, ê-kíp bác sĩ Vinmec đã lấy sạch khối máu tụ chỉ sau 2 giờ mổ cấp cứu, giúp bệnh nhân hồi phục ngoạn mục sau 5 ngày.
Để cơn hen không còn là “Nỗi ám ảnh” khi thời tiết chuyển mùa

Để cơn hen không còn là “Nỗi ám ảnh” khi thời tiết chuyển mùa

TS.BS Nguyễn Hữu Trường - Phó Giám đốc Trung tâm Dị ứng - Miễn dịch lâm sàng, Bệnh viện Bạch Mai đưa ra những “tư vấn vàng” giúp người cao tuổi kiểm soát bệnh hen phế quản, vui sống khỏe mạnh khi thời tiết chuyển mùa nồm ẩm, mưa rét.

Tin khác

Cấp cứu kịp thời bệnh nhi chấn thương sọ não nặng sau tai nạn

Cấp cứu kịp thời bệnh nhi chấn thương sọ não nặng sau tai nạn
Các bác sĩ Bệnh viện Nhi Thanh Hóa vừa điều trị thành công trường hợp bệnh nhi bị chấn thương sọ não nặng do tai nạn khi chơi patin.

Vinmec khai trương Bệnh viện Vinmec Ocean Park 2 – Mô hình Y tế tích hợp đầu tiên tại Việt Nam

Vinmec khai trương Bệnh viện Vinmec Ocean Park 2 – Mô hình Y tế tích hợp đầu tiên tại Việt Nam
Ngày 01/03/2026, Hệ thống Y tế Vinmec chính thức khai trương bệnh viện thứ 10 - Vinmec Ocean Park 2, có tổng vốn đầu tư 1.482 tỷ đồng. Đây là bệnh viện đầu tiên triển khai mô hình tích hợp đồng bộ và tại chỗ việc điều trị - phục hồi - an dưỡng, chuyển từ “chữa bệnh đơn thuần” sang “chăm sóc toàn diện”, thiết lập chuẩn mực hoàn toàn mới trong lĩnh vực y tế chất lượng cao tại Việt Nam.

Hội thảo chính sách sửa đổi, bổ sung Luật Phòng, chống tác hại của thuốc lá

Hội thảo chính sách sửa đổi, bổ sung Luật Phòng, chống tác hại của thuốc lá
Sáng 27/2/2026, tại Hà Nội, Bộ Y tế tổ chức Hội thảo truyền thông chính sách của Dự án Luật sửa đổi, bổ sung một số điều của Luật Phòng, chống tác hại của thuốc lá.

Còn nắm tay nhau, còn niềm tin nơi phòng chạy thận

Còn nắm tay nhau, còn niềm tin nơi phòng chạy thận
Giữa những ngày cuối tháng Hai, khi mùa xuân dịu dàng ghé qua tại, Bệnh viện Đa khoa thành phố Vinh vẫn có một câu chuyện lặng lẽ khiến nhiều người không khỏi xúc động. Hai bệnh nhân chạy thận định kỳ – mỗi người chỉ còn một chân – vẫn ngày ngày nắm chặt tay nhau đi qua hành lang bệnh viện. Và bên cạnh họ, những người thầy thuốc trong màu áo blouse trắng âm thầm chăm sóc, nâng đỡ niềm tin vào sự sống.

Bệnh viện Đa khoa Thanh Chương đưa vào sử dụng hệ thống máy đo loãng xương hiện đại từ Hàn Quốc

Bệnh viện Đa khoa Thanh Chương đưa vào sử dụng hệ thống máy đo loãng xương hiện đại từ Hàn Quốc
Bệnh viện Thanh Chương tiếp tục khẳng định quyết tâm nâng cao chất lượng khám chữa bệnh khi chính thức đưa vào vận hành hệ thống máy đo mật độ xương toàn thân Osteosys SMART FAN-BEAM (Hàn Quốc). Việc đầu tư trang thiết bị hiện đại này đánh dấu bước tiến quan trọng trong công tác chẩn đoán, tầm soát và điều trị các bệnh lý cơ xương khớp, đặc biệt là bệnh loãng xương – căn bệnh đang có xu hướng gia tăng và ngày càng trẻ hóa.

Bộ Y tế yêu cầu chủ động phòng ngừa, không để dịch virus Nipah xâm nhập

Bộ Y tế yêu cầu chủ động phòng ngừa, không để dịch virus Nipah xâm nhập
Trước nguy cơ dịch bệnh do virus Nipah lan rộng, Bộ Y tế đã ban hành công văn khẩn yêu cầu các địa phương, cơ sở y tế, viện chuyên ngành tăng cường giám sát cửa khẩu, sẵn sàng thu dung, điều trị và kiểm soát nhiễm khuẩn nhằm ngăn chặn dịch xâm nhập Việt Nam.

