Bệnh viện Đa khoa Trung ương Cần Thơ:

Cứu sống bệnh nhân nguy kịch do xuất huyết tiêu hóa từ ruột non hiếm gặp

Ngày 18/6, thông tin từ Bệnh viện Đa khoa Trung ương Cần Thơ cho biết các bác sĩ nhiều chuyên khoa phối hợp cứu sống bệnh nhân nguy kịch do xuất huyết tiêu hóa từ ruột non do nguyên nhân dị dạng mạch máu.
Cứu sống bệnh nhân nguy kịch do xuất huyết tiêu hóa từ ruột non hiếm gặp
Bệnh nhân ổn định sau phẫu thuật


Bệnh nhân nữ N.T.L, sinh năm 1965, ở Phú Tân, tỉnh Cà Mau, được tuyến trước chuyển đến Bệnh viện Đa khoa Trung ương Cần Thơ vào lúc 12 giờ 5 phút ngày 12/6/2024 với tình trạng lơ mơ, tiêu ra máu nhiều, da niêm nhợt, huyết áp thấp, mạch nhanh nhẹ khó bắt, suy hô hấp, toan chuyển hóa. Bệnh nhân được nội soi dạ dày - tá tràng, nội soi đại tràng từ tuyến trước không phát hiện tổn thương.

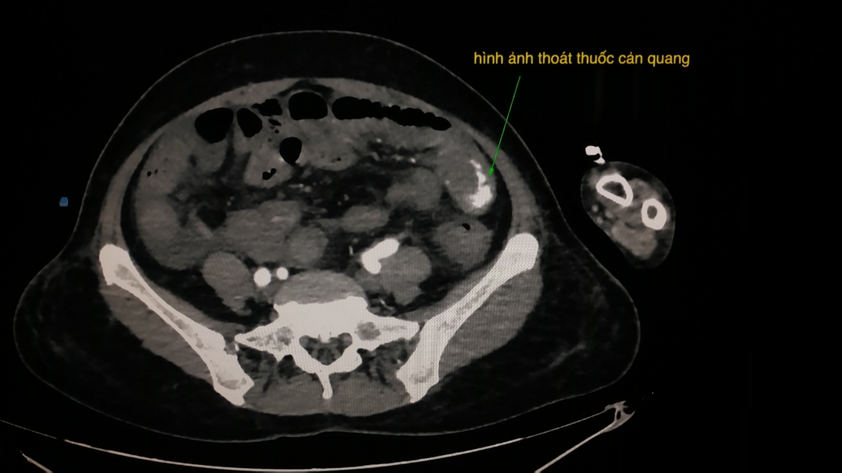
Ngay sau khi tiếp nhận, khoa Cấp cứu thực hiện qui trình báo động đỏ nội viện. Hội chẩn nhiều chuyên khoa thống nhất chẩn đoán: Choáng do xuất huyết tiêu hóa dưới nghĩ từ ruột non mức độ nặng - toan chuyển hóa - suy hô hấp, rối loạn đông máu. Bệnh nhân được tiến hành cấp cứu, truyền dịch, truyền máu, truyền huyết tương tươi đông lạnh khẩn cấp, hồi sức nội khoa, đặt nội khí quản, thở máy, chống toan, đặt catheter đo huyết áp động mạch xâm lấn. Kết quả kiếm tra ghi nhận bệnh nhân bị sốc mất máu nặng, chỉ số huyết học ở mức báo động: huyết sắc tố 4.0 g/dl (bình thường: 12.5 – 16g/dl). Thống nhất khi tình trạng bệnh nhân di chuyển được sẽ chụp cắt lớp vi tính bụng có cản quang trước để xem tình trạng thoát mạch. Kết quả ghi nhận hình ảnh thoát mạch thuốc cản quang trong thành quai ruột non hông trái, không thấy u bướu hay polyp.

Bệnh nhân được chỉ định chụp và nút động mạch điều trị cầm máu các tạng số hóa xóa nền, tuy nhiên không thực hiện can thiệp được do không ghi nhận được dấu hiệu thoát mạch khi tiến hành chụp mạch máu số hóa xóa nền.

