Bệnh viện Bình Dân, TP Hồ Chí Minh

Phẫu thuật robot tạo hình cơ hoành trái cho người bệnh khó thở do nhão hoành

Bệnh viện Bình Dân vừa thực hiện thành công trường hợp phẫu thuật robot tạo hình cơ hoành trái, giúp bệnh nhân nhão hoành thoát khỏi tình trạng khó thở kéo dài.
Phẫu thuật robot tạo hình cơ hoành trái cho người bệnh khó thở do nhão hoành
Phẫu thuật bằng Robot tại bệnh viện Bình

Theo đó, bệnh nhân L.Q.G, 66 tuổi, Tây Ninh vừa được các bác sĩ khoa Lồng Ngực - Bướu cổ Bệnh viện Bình Dân thực hiện phẫu thuật robot tạo hình cơ hoành trái bị nhão khiến ông khó thở kéo dài không rõ nguyên nhân. Nhờ không phải mở lồng ngực để phẫu thuật như trước đây, ông G. đã hồi phục nhanh chóng và xuất viện sớm. Đây là lần đầu tiên robot phẫu thuật được ứng dụng trong tạo hình cơ hoành cho người bệnh nhão hoành, giúp người bệnh ít tổn thương, ít đau, ít mất máu và xuất viện sớm.

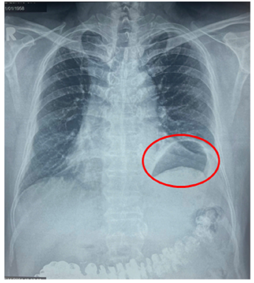
Ông G. cho biết, cách nhập viện khoảng 3 tháng ông thường hay khó thở, thở hụt hơi khi gắng sức, khi vận động hay đi lên cầu thang. Tình trạng này khiến ông không thể vận động thể lực mạnh hay đi bộ tập thể dục với cường độ như trước. Trong đợt khám sức khỏe định kỳ, một bác sĩ khi xem phim X-quang ngực thẳng của ông thì phát hiện vùng phổi bên trái có bất thường và khuyên ông đến Bệnh viện Bình Dân để khám chuyên khoa lồng ngực. Tại Bệnh viện Bình Dân, sau khi thăm khám lâm sàng và xem kết quả chụp X-quang ngực và MSCT-scan ngực, các bác sĩ chẩn đoán ông bị nhão hoành trái với hình ảnh vòm hoành trái nhô cao bất thường. Tình trạng này làm giảm thể tích lồng ngực trái, đây chính là nguyên nhân khiến ông bị khó thở khi gắng sức nhiều tháng nay mà ông không rõ nguyên nhân.

Phẫu thuật robot tạo hình cơ hoành trái cho người bệnh khó thở do nhão hoành

BS.CKII Nguyễn Văn Việt Thành đang điều khiển robot phẫu thuật cho người bệnh

Bệnh nhão cơ hoành khiến người bệnh có nguy cơ suy hô hấp và phương pháp điều trị duy nhất là phẫu thuật. Mục tiêu của điều trị là tái tạo cơ hoành, ngăn chặn tình trạng cơ hoành bị đẩy lên cao chèn ép phổi và tim, giúp phục hồi chức năng hô hấp. Nếu không phẫu thuật kịp thời, người bệnh dễ rơi vào tình trạng khó thở, viêm phổi và các biến chứng nguy hiểm khác. Hiện nay, có ba phương pháp phẫu thuật điều trị nhão cơ hoành bao gồm mở kinh điển, phẫu thuật nội soi và phẫu thuật robot. Người bệnh G. quyết định chọn phẫu thuật robot, đây là phương pháp phẫu thuật hiện đại nhất cho phép khâu gấp nếp tạo hình lại cơ hoành thuận lợi nhất, ít xâm lấn và người bệnh nhanh hồi phục sau mổ.

Ca phẫu thuật diễn ra trong khoảng 90 phút và đã thành công tốt đẹp, giúp phục hồi chức năng của cơ hoành cho ông G. Nhờ kỹ thuật phẫu thuật robot hiện đại, các bác sĩ thực hiện thao tác một cách chính xác và tỉ mỉ, hạn chế tối đa tổn thương cho bệnh nhân. Lượng máu mất trong quá trình phẫu thuật không đáng kể.

