Bệnh viện đa khoa thành phố Vinh cứu sống người bệnh 80 tuổi bị nhồi máu cơ tim

Vừa qua, Khoa Cấp cứu – Bệnh viện Đa khoa Thành phố Vinh (Nghệ An) đã tiếp nhận người bệnh Nguyễn Thị T. (80 tuổi) trong tình trạng đau ngực dữ dội sau xương ức, cảm giác bóp nghẹt, khó thở dù đang nghỉ ngơi, kèm chóng mặt và mệt lả. Trước đó, người bệnh có tiền sử tăng huyết áp – một yếu tố nguy cơ quan trọng của bệnh lý mạch vành.
Ekip đội ngũ y, bác sỹ Bệnh viện đa khoa thành phố Vinh can thiệp để cứu sống bệnh nhân
Ekip đội ngũ y, bác sỹ Bệnh viện đa khoa thành phố Vinh can thiệp để cứu sống bệnh nhân

Kết quả điện tâm đồ ghi nhận ST chênh lên V2–V4, men tim Troponin T hs tăng cao (293,1 pg/ml), xác định chẩn đoán nhồi máu cơ tim cấp ST chênh lên. Đây là tình trạng nguy kịch, có thể đe dọa tính mạng chỉ trong vài phút nếu không được xử trí kịp thời.

Nhồi máu cơ tim cấp là một trong những tình trạng tim mạch nguy hiểm nhất,có thể cướp đi tính mạng người bệnh chỉ trong vài phút nếu không được xử trí kịp thời. Căn bệnh này xảy ra khi dòng máu nuôi tim bị chặn lại do tắc nghẽn động mạch vành – hệ thống mạch máu gồm hai nhánh chính là động mạch vành phải và động mạch vành trái.

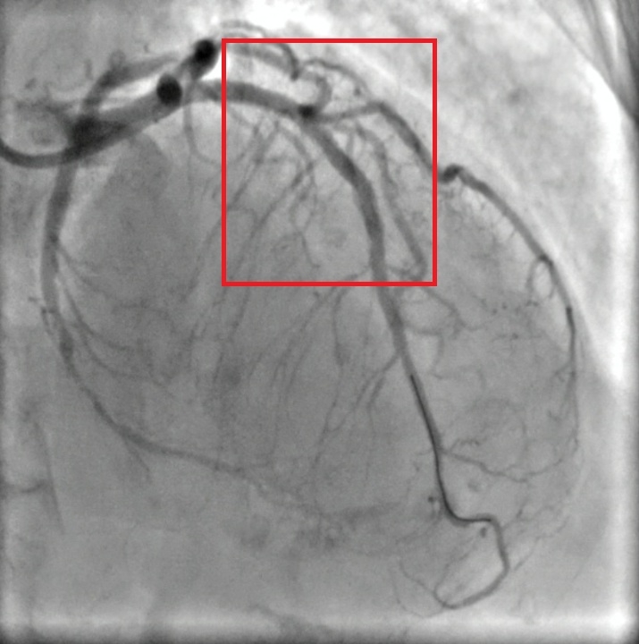
Hình ảnh của bệnh nhân được chụp lại sau khi các y, bác sỹ Bệnh viện đa khoa thành phố Vinh can thiệp y khoa cứu sống người bệnh
Hình ảnh của bệnh nhân được chụp lại sau khi các y, bác sỹ Bệnh viện đa khoa thành phố Vinh can thiệp y khoa cứu sống người bệnh

Theo các bác sĩ tim mạch, nguyên nhân phổ biến nhất của tình trạng tắc nghẽn là xơ vữa động mạch. Quá trình này diễn ra âm thầm từ sau tuổi 30 khi cholesterol, canxi và các mảnh vỡ tế bào tích tụ trong thành mạch, làm hẹp lòng mạch và dễ vỡ, dẫn đến tắc mạch cấp. Ngay khi ổn định tình trạng ban đầu, người bệnh được chuyển sang phòng can thiệp tim mạch để chụp mạch vành bằng DSA. Kết quả cho thấy: Hẹp 90% động mạch liên thất trước (LAD) đoạn I–II do xơ vữa vôi hóa nặng, Hẹp 50% nhánh mũ (LCx) đoạn xa.

Xác định đây là tổn thương nặng, nguy cơ tử vong cao nếu không tái thông kịp thời, ekip can thiệp tim mạch đã nhanh chóng tiến hành nong và đặt stent phủ thuốc LAD I–II. Thủ thuật được thực hiện thành công, dòng máu nuôi tim được khôi phục, huyết động người bệnh ổn định ngay sau can thiệp.