Sau đó, bệnh nhân được hồi sức tích cực, điều chỉnh rối loạn đông máu và quyết định phẫu thuật. Quá trình phẫu thuật, ê kíp kiểm tra ruột non cách đoạn hồi manh tràng 1m, đoạn dài 30cm mạch máu tăng sinh và thay đổi màu sắc so với đoạn ruột còn lại, lòng ruột non có máu cũ. Ê kíp tiến hành mở đoạn ruột non có tăng sinh mạch máu thấy nhú mạch máu có máu cục trên nhú, cắt đoạn ruột non 30cm, nối tận – tận, dẫn lưu theo dõi, gửi mẫu giải phẫu bệnh. Ca phẫu thuật thành công sau 02 giờ, quá trình cấp cứu và phẫu thuật bệnh nhân được chỉ định truyền 35 đơn vị máu và các chế phẩm của máu. Dấu hiệu sinh tồn ổn định nhanh chóng sau can thiệp phẫu thuật.

Sau phẫu thuật, bệnh nhân được chuyển khoa Hồi sức tích cực – Chống độc theo dõi và tiếp tục hồi sức nội khoa tích cực. Tình trạng hiện tại, sức khỏe bệnh nhân ổn định, niêm hồng đang được điều trị tại khoa ngoại tổng hợp.

Cứu sống bệnh nhân nguy kịch do xuất huyết tiêu hóa từ ruột non hiếm gặp

Hình ảnh chụp cắt lớp vi tính bụng có cản quang ghi nhận có hiện tượng thoát thuốc cản quang

BS.CK2 Bồ Kim Phương, Trưởng khoa Nội Tiêu hóa huyết học lâm sàng bệnh viện cho biết: Chảy máu tiêu hóa dưới nguyên nhân từ ruột non (từ góc tá hổng tràng cho đến hồi tràng), nguyên nhân thường gặp là dị dạng mạch máu ruột, tổn thương viêm trợt xuất huyết, polyp ruột non, u ruột non. Trong đó, nguyên nhân chảy máu từ ruột non chỉ chiếm 5-10% số ca, với đặc điểm lâm sàng là chảy máu nhiều đợt, thường tự ngưng nhưng dễ tái diễn. Thể này thường khó chẩn đoán và khó điều trị do ruột non rất dài, trung bình 6,5m. Chảy máu ruột non do nguyên nhân dị dạng mạch máu ruột càng hiếm gặp và khó chẩn đoán hơn.

Hiện nay, với sự phát triển của nội soi ruột non, nhiều trường hợp đã được chẩn đoán và can thiệp thành công qua nội soi. Tuy vậy, đây là một thủ thuật xâm lấn, tốn nhiều thời gian, cần chuẩn bị ruột sạch, không thích hợp trong những tình huống chảy máu ồ ạt, tụt huyết áp nặng.

Trong khi đó, chụp mạch máu kết hợp can thiệp nút mạch cầm máu đã được sử dụng hơn 30 năm nay trong nhiều lĩnh vực, và cũng đã được sử dụng trong nút mạch xuất huyết tiêu hóa khi can thiệp nội soi thất bại, hoặc không có các dụng cụ can thiệp qua nội soi, hoặc không có hệ thống nội soi.

Hạn chế của kỹ thuật này là do bản chất của chảy máu tiêu hóa dưới thường diễn tiến âm thầm, xuất hiện rồi tự ngưng hoặc chảy máu rỉ rả ở áp lực thấp khi bệnh nhân vào bệnh viện gây khó khăn cho việc xác định điểm chảy máu, do đó tỉ lệ phát hiện vị trí chảy máu chỉ khoảng 40%.

Ngay cả khi phẫu thuật thì việc xác định vị trí chảy máu nhiều lúc vẫn rất khó khăn do ruột non dài, lòng ruột tràn ngập máu đen che khuất điểm chảy máu. Do đó, can thiệp nội mạch ở các xuất huyết từ ruột non hiện vẫn đang được nhiều chuyên gia khuyến cáo ở các trường hợp bệnh nặng, không thích hợp trải qua một cuộc đại phẫu. Phẫu thuật nên được xem là phương pháp cứu mạng, khi can thiệp nội mạch thất bại hoặc tình trạng bệnh nhân quá nặng không thể trì hoãn can thiệp.

