 |
| BS.CKII Nguyễn Phúc Minh thăm bệnh nhân trước khi xuất viện |
Bệnh nhân N.V.T, 47 tuổi, tại Long An bắt đầu cảm thấy những cơn căng tức vùng bụng, nhức mỏi về đêm sau những giờ lái xe tải đường dài. Ban đầu, anh T cho rằng do đặc thù công việc lái xe và sở thích uống bia khiến bụng ngày càng phình to, gây cảm giác nặng nề. Chỉ đến khi bụng căng cứng, nhô hẳn về phía trước và hai bên hông, anh mới khám bệnh tại địa phương.
Kết quả siêu âm bụng của người bệnh khiến các bác sĩ tuyến trước rất ngạc nhiên vì có một khối choán chỗ gần hết ổ bụng. Anh T được chuyển đến Bệnh viện Bình Dân để phẫu thuật lấy khối bướu lớn ra khỏi cơ thể.
BS.CKII Nguyễn Phúc Minh, Trưởng khoa Ngoại tiêu hóa là người trực tiếp phẫu thuật cho anh T. Bác sĩ Minh cho biết: “Kết quả chụp MRI bụng cho thấy khối bướu có đường kính lên đến 40 cm, cấu trúc tương đồng với mô mỡ, chiếm gần toàn bộ ổ bụng và bao quanh thận phải. Nghiêm trọng hơn, khối bướu dính và chèn ép các mạch máu lớn như động mạch, tĩnh mạch chủ bụng và các mạch máu lân cận làm suy giảm chức năng thận”.
Ban đầu, anh T và vợ rất hoang mang. Tuy nhiên, sau khi được bác sĩ tư vấn cặn kẽ, anh T. đã quyết định phẫu thuật để lấy khối bướu khổng lồ. Nếu không, khối bướu sẽ chèn ép xung quanh, dẫn đến những biến chứng như thận ứ nước, tắc ruột và nguy hiểm tính mạng.
 |
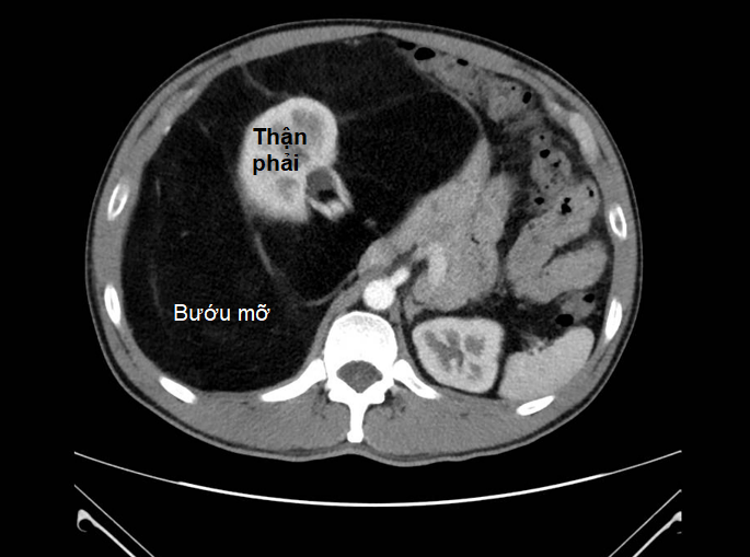
| CT bụng của bệnh nhân cho thấy bướu choán toàn ổ bụng, thận phải đã bị bướu mỡ bao xung quanh |
Trường hợp của anh T đã được các bác sĩ các chuyên khoa ngoại tổng quát, phẫu thuật tim - mạch máu, tiết niệu và gây mê hồi sức phối hợp thực hiện. Các bác sĩ ngoại tổng quát và tiết niệu loại bỏ khối bướu dây dính sau phúc mạc, đồng thời bảo tồn thận phải. Các bác sĩ mạch máu bóc tách các mạch máu để giảm tổn thương và tránh mất máu. Bên cạnh đó, công tác gây mê hồi sức cũng được tính toán kỹ lưỡng để đảm bảo an toàn cho người bệnh”. Sau hơn 5 giờ phẫu thuật, ca phẫu thuật đã được thực hiện thành công.
Quá trình hồi phục của anh T rất thuận lợi. Sau mổ hai ngày, bệnh nhân đã có thể ăn uống như trước và bắt đầu vận động.
“Tôi rất bất ngờ khi bác sĩ cho biết khối bướu được lấy ra nặng đến 8 kg, đường kính lên đến 40 cm. Thật không thể tưởng tượng được bên trong bụng mình là khối bướu lớn như vậy. Tôi thật sự rất may mắn khi được các bác sĩ cứu chữa kịp thời”, anh T chia sẻ.
Bệnh viện Bình Dân cũng từng tiếp nhận những trường hợp bướu mỡ, bướu sau phúc mạc âm thầm lớn dần trong bụng người bệnh. Các bác sĩ vẫn còn nhớ rõ về một người bệnh 27 tuổi, mang thai 15 tuần. Qua siêu âm bụng, các bác sĩ phát hiện một khối bướu lớn có đường kính khoảng 40 cm đang chèn ép trực tiếp vào tử cung, gây nguy hiểm cho thai nhi.
| Bướu mỡ (Liposarcoma) là bệnh lý ác tính hiếm gặp. Tỷ lệ mắc trong cộng đồng ước tính khoảng 0,3% đến 0,4% trên 100.000 người. Bướu mỡ sau phúc mạc thường gặp nhất ở nhóm tuổi từ 60 đến 70. Tổ chức Y tế Thế giới (WHO) phân loại bướu mỡ thành 5 loại chính, bao gồm: biệt hóa tốt (well-differentiated), dạng nhầy (myxoid), tế bào tròn (round cell), đa hình (pleomorphic) và biệt hóa kém (dedifferentiated). Bướu mỡ biệt hóa tốt là loại mô học thường gặp nhất và có tiên lượng tốt nhất do ít có khả năng xâm lấn hoặc di căn xa. Bướu mỡ có thể phát triển ở nhiều nơi trong cơ thể, phổ biến nhất là ở các chi và sau phúc mạc. Phương pháp điều trị tiêu chuẩn là phẫu thuật cắt bỏ tận gốc khối bướu. Lựa chọn phương pháp điều trị dựa trên nhiều yếu tố như tuổi tác, bệnh nền và vị trí khối bướu. |
Người bệnh được phẫu thuật để lấy ra khối bướu nặng hơn 5 kg. Kết quả giải phẫu bệnh là bướu mỡ (liposarcoma) nguyên phát sau phúc mạc biệt hóa tốt. Người bệnh xuất viện hồi phục nhanh chóng sau phẫu thuật 5 ngày. Thai kỳ của người bệnh tiến triển tốt và người bệnh đã sinh con tự nhiên.
Các bác sĩ khuyến cáo nên kiểm tra sức khỏe định kỳ, mỗi năm ít nhất 1 lần. Đối với những trường hợp có khối choán chỗ, siêu âm bụng có thể giúp phát hiện và điều trị sớm. Từ đó, người bệnh có thể tránh được những biến chứng phức tạp.