Phẫu thuật robot tạo hình cơ hoành trái cho người bệnh khó thở do nhão hoành
Hình ảnh cơ

BS.CKII. Nguyễn Văn Việt Thành, Trưởng khoa Lồng ngực - Bướu cổ Bệnh viện Bình Dân, Phó chủ nhiệm Bộ môn Ngoại, Đại học Y khoa Phạm Ngọc Thạch, bác sĩ phẫu thuật chính cho bệnh nhân G. cho biết: “Do không phải mở lồng ngực, không tổn thương các cơ thành ngực và dây thần kinh liên sườn nên người bệnh được phẫu thuật robot ít đau hơn, lành vết thương hậu phẫu và chức năng hô hấp được cải thiện tốt hơn. Phẫu thuật robot cũng khắc phục được nhược điểm của phẫu thuật nội soi là cánh tay thao tác linh hoạt, góc thao tác rộng, cho phép khâu nếp cơ hoành tạo hình thuận lợi, chính xác hơn so với dụng cụ nội soi thông thường. Một ưu điểm khác của phẫu thuật robot là không cần phải mở thêm đường mở ngực nhỏ. Thời gian phẫu thuật robot trong điều trị nhão cơ hoành khoảng 1/3 so với phẫu thuật mở kinh điển hay phẫu thuật nội soi. Cụ thể, ca phẫu thuật cho người bệnh G. chỉ diễn ra trong khoảng 90 phút. Trước đây, một ca phẫu thuật tương tự khi thực hiện qua nội soi có thể lên đến 180 phút. Phẫu thuật robot vì vậy hiện là lựa chọn hoàn hảo nhất trong tạo hình phục hồi cơ hoành.

Sau ca phẫu thuật robot, ông G. đã nhanh chóng hồi phục, ăn uống ngon miệng, vận động linh hoạt và xuất viện sớm. Ông chia sẻ rằng mình cảm thấy rất hài lòng với kết quả phẫu thuật và tin tưởng mình sớm có thể trở lại sinh hoạt bình thường như trước đây.

Phẫu thuật robot tạo hình cơ hoành trái cho người bệnh khó thở do nhão hoành

Chia sẻ thêm về bệnh nhão cơ hoành, bác sĩ Nguyễn Văn Việt Thành cho biết: “Nhão cơ hoành là một bệnh lý không phổ biến, thường khó phát hiện sớm do các triệu chứng ban đầu không rõ ràng. Bệnh này đa phần được phát hiện qua thăm khám tình cờ hoặc được phát hiện khi bệnh nhân đến khám về một triệu chứng khác như khó thở, nặng ngực hoặc hoạt động gắng sức bị hạn chế. Tương tự như người bệnh G. ở giai đoạn đầu người bệnh có thể chỉ cảm thấy hơi khó thở khi gắng sức. Tuy nhiên, nếu không được điều trị, bệnh có thể tiến triển nặng hơn, gây khó thở, viêm phổi và có thể tử vong”.

Nguyên nhân gây nhão hoành rất đa dạng, có thể do tuổi tác, chấn thương, phẫu thuật trước đó hoặc các bệnh như béo phì, hoạt động làm tăng áp lực ổ bụng, có khối u ăn lan đến dây thần kinh hoành gây liệt cơ hoành. Đáng chú ý, khoảng một nửa số trường hợp không tìm thấy nguyên nhân cụ thể.