Xuất huyết tiêu hoá do dị dạng mạch máu ruột non là bệnh hiếm gặp, có nhiều thách thức trong chẩn đoán và điều trị, cần sự phối hợp của nhiều chuyên khoa với trang thiết bị hiện đại, đặc biệt sự thành công của ca cấp cứu này được sự hỗ trợ kịp thời trong việc cung cấp máu và chế phẩm máu số lượng lớn của bệnh viện Huyết học truyền máu thành phố Cần Thơ, BS Phương cho biết thêm.

Với các trang thiết bị hiện đại cùng đội ngũ nhân lực có trình độ chuyên môn sâu, đồng bộ ở các chuyên khoa, thời gian qua Bệnh viện Đa khoa Trung ương Cần Thơ đã phối hợp cấp cứu nhiều trường hợp tai nạn giao thông, tai nạn lao động đa chấn thương phức tạp, đặc biệt vết thương thấu bụng, vết thương tim nguy kịch. Nhiều trường hợp bệnh nhân được cứu sống ngoạn mục góp phần mang lại niềm tin cho người dân về hoạt động cấp cứu của bệnh viện tuyến cuối khu vực Đồng bằng sông Cửu Long.

Hải Linh - Quang Nhân

Tin liên quan

Cùng chuyên mục

Ngành y tế tư nhân bứt phá: Bệnh viện Đa khoa Phương Đông lọt Top 10 Thương hiệu hàng đầu Việt Nam

Ngành y tế tư nhân bứt phá: Bệnh viện Đa khoa Phương Đông lọt Top 10 Thương hiệu hàng đầu Việt Nam

Bệnh viện Phương Đông vào Top 10 Thương hiệu hàng đầu Việt Nam: Dấu ấn mô hình y tế tư nhân chất lượng cao
Bệnh viện Mắt đem lại “ánh sáng” cho người bệnh bằng kỹ thuật ghép giác mạc nội mô và ghép giác mạc xuyên

Bệnh viện Mắt đem lại “ánh sáng” cho người bệnh bằng kỹ thuật ghép giác mạc nội mô và ghép giác mạc xuyên

Sau khi tiếp nhận mô giác mạc từ Ngân hàng Mắt Nepal vào tối 27/11, Bệnh viện Mắt đã hội chẩn và tiến hành ghép giác mạc thành công cho 12 ca bệnh bị tổn thương giác mạc nặng lâu năm. Đây là một trong số những người bệnh chờ ghép giác mạc của bệnh viên trong thời gian qua.
Tăng cường sàng lọc phòng ngừa bệnh phổi ở người cao tuổi trong mùa lạnh

Tăng cường sàng lọc phòng ngừa bệnh phổi ở người cao tuổi trong mùa lạnh

Bệnh phổi ở người cao tuổi trong mùa lạnh đang trở thành mối lo hàng đầu khi thời tiết liên tục giảm sâu, khiến nguy cơ diễn tiến nặng các bệnh hô hấp tăng cao. Cùng với hoạt động sàng lọc quy mô lớn do Bệnh viện Phổi Nghệ An triển khai, các chuyên gia nhấn mạnh vai trò quan trọng của việc chủ động phòng ngừa để bảo vệ sức khỏe lá phổi cho người lớn tuổi trong giai đoạn nhạy cảm này.
Khai trương đơn vị siêu âm can thiệp, Bệnh viện Lê Văn Thịnh đánh dấu bước tiến mới trong điều trị tối thiểu xâm lấn

Khai trương đơn vị siêu âm can thiệp, Bệnh viện Lê Văn Thịnh đánh dấu bước tiến mới trong điều trị tối thiểu xâm lấn

Ngày 5/12, Bệnh viện Lê Văn Thịnh, TP. Hồ Chí Minh tổ chức Lễ khai trương đơn vị siêu âm can thiệp, đánh dấu một cột mốc quan trọng trong lộ trình ứng dụng công nghệ cao, mở ra nhiều phương pháp điều trị hiện đại, ít xâm lấn cho các bệnh lý u lành tuyến giáp và tuyến vú.
Cứu sống thiếu niên 15 tuổi mắc bệnh Whitmore nguy kịch ở Thanh Hóa

Cứu sống thiếu niên 15 tuổi mắc bệnh Whitmore nguy kịch ở Thanh Hóa

Bệnh viện Nhi Thanh Hóa vừa cứu sống bệnh nhi 15 tuổi mắc bệnh Whitmore với biến chứng rất nặng.