Bệnh viện đa khoa thành phố Vinh : Cứu sống người bệnh 80 tuổi bị nhồi máu cơ tim
Bệnh nhân hồi phục tích cực sau can thiệp y khoa

Ở nhóm người cao tuổi, đặc biệt từ 75 tuổi trở lên, quá trình can thiệp mạch vành luôn tiềm ẩn nhiều thách thức hơn so với người trẻ. Các bác sĩ tim mạch can thiệp thường phải đối diện với những yếu tố sau: mạch vành xơ vữa, vôi hóa nặng, mạch máu nhỏ – dễ tổn thương, nhiều bệnh nền đi kèm, khả năng chịu đựng thủ thuật kém. Vì vậy, mỗi ca can thiệp cho người bệnh tuổi cao đều đòi hỏi Ekip kinh nghiệm – tốc độ – sự phối hợp chặt chẽ.

Thành công này khẳng định năng lực chuyên môn của ekip tim mạch can thiệp Bệnh viện Đa khoa Thành phố Vinh, đồng thời giúp người dân Nghệ An và khu vực lân cận được tiếp cận kỹ thuật cao ngay tại địa phương, không phải di chuyển xa.

Hiền Mai

Tin liên quan

Cùng chuyên mục

Bệnh viện Đa khoa Thanh Chương đẩy mạnh truyền thông phòng chống đau mắt đỏ

Bệnh viện Đa khoa Thanh Chương đẩy mạnh truyền thông phòng chống đau mắt đỏ

Bệnh viện Đa khoa Thanh Chương là cơ sở y tế tuyến huyện giữ vai trò nòng cốt trong công tác chăm sóc, bảo vệ và nâng cao sức khỏe nhân dân trên địa bàn. Những năm qua, bệnh viện không ngừng nâng cao chất lượng khám chữa bệnh, đầu tư cơ sở vật chất, trang thiết bị và phát triển nguồn nhân lực y tế. Bên cạnh nhiệm vụ điều trị, bệnh viện đặc biệt chú trọng công tác y tế dự phòng, truyền thông – giáo dục sức khỏe cho người dân. Với phương châm lấy người bệnh làm trung tâm, Bệnh viện Đa khoa Thanh Chương từng bước khẳng định uy tín, đáp ứng ngày càng tốt hơn nhu cầu chăm sóc sức khỏe của cộng đồng.
Bộ trưởng Bộ Y tế Đào Hồng Lan: Chăm sóc sức khỏe nhân dân toàn diện, từ sớm, từ xa và ngay từ cơ sở

Bộ trưởng Bộ Y tế Đào Hồng Lan: Chăm sóc sức khỏe nhân dân toàn diện, từ sớm, từ xa và ngay từ cơ sở

Đại hội đại biểu toàn quốc lần thứ XIV của Đảng diễn ra từ ngày 19-25/1/2026. Phóng viên đã trao đổi với Uỷ viên Trung ương Đảng, Bộ trưởng Bộ Y tế Đào Hồng Lan về việc triển khai Nghị quyết 72-NQ/TW ngày 09/09/2025 của Bộ Chính trị, cùng các giải pháp trọng tâm nhằm tháo gỡ những điểm nghẽn kéo dài của ngành y tế, chuyển mạnh từ tư duy “chữa bệnh” sang chăm sóc sức khỏe toàn diện theo vòng đời, lấy người dân làm trung tâm.
Bệnh nhân 69 tuổi thoát khỏi sa sinh dục phức tạp sau ca phẫu thuật tại Vinmec Cần Thơ

Bệnh nhân 69 tuổi thoát khỏi sa sinh dục phức tạp sau ca phẫu thuật tại Vinmec Cần Thơ

Sau thời gian chịu đựng những cơn đau và bất tiện sinh hoạt kéo dài do tình trạng sa sinh dục gây ra, nữ bệnh nhân 69 tuổi đã tìm lại nhịp sống bình yên trước kia nhờ ca phẫu thuật phức tạp được thực hiện thành công bởi đội ngũ y bác sĩ Vinmec Cần Thơ.
iTrack Advance được chuyển giao: Nâng cao hiệu quả điều trị glôcôm

iTrack Advance được chuyển giao: Nâng cao hiệu quả điều trị glôcôm

Tiếp nhận chuyển giao kỹ thuật iTrack Advance – Bước tiến mới trong điều trị bệnh glôcôm ít xâm lấnTiếp nhận chuyển giao kỹ thuật iTrack Advance – Bước tiến mới trong điều trị bệnh glôcôm ít xâm lấn
Nguy cơ suy gan cấp từ Paracetamol nếu lạm dụng

Nguy cơ suy gan cấp từ Paracetamol nếu lạm dụng

Tự ý dùng Paracetamol liều cao trong nhiều ngày, một bệnh nhân cao tuổi ở Sơn La bị suy gan cấp nguy kịch, phải nhập viện điều trị tích cực.