Để chẩn đoán bệnh nhão cơ hoành, liệt cơ hoành, các bác sĩ thường chỉ định người bệnh thực hiện chụp phim X-quang ngực và MSCT-scan ngực. Qua hình ảnh, các chuyên gia có thể thấy cơ hoành bị nâng lên cao hơn so với bình thường. Tuy nhiên, cần phân biệt nhão, liệt hoành với một bệnh lý khác là thoát vị hoành. Thoát vị hoành xảy ra khi có một lỗ khuyết trên cơ hoành, khiến các cơ quan trong bụng như dạ dày, đại tràng có thể chui qua lỗ khuyết lên lồng ngực. Nguyên nhân thường do chấn thương hoặc bẩm sinh. Trong khi đó, nhão cơ hoành, liệt cơ hoành thì cơ quan này không có lỗ khuyết mà chỉ bị giảm đi trương lực của cơ hoành. Điều này khiến khoang bụng đẩy lên trên vùng ngực, khoang lồng ngực bị thu hẹp và tim, phổi bị chèn ép.

Cơ hoành là cơ ngăn cách khoang bụng và ngực, được điều khiển bởi dây thần kinh hoành. Đây là cơ hô hấp chính, đảm nhiệm 70-80% chức năng hô hấp trong cơ thể người. Khi cơ hoành bị nhão, liệt, chức năng hô hấp sẽ bị giới hạn đáng kể, thể tích không khí hít vào giảm sút. Điều này khiến người bệnh khó thở sâu, nhất là khi hoạt động thể chất mạnh.

Phẫu thuật robot tạo hình cơ hoành trái cho người bệnh khó thở do nhão hoành
Vòm hoành trái cao bất thường do nhão cơ hoành trái làm giảm thể tích lồng ngực trái gây khó thở gắng sức cho bệnh nhân

Để phòng ngừa và điều trị hiệu quả nhão cơ hoành, bác sĩ khuyến cáo: Khám sức khỏe định kỳ: Nếu có các triệu chứng bất thường như khó thở, đau ngực, ho kéo dài, hãy đến các cơ sở y tế để gặp bác sĩ. Điều trị sớm: Phát hiện và điều trị nhão cơ hoành càng sớm càng tốt giúp ngăn ngừa các biến chứng nguy hiểm. Chăm sóc sau phẫu thuật: Sau phẫu thuật, người bệnh cần tuân thủ hướng dẫn của bác sĩ để đảm bảo vết thương hồi phục tốt và ngăn ngừa bệnh tái phát.

Bác sĩ Nguyễn Văn Việt Thành lưu ý thêm cho người bệnh sau phẫu thuật: “Để giúp cơ hoành phục hồi tốt sau phẫu thuật, trong vòng 3 tháng đầu, người bệnh cần hạn chế các hoạt động mạnh như nâng vật nặng, tránh táo bón và viêm hô hấp. Nếu ho, rặn gây tăng áp lực ổ bụng, có thể ảnh hưởng đến vết mổ và làm chậm quá trình lành thương của cơ hoành”.

Hải Linh - Đại Long

Tin liên quan

Cùng chuyên mục

Tiến bộ trong thay khớp gối: Cá thể hóa điều trị và rút ngắn thời gian phục hồi cho bệnh nhân

Tiến bộ trong thay khớp gối: Cá thể hóa điều trị và rút ngắn thời gian phục hồi cho bệnh nhân

Bệnh viện Hoàn Mỹ Sài Gòn, thành viên Tập đoàn y khoa Hoàn Mỹ với các thương hiệu Hoàn Mỹ, Hạnh Phúc và Thuận Mỹ, tổ chức hội thảo khoa học “Cập nhật những tiến bộ trong kỹ thuật thay khớp gối” nhằm chia sẻ những cập nhật chuyên môn mới, kinh nghiệm thực hành lâm sàng và tăng cường kết nối chuyên môn trong lĩnh vực chấn thương chỉnh hình.
Phẫu thuật nội soi điều trị thành công nhiều ca viêm ruột thừa cấp tại Trung tâm Y tế Hoàng Mai

Phẫu thuật nội soi điều trị thành công nhiều ca viêm ruột thừa cấp tại Trung tâm Y tế Hoàng Mai