Hải Phòng: Tăng cường giám sát, phòng chống bệnh do virus Nipah gây ra

Hải Phòng: Tăng cường giám sát, phòng chống bệnh do virus Nipah gây ra
Cơ quan chức năng TP Hải Phòng vừa triển khai đồng bộ các biện pháp tăng cường giám sát, phòng, chống bệnh tại các cửa ngõ vào thành phố như cảng biển, cảng hàng không.

Khẳng định vai trò đầu tàu – Hướng tới chỉ đạo tuyến bền vững, đồng bộ và chuyên sâu

Khẳng định vai trò đầu tàu – Hướng tới chỉ đạo tuyến bền vững, đồng bộ và chuyên sâu
Sáng 26/1/2026, tại Hội trường Bệnh viện Phụ Sản Trung ương – Cơ sở 2 (Thôn Ngọc Than, xã Kiều Phú, Hà Nội), Bệnh viện Phụ Sản Trung ương tổ chức Hội nghị Tổng kết công tác chỉ đạo tuyến chuyên ngành Phụ sản khu vực phía Bắc năm 2025.

Virus Nipah có tỷ lệ tử vong cao: Bộ Y tế khuyến cáo người dân không chủ quan

Virus Nipah có tỷ lệ tử vong cao: Bộ Y tế khuyến cáo người dân không chủ quan
Virus Nipah - mầm bệnh nguy hiểm có tỷ lệ tử vong cao, hiện đang ghi nhận ca mắc rải rác tại một số quốc gia châu Á.

Bệnh viện Mắt Đông Đô chuyển giao công nghệ SMILE Pro Vision ID: Cá nhân hóa điều trị tật khúc xạ bằng AI

Bệnh viện Mắt Đông Đô chuyển giao công nghệ SMILE Pro Vision ID: Cá nhân hóa điều trị tật khúc xạ bằng AI
Bệnh viện Mắt Đông Đô phối hợp Tập đoàn Carl Zeiss tổ chức Lễ chuyển giao công nghệ SMILE Pro Vision ID - bước tiến mới trong phẫu thuật tật khúc xạ công nghệ cao, ứng dụng trí tuệ nhân tạo cá nhân hóa điều trị, nâng cao độ an toàn và chất lượng thị giác lâu dài cho người bệnh.

Bệnh viện Đa khoa Thanh Chương đẩy mạnh truyền thông phòng chống đau mắt đỏ

Bệnh viện Đa khoa Thanh Chương đẩy mạnh truyền thông phòng chống đau mắt đỏ
Bệnh viện Đa khoa Thanh Chương là cơ sở y tế tuyến huyện giữ vai trò nòng cốt trong công tác chăm sóc, bảo vệ và nâng cao sức khỏe nhân dân trên địa bàn. Những năm qua, bệnh viện không ngừng nâng cao chất lượng khám chữa bệnh, đầu tư cơ sở vật chất, trang thiết bị và phát triển nguồn nhân lực y tế. Bên cạnh nhiệm vụ điều trị, bệnh viện đặc biệt chú trọng công tác y tế dự phòng, truyền thông – giáo dục sức khỏe cho người dân. Với phương châm lấy người bệnh làm trung tâm, Bệnh viện Đa khoa Thanh Chương từng bước khẳng định uy tín, đáp ứng ngày càng tốt hơn nhu cầu chăm sóc sức khỏe của cộng đồng.

Bộ trưởng Bộ Y tế Đào Hồng Lan: Chăm sóc sức khỏe nhân dân toàn diện, từ sớm, từ xa và ngay từ cơ sở

Bộ trưởng Bộ Y tế Đào Hồng Lan: Chăm sóc sức khỏe nhân dân toàn diện, từ sớm, từ xa và ngay từ cơ sở
Đại hội đại biểu toàn quốc lần thứ XIV của Đảng diễn ra từ ngày 19-25/1/2026. Phóng viên đã trao đổi với Uỷ viên Trung ương Đảng, Bộ trưởng Bộ Y tế Đào Hồng Lan về việc triển khai Nghị quyết 72-NQ/TW ngày 09/09/2025 của Bộ Chính trị, cùng các giải pháp trọng tâm nhằm tháo gỡ những điểm nghẽn kéo dài của ngành y tế, chuyển mạnh từ tư duy “chữa bệnh” sang chăm sóc sức khỏe toàn diện theo vòng đời, lấy người dân làm trung tâm.