Tin khác

Chủ động phòng ngừa bệnh phổi tắc nghẽn mạn tính khi trời rét - Lời khuyên đặc biệt cho người cao tuổi

Chủ động phòng ngừa bệnh phổi tắc nghẽn mạn tính khi trời rét - Lời khuyên đặc biệt cho người cao tuổi
Thời tiết lạnh dễ làm bệnh phổi tắc nghẽn mạn tính (COPD) bùng phát, đặc biệt ở người cao tuổi. Bài viết cập nhật dấu hiệu, cách phòng ngừa và lời khuyên từ chuyên gia y tế.

Long Châu và Sanofi Việt Nam tiên phong thu gom và tái chế nhựa từ vỉ thuốc

Long Châu và Sanofi Việt Nam tiên phong thu gom và tái chế nhựa từ vỉ thuốc
Sanofi hợp tác cùng hệ thống nhà thuốc và trung tâm tiêm chủng Long Châu tiên phong triển khai dự án “Thu gom & Tái chế nhựa từ vỉ thuốc vì tương lai xanh”, nhằm góp phần thu gom, xử lý và tái chế nhựa, giảm thiểu tác động môi trường.

EcoVadis vinh danh Long Châu thực hành phát triển bền vững hiệu quả và minh bạch

EcoVadis vinh danh Long Châu thực hành phát triển bền vững hiệu quả và minh bạch
Hệ thống nhà thuốc và trung tâm tiêm chủng Long Châu đã được Ecovadis, tổ chức xếp hạng phát triển bền vững doanh nghiệp uy tín hàng đầu thế giới, trao tặng Huy hiệu Committed (Committed Badge).

NMNPremium – Chăm sóc sức khỏe nền tảng cho người trung niên và cao tuổi

NMNPremium – Chăm sóc sức khỏe nền tảng cho người trung niên và cao tuổi
Vừa qua, tại Nhà hát Quân đội, Hội Sở hữu trí tuệ Việt Nam (VIPA) đã long trọng tổ chức Lễ trao chứng nhận “Doanh nghiệp xuất sắc trong Xây dựng và Quản lý tài sản sở hữu trí tuệ, Thương hiệu – nhãn hiệu uy tín hàng đầu Việt Nam 2025, Sản phẩm – Dịch vụ vàng uy tín chất lượng Việt Nam 2025”. Sự kiện nhằm tôn vinh các doanh nghiệp, thương hiệu và sản phẩm tiêu biểu có đóng góp nổi bật trong xây dựng thương hiệu, quản trị tài sản trí tuệ và phát triển bền vững.

Cảm lạnh ở người cao tuổi: Đừng chủ quan với những biến chứng nguy hiểm

Cảm lạnh ở người cao tuổi: Đừng chủ quan với những biến chứng nguy hiểm
Cảm lạnh ở người cao tuổi có thể dẫn tới viêm phổi, làm nặng bệnh nền và gây biến chứng nguy hiểm nếu chủ quan.

Bệnh viện đa khoa Phương Đông: Cụ bà 80 tuổi phục hồi vận động nhờ kỹ thuật tạo hình đốt sống bằng xi măng sinh học

Bệnh viện đa khoa Phương Đông: Cụ bà 80 tuổi phục hồi vận động nhờ kỹ thuật tạo hình đốt sống bằng xi măng sinh học
Bệnh viện Phương Đông vừa triển khai thành công tạo hình đốt sống bằng xi măng sinh học, giúp cụ bà 85 tuổi giảm đau nhanh và sớm phục hồi vận động sau xẹp đốt sống do loãng xương.

Kỳ tích trong điều trị vỡ phình động mạch chủ bụng

Kỳ tích trong điều trị vỡ phình động mạch chủ bụng
Câu chuyện về một ca phẫu thuật sinh tử tại Bệnh viện Bạch Mai, cuộc chiến với “lưỡi hái tử thần” cứu sống bệnh nhân nam 61 tuổi bị vỡ phình động mạch chủ bụng, mất gần như toàn bộ lượng máu trong cơ thể.