Viêm ruột thừa cấp là một trong những bệnh lý ngoại khoa thường gặp, có thể xảy ra ở nhiều lứa tuổi. Nếu không được phát hiện và điều trị kịp thời, bệnh có thể dẫn đến nhiều biến chứng nguy hiểm như viêm phúc mạc, nhiễm trùng ổ bụng, thậm chí đe dọa tính mạng người bệnh. Thời gian gần đây, Trung tâm Y tế Hoàng Mai đã liên tiếp thực hiện thành công nhiều ca phẫu thuật nội soi cắt ruột thừa, giúp người bệnh được điều trị hiệu quả ngay tại địa phương.
Boxer’s Fracture - Chấn thương gãy xương bàn tay dễ gặp sau va chạm mạnh

Boxer’s Fracture - Chấn thương gãy xương bàn tay dễ gặp sau va chạm mạnh

Đằng sau những cú đấm mạnh trên võ đài hay chỉ đơn giản là một va chạm trong sinh hoạt hằng ngày, bàn tay rất dễ trở thành “nạn nhân” của một dạng chấn thương khá điển hình trong y khoa: Boxer’s Fracture. Điều đáng nói, chấn thương này không chỉ xảy ra với vận động viên boxing mà có thể gặp ở bất kỳ ai.
Bộ Y tế chấn chỉnh hoạt động hiến, lấy, ghép mô và bộ phận cơ thể người

Bộ Y tế chấn chỉnh hoạt động hiến, lấy, ghép mô và bộ phận cơ thể người

Bộ Y tế yêu cầu toàn ngành y tế tăng cường quản lý, chấn chỉnh hoạt động hiến, lấy và ghép mô, bộ phận cơ thể người nhằm bảo đảm tuân thủ pháp luật và bảo vệ sức khỏe, tính mạng người dân.
Bệnh viện Đa khoa Trung ương Cần Thơ cứu sống bệnh nhân xuất huyết nguy kịch

Bệnh viện Đa khoa Trung ương Cần Thơ cứu sống bệnh nhân xuất huyết nguy kịch

Ngày 6/3, Bệnh viện Đa khoa Trung ương Cần Thơ cho biết các bác sĩ của bệnh viện vừa can thiệp nội mạch thành công, kịp thời cứu sống một bệnh nhân bị xuất huyết nặng do ung thư vòm hầu xâm lấn động mạch cảnh trong – tình trạng hiếm gặp nhưng đặc biệt nguy hiểm, có thể đe dọa tính mạng trong thời gian rất ngắn.

Tin khác

Làm chủ kỹ thuật khó trong không gian vài milimet, cứu sống bệnh nhân 73 tuổi có khối máu tụ nguy hiểm ở não

Làm chủ kỹ thuật khó trong không gian vài milimet, cứu sống bệnh nhân 73 tuổi có khối máu tụ nguy hiểm ở não
Bệnh nhân 73 tuổi nhập viện trong tình trạng gần như mất tri giác do khối máu tụ lớn chèn ép não, nguy cơ tàn phế hoặc tử vong cao. Bằng việc làm chủ kỹ thuật nội soi thần kinh trong không gian rất hẹp vài milimet, ê-kíp bác sĩ Vinmec đã lấy sạch khối máu tụ chỉ sau 2 giờ mổ cấp cứu, giúp bệnh nhân hồi phục ngoạn mục sau 5 ngày.

Để cơn hen không còn là “Nỗi ám ảnh” khi thời tiết chuyển mùa

Để cơn hen không còn là “Nỗi ám ảnh” khi thời tiết chuyển mùa
TS.BS Nguyễn Hữu Trường - Phó Giám đốc Trung tâm Dị ứng - Miễn dịch lâm sàng, Bệnh viện Bạch Mai đưa ra những “tư vấn vàng” giúp người cao tuổi kiểm soát bệnh hen phế quản, vui sống khỏe mạnh khi thời tiết chuyển mùa nồm ẩm, mưa rét.

Cấp cứu kịp thời bệnh nhi chấn thương sọ não nặng sau tai nạn

Cấp cứu kịp thời bệnh nhi chấn thương sọ não nặng sau tai nạn
Các bác sĩ Bệnh viện Nhi Thanh Hóa vừa điều trị thành công trường hợp bệnh nhi bị chấn thương sọ não nặng do tai nạn khi chơi patin.