Bệnh nhân 69 tuổi thoát khỏi sa sinh dục phức tạp sau ca phẫu thuật tại Vinmec Cần Thơ

Bệnh nhân 69 tuổi thoát khỏi sa sinh dục phức tạp sau ca phẫu thuật tại Vinmec Cần Thơ
Sau thời gian chịu đựng những cơn đau và bất tiện sinh hoạt kéo dài do tình trạng sa sinh dục gây ra, nữ bệnh nhân 69 tuổi đã tìm lại nhịp sống bình yên trước kia nhờ ca phẫu thuật phức tạp được thực hiện thành công bởi đội ngũ y bác sĩ Vinmec Cần Thơ.

iTrack Advance được chuyển giao: Nâng cao hiệu quả điều trị glôcôm

iTrack Advance được chuyển giao: Nâng cao hiệu quả điều trị glôcôm
Tiếp nhận chuyển giao kỹ thuật iTrack Advance – Bước tiến mới trong điều trị bệnh glôcôm ít xâm lấnTiếp nhận chuyển giao kỹ thuật iTrack Advance – Bước tiến mới trong điều trị bệnh glôcôm ít xâm lấn

Nguy cơ suy gan cấp từ Paracetamol nếu lạm dụng

Nguy cơ suy gan cấp từ Paracetamol nếu lạm dụng
Tự ý dùng Paracetamol liều cao trong nhiều ngày, một bệnh nhân cao tuổi ở Sơn La bị suy gan cấp nguy kịch, phải nhập viện điều trị tích cực.
Xem thêm
Để cơn hen không còn là “Nỗi ám ảnh” khi thời tiết chuyển mùa

Để cơn hen không còn là “Nỗi ám ảnh” khi thời tiết chuyển mùa

TS.BS Nguyễn Hữu Trường - Phó Giám đốc Trung tâm Dị ứng - Miễn dịch lâm sàng, Bệnh viện Bạch Mai đưa ra những “tư vấn vàng” giúp người cao tuổi kiểm soát bệnh hen phế quản, vui sống khỏe mạnh khi thời tiết chuyển mùa nồm ẩm, mưa rét.
Giải pháp điều trị thoái hóa khớp gối cho người bệnh cao tuổi

Giải pháp điều trị thoái hóa khớp gối cho người bệnh cao tuổi

Bệnh viện đa khoa tỉnh Thanh Hóa vừa phẫu thuật thành công bệnh nhân 76 tuổi bị thoái hóa khớp gối bằng phương pháp thay khớp gối toàn phần bảo toàn cơ.
Chủ động phòng ngừa bệnh phổi tắc nghẽn mạn tính khi trời rét - Lời khuyên đặc biệt cho người cao tuổi

Chủ động phòng ngừa bệnh phổi tắc nghẽn mạn tính khi trời rét - Lời khuyên đặc biệt cho người cao tuổi

Thời tiết lạnh dễ làm bệnh phổi tắc nghẽn mạn tính (COPD) bùng phát, đặc biệt ở người cao tuổi. Bài viết cập nhật dấu hiệu, cách phòng ngừa và lời khuyên từ chuyên gia y tế.
Sau kỳ nghỉ Tết, người cao tuổi cần chủ động tầm soát sức khỏe

Sau kỳ nghỉ Tết, người cao tuổi cần chủ động tầm soát sức khỏe

Tết Nguyên đán là dịp sum họp, vui xuân, nhưng cũng là khoảng thời gian nhiều người cao tuổi xao nhãng việc dùng thuốc, ăn uống thiếu kiểm soát, thức khuya, ít vận động. Không ít trường hợp sau kỳ nghỉ xuất hiện tăng huyết áp, rối loạn đường huyết, tái phát bệnh tim mạch hoặc nhập viện vì đột quỵ, suy tim, biến chứng đái tháo đường.
Vinmec Nha Trang cứu bệnh nhân nước ngoài cao tuổi sốc tim, nguy cơ đột tử cận kề

Vinmec Nha Trang cứu bệnh nhân nước ngoài cao tuổi sốc tim, nguy cơ đột tử cận kề

Nhập viện trong tình trạng sốc tim nặng do nhồi máu cơ tim cấp, nguy cơ tử vong rất cao, bệnh nhân người Trung Quốc 79 tuổi đã được các bác sĩ Bệnh viện Đa khoa Vinmec Nha Trang cứu sống ngoạn mục nhờ phối hợp nhiều kỹ thuật can thiệp tim mạch phức tạp.
Ba lần phẫu thuật cứu cụ ông mắc hai bệnh ung thư

Ba lần phẫu thuật cứu cụ ông mắc hai bệnh ung thư

Ở tuổi 70, ông Đông bất ngờ phát hiện mắc cùng lúc ung thư hạ họng, ung thư thực quản và phì đại tuyến tiền liệt. Các bác sĩ Bệnh viện Đa khoa Quốc tế Vinmec Times City đã tiến hành liên tiếp 3 ca phẫu thuật nội soi ít xâm lấn, vừa triệt căn ung thư, vừa
Phiên bản di động