Tuyệt thực “bỏ đói” ung thư: Người đàn ông sụt 14kg, suýt đánh mất cơ hội điều trị

Tuyệt thực “bỏ đói” ung thư: Người đàn ông sụt 14kg, suýt đánh mất cơ hội điều trị
Tin theo phương pháp truyền miệng, một người đàn ông 64 tuổi tuyệt thực suốt 3 tuần với hy vọng “bỏ đói” khối u tụy. Khối u không biến mất, sức khỏe suy kiệt nghiêm trọng, suýt khiến người bệnh đánh mất cơ hội điều trị. Trường hợp này thêm một lần cảnh báo người bệnh cần tỉnh táo, tuân thủ y học chính thống để không trả giá bằng chính sinh mệnh của mình.

Chính thức khánh thành công trình Bệnh viện Bạch Mai Cơ sở 2 và Bệnh viện Hữu nghị Việt Đức Cơ sở 2

Chính thức khánh thành công trình Bệnh viện Bạch Mai Cơ sở 2 và Bệnh viện Hữu nghị Việt Đức Cơ sở 2
Sáng ngày 19/12/2025, tại tỉnh Ninh Bình, được sự đồng ý của Chính phủ và Thủ tướng Chính phủ, Bộ Y tế long trọng tổ chức Lễ khánh thành phần xây dựng công trình Bệnh viện Bạch Mai Cơ sở 2 và Bệnh viện Hữu nghị Việt Đức Cơ sở 2 - hai công trình y tế trọng điểm quốc gia, có quy mô lớn, hiện đại, kỹ thuật cao, ngang tầm các nước tiên tiến trong khu vực.

Bệnh viện Chấn thương chỉnh hình vừa tiếp nhận một trường hợp hy hữu

Bệnh viện Chấn thương chỉnh hình vừa tiếp nhận một trường hợp hy hữu
Thông tin từ Bệnh viện Chấn thương chỉnh hình, TP Hồ Chí Minh cho biết, vừa phẫu thuật thành công một bé trai N.M.T, 5 tuổi bị kẹt ngón cái tay trái vào ổ khóa.

6 phút sinh tử: Bệnh viện Bạch Mai lập kỳ tích cứu sống bệnh nhân 73 tuổi đột quỵ nguy kịch

6 phút sinh tử: Bệnh viện Bạch Mai lập kỳ tích cứu sống bệnh nhân 73 tuổi đột quỵ nguy kịch
Chỉ trong 6 phút từ chọc mạch đến tái thông, các bác sĩ Bệnh viện Bạch Mai đã giành lại sự sống cho một bệnh nhân 73 tuổi bị tắc động mạch thân nền- dạng đột quỵ có tỷ lệ tử vong lên tới 90%. Kỳ tích y khoa này không chỉ khẳng định trình độ can thiệp đột quỵ của Việt Nam, mà còn mở ra thêm hy vọng sống cho người cao tuổi trước căn bệnh “tử thần”.

Vắc xin RSV cho người lớn có chất bổ trợ lần đầu tiên được triển khai tại Việt Nam

Vắc xin RSV cho người lớn có chất bổ trợ lần đầu tiên được triển khai tại Việt Nam
Ngày 14/12, người lớn và người có bệnh nền tại Việt Nam bắt đầu được tiêm vắc xin RSV phòng viêm phổi, viêm tiểu phế quản do Tập đoàn Dược phẩm GSK (Anh) sản xuất, triển khai tại hơn 250 trung tâm tiêm chủng VNVC trên toàn quốc.

Những kiểm tra y tế không thể bỏ qua khi bước vào tuổi 50

Những kiểm tra y tế không thể bỏ qua khi bước vào tuổi 50
Tuổi 50 được xem là giai đoạn “chín muồi” của cuộc đời - nhưng cũng là thời điểm nhiều bệnh lí mạn tính bắt đầu xuất hiện. Nếu không chú ý chăm sóc, các vấn đề sức khỏe âm thầm tiến triển có thể làm giảm chất lượng cuộc sống và rút ngắn tuổi thọ...

Chấm dứt 20 năm đau đớn do sỏi đường mật trong gan của bệnh nhân cao tuổi

Chấm dứt 20 năm đau đớn do sỏi đường mật trong gan của bệnh nhân cao tuổi
Sỏi đường mật trong gan không còn gây nên những cơn quặn đau ám ảnh và những lần nhập viện triền miên suốt 20 năm qua; hành trình tìm lại sức khỏe của cụ bà đã bước sang một trang mới nhờ phương pháp điều trị hiện đại được triển khai tại Bệnh viện ĐKTP Vinh.