Vinmec khai trương Bệnh viện Vinmec Ocean Park 2 – Mô hình Y tế tích hợp đầu tiên tại Việt Nam

Vinmec khai trương Bệnh viện Vinmec Ocean Park 2 – Mô hình Y tế tích hợp đầu tiên tại Việt Nam
Ngày 01/03/2026, Hệ thống Y tế Vinmec chính thức khai trương bệnh viện thứ 10 - Vinmec Ocean Park 2, có tổng vốn đầu tư 1.482 tỷ đồng. Đây là bệnh viện đầu tiên triển khai mô hình tích hợp đồng bộ và tại chỗ việc điều trị - phục hồi - an dưỡng, chuyển từ “chữa bệnh đơn thuần” sang “chăm sóc toàn diện”, thiết lập chuẩn mực hoàn toàn mới trong lĩnh vực y tế chất lượng cao tại Việt Nam.

Hội thảo chính sách sửa đổi, bổ sung Luật Phòng, chống tác hại của thuốc lá

Hội thảo chính sách sửa đổi, bổ sung Luật Phòng, chống tác hại của thuốc lá
Sáng 27/2/2026, tại Hà Nội, Bộ Y tế tổ chức Hội thảo truyền thông chính sách của Dự án Luật sửa đổi, bổ sung một số điều của Luật Phòng, chống tác hại của thuốc lá.

Còn nắm tay nhau, còn niềm tin nơi phòng chạy thận

Còn nắm tay nhau, còn niềm tin nơi phòng chạy thận
Giữa những ngày cuối tháng Hai, khi mùa xuân dịu dàng ghé qua tại, Bệnh viện Đa khoa thành phố Vinh vẫn có một câu chuyện lặng lẽ khiến nhiều người không khỏi xúc động. Hai bệnh nhân chạy thận định kỳ – mỗi người chỉ còn một chân – vẫn ngày ngày nắm chặt tay nhau đi qua hành lang bệnh viện. Và bên cạnh họ, những người thầy thuốc trong màu áo blouse trắng âm thầm chăm sóc, nâng đỡ niềm tin vào sự sống.

Bệnh viện Đa khoa Thanh Chương đưa vào sử dụng hệ thống máy đo loãng xương hiện đại từ Hàn Quốc

Bệnh viện Đa khoa Thanh Chương đưa vào sử dụng hệ thống máy đo loãng xương hiện đại từ Hàn Quốc
Bệnh viện Thanh Chương tiếp tục khẳng định quyết tâm nâng cao chất lượng khám chữa bệnh khi chính thức đưa vào vận hành hệ thống máy đo mật độ xương toàn thân Osteosys SMART FAN-BEAM (Hàn Quốc). Việc đầu tư trang thiết bị hiện đại này đánh dấu bước tiến quan trọng trong công tác chẩn đoán, tầm soát và điều trị các bệnh lý cơ xương khớp, đặc biệt là bệnh loãng xương – căn bệnh đang có xu hướng gia tăng và ngày càng trẻ hóa.

Bộ Y tế yêu cầu chủ động phòng ngừa, không để dịch virus Nipah xâm nhập

Bộ Y tế yêu cầu chủ động phòng ngừa, không để dịch virus Nipah xâm nhập
Trước nguy cơ dịch bệnh do virus Nipah lan rộng, Bộ Y tế đã ban hành công văn khẩn yêu cầu các địa phương, cơ sở y tế, viện chuyên ngành tăng cường giám sát cửa khẩu, sẵn sàng thu dung, điều trị và kiểm soát nhiễm khuẩn nhằm ngăn chặn dịch xâm nhập Việt Nam.

Hải Phòng: Tăng cường giám sát, phòng chống bệnh do virus Nipah gây ra

Hải Phòng: Tăng cường giám sát, phòng chống bệnh do virus Nipah gây ra
Cơ quan chức năng TP Hải Phòng vừa triển khai đồng bộ các biện pháp tăng cường giám sát, phòng, chống bệnh tại các cửa ngõ vào thành phố như cảng biển, cảng hàng không.