Tin khác

Bệnh viện Đông Anh kịp thời cứu sống bệnh nhân 64 tuổi bị đột quỵ

Bệnh viện Đông Anh kịp thời cứu sống bệnh nhân 64 tuổi bị đột quỵ
Bệnh viện Đông Anh (Hà Nội) đã cứu sống bệnh nhân 64 tuổi bị đột quỵ nhờ tiêu sợi huyết kịp thời. Bác sĩ khuyến cáo trời lạnh thất thường làm tăng nguy cơ đột quỵ ở người cao tuổi.

Bệnh viện đa khoa thành phố Vinh cứu sống người bệnh 80 tuổi bị nhồi máu cơ tim

Bệnh viện đa khoa thành phố Vinh cứu sống người bệnh 80 tuổi bị nhồi máu cơ tim
Vừa qua, Khoa Cấp cứu – Bệnh viện Đa khoa Thành phố Vinh (Nghệ An) đã tiếp nhận người bệnh Nguyễn Thị T. (80 tuổi) trong tình trạng đau ngực dữ dội sau xương ức, cảm giác bóp nghẹt, khó thở dù đang nghỉ ngơi, kèm chóng mặt và mệt lả. Trước đó, người bệnh có tiền sử tăng huyết áp – một yếu tố nguy cơ quan trọng của bệnh lý mạch vành.

Bác sĩ điều khiển Robot cắt thận cho bệnh nhân ung thư cao tuổi, nhiều bệnh nền

Bác sĩ điều khiển Robot cắt thận cho bệnh nhân ung thư cao tuổi, nhiều bệnh nền
Sau 12 năm chạy thận, ông Minh (80 tuổi) phát hiện ung thư thận, bác sĩ buộc phải cắt bỏ thận trái, ngăn ung thư tiến triển với sự hỗ trợ của robot Da Vinci Xi.

Gần 2.500 bệnh nhân viêm gan B được xét nghiệm viêm gan D miễn phí

Gần 2.500 bệnh nhân viêm gan B được xét nghiệm viêm gan D miễn phí
Viện Nghiên cứu Tâm Anh thuộc Hệ thống Bệnh viện Đa khoa Tâm Anh cùng Viện Nghiên cứu Vi sinh và Chống dịch Stanford (Hoa Kỳ) thực hiện nghiên cứu HEP-D, đánh giá nguy cơ đồng nhiễm viêm gan siêu vi D trên người bệnh viêm gan B với quy mô lớn nhất từ trước đến nay.

Hà Nội tăng tốc nâng cao chất lượng dân số: Chủ động thích ứng với già hóa bằng những mô hình chăm sóc thiết thực

Hà Nội tăng tốc nâng cao chất lượng dân số: Chủ động thích ứng với già hóa bằng những mô hình chăm sóc thiết thực
Hà Nội đẩy mạnh công tác dân số, mở rộng sàng lọc, chăm sóc sức khỏe người cao tuổi và tuyên truyền thay đổi hành vi trong bối cảnh già hóa ngày càng nhanh.

Cứu sống bệnh nhân 71 tuổi bị ong vò vẽ đốt tại Ninh Bình

Cứu sống bệnh nhân 71 tuổi bị ong vò vẽ đốt tại Ninh Bình
Vừa qua, Bệnh viện đa khoa tỉnh Ninh Bình đã cấp cứu và điều trị kịp thời, thành công cứu sống bệnh nhân 71 tuổi bị ong vò vẽ đốt, biến chứng suy thận cấp và suy đa tạng – tình trạng nguy kịch có thể tử vong nhanh nếu không xử trí kịp thời.