Ngành y tế tư nhân bứt phá: Bệnh viện Đa khoa Phương Đông lọt Top 10 Thương hiệu hàng đầu Việt Nam

Ngành y tế tư nhân bứt phá: Bệnh viện Đa khoa Phương Đông lọt Top 10 Thương hiệu hàng đầu Việt Nam
Bệnh viện Phương Đông vào Top 10 Thương hiệu hàng đầu Việt Nam: Dấu ấn mô hình y tế tư nhân chất lượng cao
Xem thêm
Chủ động phòng ngừa bệnh phổi tắc nghẽn mạn tính khi trời rét - Lời khuyên đặc biệt cho người cao tuổi

Chủ động phòng ngừa bệnh phổi tắc nghẽn mạn tính khi trời rét - Lời khuyên đặc biệt cho người cao tuổi

Thời tiết lạnh dễ làm bệnh phổi tắc nghẽn mạn tính (COPD) bùng phát, đặc biệt ở người cao tuổi. Bài viết cập nhật dấu hiệu, cách phòng ngừa và lời khuyên từ chuyên gia y tế.
Vinmec Phú Quốc cứu sống bệnh nhân cao tuổi người Đức tính mạng “ngàn cân treo sợi tóc”

Vinmec Phú Quốc cứu sống bệnh nhân cao tuổi người Đức tính mạng “ngàn cân treo sợi tóc”

Một bệnh nhân 81 tuổi người Đức nhập viện trong tình trạng rối loạn nhịp tim nặng, tụt huyết áp sâu và tăng kali máu, nguy cơ ngừng tim đã được cấp cứu thành công tại Bệnh viện Đa khoa Vinmec Phú Quốc. Kết quả điều trị khẳng định năng lực xử trí các tình
Bệnh viện đa khoa Phương Đông: Cụ bà 80 tuổi phục hồi vận động nhờ kỹ thuật tạo hình đốt sống bằng xi măng sinh học

Bệnh viện đa khoa Phương Đông: Cụ bà 80 tuổi phục hồi vận động nhờ kỹ thuật tạo hình đốt sống bằng xi măng sinh học

Bệnh viện Phương Đông vừa triển khai thành công tạo hình đốt sống bằng xi măng sinh học, giúp cụ bà 85 tuổi giảm đau nhanh và sớm phục hồi vận động sau xẹp đốt sống do loãng xương.
Thêm điểm tựa y tế cho người cao tuổi Hải Phòng

Thêm điểm tựa y tế cho người cao tuổi Hải Phòng

Ngày 06/01/2026, Bệnh viện Hữu nghị Việt Tiệp đã tổ chức Hội nghị công bố quyết định thành lập Khoa Lão khoa, một sự kiện có ý nghĩa đặc biệt trong hành trình hơn 120 năm xây dựng và phát triển vì sức khỏe nhân dân. Việc ra đời Khoa Lão khoa không chỉ đánh dấu bước chuyển mình quan trọng của bệnh viện trong công tác chăm sóc sức khỏe người cao tuổi, mà còn thể hiện sự chủ động, kịp thời trước xu thế già hóa dân số đang diễn ra mạnh mẽ tại Việt Nam nói chung và thành phố Hải Phòng nói riêng.
Longevity Medical tri ân PGS.TS.BS Phan Toàn Thắng tại sự kiện gặp gỡ và chia sẻ chuyên sâu về y học tái tạo

Longevity Medical tri ân PGS.TS.BS Phan Toàn Thắng tại sự kiện gặp gỡ và chia sẻ chuyên sâu về y học tái tạo

Trong bối cảnh y học hiện đại ngày càng hướng đến chăm sóc sức khỏe chủ động và nâng cao chất lượng sống, lĩnh vực y học tái tạo và liệu pháp tế bào gốc
Nâng cao năng lực phòng, chống tác hại thuốc lá

Nâng cao năng lực phòng, chống tác hại thuốc lá

Sáng ngày 9/12/2025, tại Hải Phòng, Hội Luật gia TP Hải Phòng phối hợp với Trung tâm Tư vấn Pháp luật và Chính sách về Y tế, HIV/AIDS – trực thuộc Hội Luật gia Việt Nam tổ chức Hội nghị tập huấn nâng cao năng lực về phòng, chống tác hại thuốc lá.
Phiên bản di động