Khẳng định vai trò đầu tàu – Hướng tới chỉ đạo tuyến bền vững, đồng bộ và chuyên sâu

Khẳng định vai trò đầu tàu – Hướng tới chỉ đạo tuyến bền vững, đồng bộ và chuyên sâu
Sáng 26/1/2026, tại Hội trường Bệnh viện Phụ Sản Trung ương – Cơ sở 2 (Thôn Ngọc Than, xã Kiều Phú, Hà Nội), Bệnh viện Phụ Sản Trung ương tổ chức Hội nghị Tổng kết công tác chỉ đạo tuyến chuyên ngành Phụ sản khu vực phía Bắc năm 2025.

Virus Nipah có tỷ lệ tử vong cao: Bộ Y tế khuyến cáo người dân không chủ quan

Virus Nipah có tỷ lệ tử vong cao: Bộ Y tế khuyến cáo người dân không chủ quan
Virus Nipah - mầm bệnh nguy hiểm có tỷ lệ tử vong cao, hiện đang ghi nhận ca mắc rải rác tại một số quốc gia châu Á.

Bệnh viện Mắt Đông Đô chuyển giao công nghệ SMILE Pro Vision ID: Cá nhân hóa điều trị tật khúc xạ bằng AI

Bệnh viện Mắt Đông Đô chuyển giao công nghệ SMILE Pro Vision ID: Cá nhân hóa điều trị tật khúc xạ bằng AI
Bệnh viện Mắt Đông Đô phối hợp Tập đoàn Carl Zeiss tổ chức Lễ chuyển giao công nghệ SMILE Pro Vision ID - bước tiến mới trong phẫu thuật tật khúc xạ công nghệ cao, ứng dụng trí tuệ nhân tạo cá nhân hóa điều trị, nâng cao độ an toàn và chất lượng thị giác lâu dài cho người bệnh.

Bệnh viện Đa khoa Thanh Chương đẩy mạnh truyền thông phòng chống đau mắt đỏ

Bệnh viện Đa khoa Thanh Chương đẩy mạnh truyền thông phòng chống đau mắt đỏ
Bệnh viện Đa khoa Thanh Chương là cơ sở y tế tuyến huyện giữ vai trò nòng cốt trong công tác chăm sóc, bảo vệ và nâng cao sức khỏe nhân dân trên địa bàn. Những năm qua, bệnh viện không ngừng nâng cao chất lượng khám chữa bệnh, đầu tư cơ sở vật chất, trang thiết bị và phát triển nguồn nhân lực y tế. Bên cạnh nhiệm vụ điều trị, bệnh viện đặc biệt chú trọng công tác y tế dự phòng, truyền thông – giáo dục sức khỏe cho người dân. Với phương châm lấy người bệnh làm trung tâm, Bệnh viện Đa khoa Thanh Chương từng bước khẳng định uy tín, đáp ứng ngày càng tốt hơn nhu cầu chăm sóc sức khỏe của cộng đồng.

Bộ trưởng Bộ Y tế Đào Hồng Lan: Chăm sóc sức khỏe nhân dân toàn diện, từ sớm, từ xa và ngay từ cơ sở

Bộ trưởng Bộ Y tế Đào Hồng Lan: Chăm sóc sức khỏe nhân dân toàn diện, từ sớm, từ xa và ngay từ cơ sở
Đại hội đại biểu toàn quốc lần thứ XIV của Đảng diễn ra từ ngày 19-25/1/2026. Phóng viên đã trao đổi với Uỷ viên Trung ương Đảng, Bộ trưởng Bộ Y tế Đào Hồng Lan về việc triển khai Nghị quyết 72-NQ/TW ngày 09/09/2025 của Bộ Chính trị, cùng các giải pháp trọng tâm nhằm tháo gỡ những điểm nghẽn kéo dài của ngành y tế, chuyển mạnh từ tư duy “chữa bệnh” sang chăm sóc sức khỏe toàn diện theo vòng đời, lấy người dân làm trung tâm.