Đái tháo đường: Căn bệnh mạn tính đang ảnh hưởng tới 1/10 người trưởng thành

Đái tháo đường: Căn bệnh mạn tính đang ảnh hưởng tới 1/10 người trưởng thành
Theo Liên đoàn Đái tháo đường Quốc tế (IDF), năm 2025, có tới 11,1% người trưởng thành trên toàn cầu (tương đương 1/9 dân số) đang sống chung với bệnh đái tháo đường. Đáng chú ý, hơn 40% người bệnh chưa biết mình mắc bệnh, làm gia tăng nguy cơ biến chứng nặng.

Hệ thống Y tế Vinmec: Vị thế mới cho Việt Nam trên bản đồ y tế thế giới

Hệ thống Y tế Vinmec: Vị thế mới cho Việt Nam trên bản đồ y tế thế giới
GS.TS Trần Trung Dũng, Tổng Giám đốc Hệ thống Y tế Vinmec, vừa vinh dự được chọn xuất hiện trên trang bìa Asian Hospital & Healthcare Management - Tạp chí uy tín hàng đầu khu vực châu Á về quản trị y tế. Nhân dịp này, ông có chia sẻ với phóng viên Tạp chí Asian Hospital & Healthcare Management về triết lý đặt con người làm trung tâm, nơi Vinmec không ngừng phát triển năng lực lâm sàng và đổi mới y học với mục tiêu duy nhất: mang lại cuộc sống khỏe mạnh hơn cho mọi người bệnh.

Đột quỵ khi trời chuyển lạnh: Người cao tuổi cần lưu ý gì?

Đột quỵ khi trời chuyển lạnh: Người cao tuổi cần lưu ý gì?
Khi thời tiết chuyển lạnh, nguy cơ đột quỵ tăng cao, đặc biệt ở người cao tuổi. Chuyên gia khuyến cáo cách nhận biết sớm và phòng ngừa hiệu quả.

360 sản phụ và bệnh nhân hiếm muộn được chăm sóc sức khỏe sinh sản

360 sản phụ và bệnh nhân hiếm muộn được chăm sóc sức khỏe sinh sản
Quỹ Vì Tầm Vóc Việt (VSF), BAC A BANK và Tập đoàn TH phối hợp với Bệnh viện Phụ sản Trung ương (BVPSTW) tổ chức chương trình “Chăm sóc sức khỏe sinh sản, sức khỏe mẹ và bé - Chắp cánh ước mơ làm cha mẹ”, giúp hàng trăm phụ nữ mang thai và các cặp vợ chồng hiếm muộn được khám, tư vấn và xét nghiệm miễn phí.

Phẫu thuật thành công ung thư da lan rộng vùng mặt cho bệnh nhân 93 tuổi tại Ninh Bình

Phẫu thuật thành công ung thư da lan rộng vùng mặt cho bệnh nhân 93 tuổi tại Ninh Bình
Vừa qua, một bệnh nhân 93 tuổi đã được các bác sỹ Bệnh viện Đa khoa tỉnh Ninh Bình thực hiện thành công ca phẫu thuật ung thư da lan rộng vùng mặt - đánh dấu một bước tiến mới trong việc chăm sóc sức khỏe cho người cao tuổi.

Bệnh viện Thanh Nhàn cắt bỏ thành công khối u xơ tử cung khổng lồ gần 10kg

Bệnh viện Thanh Nhàn cắt bỏ thành công khối u xơ tử cung khổng lồ gần 10kg
Các bác sĩ Khoa Phụ sản theo yêu cầu - Bệnh viện Thanh Nhàn vừa phẫu thuật thành công khối u xơ tử cung khổng lồ nặng gần 10kg cho bệnh nhân 50 tuổi. Ca mổ phức tạp, hiếm gặp này khẳng định năng lực chuyên môn và tinh thần tận tâm vì người bệnh của đội ngũ y bác sĩ.

Bệnh viện Mắt TP Hồ Chí Minh cứu thành công cháu bé nguy cơ mù mắt do tai nạn câu cá

Bệnh viện Mắt TP Hồ Chí Minh cứu thành công cháu bé nguy cơ mù mắt do tai nạn câu cá
Bệnh viện Mắt TP Hồ Chí Minh đã cấp cứu thành công một trường hợp tai nạn do bị móc câu cá móc trúng mắt trái xuyên thấu nhãn cầu, có nguy cơ bỏ mắt.