Bệnh nhân 69 tuổi thoát khỏi sa sinh dục phức tạp sau ca phẫu thuật tại Vinmec Cần Thơ

Bệnh nhân 69 tuổi thoát khỏi sa sinh dục phức tạp sau ca phẫu thuật tại Vinmec Cần Thơ
Sau thời gian chịu đựng những cơn đau và bất tiện sinh hoạt kéo dài do tình trạng sa sinh dục gây ra, nữ bệnh nhân 69 tuổi đã tìm lại nhịp sống bình yên trước kia nhờ ca phẫu thuật phức tạp được thực hiện thành công bởi đội ngũ y bác sĩ Vinmec Cần Thơ.
Xem thêm
Để cơn hen không còn là “Nỗi ám ảnh” khi thời tiết chuyển mùa

Để cơn hen không còn là “Nỗi ám ảnh” khi thời tiết chuyển mùa

TS.BS Nguyễn Hữu Trường - Phó Giám đốc Trung tâm Dị ứng - Miễn dịch lâm sàng, Bệnh viện Bạch Mai đưa ra những “tư vấn vàng” giúp người cao tuổi kiểm soát bệnh hen phế quản, vui sống khỏe mạnh khi thời tiết chuyển mùa nồm ẩm, mưa rét.
Giải pháp điều trị thoái hóa khớp gối cho người bệnh cao tuổi

Giải pháp điều trị thoái hóa khớp gối cho người bệnh cao tuổi

Bệnh viện đa khoa tỉnh Thanh Hóa vừa phẫu thuật thành công bệnh nhân 76 tuổi bị thoái hóa khớp gối bằng phương pháp thay khớp gối toàn phần bảo toàn cơ.
Chủ động phòng ngừa bệnh phổi tắc nghẽn mạn tính khi trời rét - Lời khuyên đặc biệt cho người cao tuổi

Chủ động phòng ngừa bệnh phổi tắc nghẽn mạn tính khi trời rét - Lời khuyên đặc biệt cho người cao tuổi

Thời tiết lạnh dễ làm bệnh phổi tắc nghẽn mạn tính (COPD) bùng phát, đặc biệt ở người cao tuổi. Bài viết cập nhật dấu hiệu, cách phòng ngừa và lời khuyên từ chuyên gia y tế.
Sau kỳ nghỉ Tết, người cao tuổi cần chủ động tầm soát sức khỏe

Sau kỳ nghỉ Tết, người cao tuổi cần chủ động tầm soát sức khỏe

Tết Nguyên đán là dịp sum họp, vui xuân, nhưng cũng là khoảng thời gian nhiều người cao tuổi xao nhãng việc dùng thuốc, ăn uống thiếu kiểm soát, thức khuya, ít vận động. Không ít trường hợp sau kỳ nghỉ xuất hiện tăng huyết áp, rối loạn đường huyết, tái phát bệnh tim mạch hoặc nhập viện vì đột quỵ, suy tim, biến chứng đái tháo đường.
Vinmec Nha Trang cứu bệnh nhân nước ngoài cao tuổi sốc tim, nguy cơ đột tử cận kề

Vinmec Nha Trang cứu bệnh nhân nước ngoài cao tuổi sốc tim, nguy cơ đột tử cận kề

Nhập viện trong tình trạng sốc tim nặng do nhồi máu cơ tim cấp, nguy cơ tử vong rất cao, bệnh nhân người Trung Quốc 79 tuổi đã được các bác sĩ Bệnh viện Đa khoa Vinmec Nha Trang cứu sống ngoạn mục nhờ phối hợp nhiều kỹ thuật can thiệp tim mạch phức tạp.
Ba lần phẫu thuật cứu cụ ông mắc hai bệnh ung thư

Ba lần phẫu thuật cứu cụ ông mắc hai bệnh ung thư

Ở tuổi 70, ông Đông bất ngờ phát hiện mắc cùng lúc ung thư hạ họng, ung thư thực quản và phì đại tuyến tiền liệt. Các bác sĩ Bệnh viện Đa khoa Quốc tế Vinmec Times City đã tiến hành liên tiếp 3 ca phẫu thuật nội soi ít xâm lấn, vừa triệt căn ung thư, vừa
Phiên bản di động