Tắm mùa lạnh sai cách có thể gây ngừng tim: Người cao tuổi không nên chủ quan

Tắm mùa lạnh sai cách có thể gây ngừng tim: Người cao tuổi không nên chủ quan
Tắm mùa lạnh với nước quá nóng hoặc quá lạnh có thể khiến nhịp tim và huyết áp thay đổi đột ngột, làm tăng nguy cơ ngừng tim, đặc biệt ở người cao tuổi và người có bệnh nền tim mạch. Hiểu đúng và tắm đúng cách giúp phòng ngừa biến cố tim mạch nguy hiểm trong mùa đông.

90% ung thư phổi xuất phát từ thói quen hút thuốc lá

90% ung thư phổi xuất phát từ thói quen hút thuốc lá
Theo thống kê mới nhất, mỗi năm Việt Nam có hơn 26.000 ca mắc mới ung thư phổi, trong đó đến 90% liên quan trực tiếp đến thói quen hút thuốc.
Xem thêm
Bệnh viện Thận Hà Nội: Dinh dưỡng hợp lý giúp bảo vệ tim và thận

Bệnh viện Thận Hà Nội: Dinh dưỡng hợp lý giúp bảo vệ tim và thận

Người mắc bệnh thận mạn thường có nguy cơ cao kèm theo bệnh tim mạch. Một chế độ ăn uống khoa học, kiểm soát muối, đạm, mỡ và lượng nước hợp lý sẽ giúp giảm biến chứng, bảo vệ sức khỏe tim và thận, đặc biệt cần thiết đối với người cao tuổi.
Kết hợp y học cổ truyền và hiện đại, nâng cao sức khỏe người cao tuổi

Kết hợp y học cổ truyền và hiện đại, nâng cao sức khỏe người cao tuổi

Trong khi y học hiện đại ngày càng phát triển, y học cổ truyền (YHCT) vẫn khẳng định vị trí quan trọng trong chăm sóc sức khỏe, nhất là đối với người cao tuổi.
Phòng chống bệnh Alzheimer: Kinh nghiệm quốc tế và bài học thiết thực cho Việt Nam

Phòng chống bệnh Alzheimer: Kinh nghiệm quốc tế và bài học thiết thực cho Việt Nam

Tháng 9 hằng năm được thế giới chọn là Tháng hành động phòng, chống bệnh Alzheimer, là dịp nâng cao nhận thức xã hội về tác động nặng nề của bệnh Alzheimer và các dạng sa sút trí tuệ khác đối với đời sống.
“Vùng xanh thế giới” - Giải mã bí mật nơi con người có tuổi thọ cao

“Vùng xanh thế giới” - Giải mã bí mật nơi con người có tuổi thọ cao

Con người luôn đi tìm bí quyết sống lâu. Thế giới đã có những vùng đất có nhiều người sống thọ. Ở đó, có nhiều người già vẫn khỏe khoắn, minh mẫn, sống vui. Những “Vùng xanh” ấy không phải huyền thoại, tuổi thọ dài không đến từ điều kì bí, mà đến từ cách ta sống mỗi ngày...
Bệnh viện Đông Anh kịp thời cứu sống bệnh nhân 64 tuổi bị đột quỵ

Bệnh viện Đông Anh kịp thời cứu sống bệnh nhân 64 tuổi bị đột quỵ

Bệnh viện Đông Anh (Hà Nội) đã cứu sống bệnh nhân 64 tuổi bị đột quỵ nhờ tiêu sợi huyết kịp thời. Bác sĩ khuyến cáo trời lạnh thất thường làm tăng nguy cơ đột quỵ ở người cao tuổi.
Tái tạo năng lượng giữa không trung cùng thực đơn lành sạch từ TH true MILK

Tái tạo năng lượng giữa không trung cùng thực đơn lành sạch từ TH true MILK

Mỗi một phút giây trên không đều đáng giá nhờ trải nghiệm “healthy trên mây” đầy khác biệt.
Phiên bản di động