Bé trai 7 tháng tuổi bị sốc sốt xuất huyết Dengue được cứu sống nhờ can thiệp ECMO

Bệnh viện Nhi đồng TP Hồ Chí Minh vừa điều trị thành công cho 1 trường hợp bệnh nhi nam 7 tháng tuổi nhập viện trong tình trạng sốc sốt xuất huyết Dengue với biến chứng suy hô hấp nặng.

Đó là trường hợp của bệnh nhi nam N.M.Đ. (7 tháng tuổi, trú tại huyện Thanh Bình, Đồng Tháp) mắc bệnh sốt xuất huyết. Bệnh nhân xuất hiện các triệu chứng sốt nhẹ, tiêu phân lỏng nhiều lần, co giật toàn thân trong khoảng 3 ngày trước khi nhập viện.

Cháu bé được người nhà đưa đến khám tại một phòng khám đa khoa tư nhân, xử trí thở oxy, chống co giật sau đó chuyển Bệnh viện Nhi đồng TP Hồ Chí Minh. Trên đường chuyển đến bệnh viện khoảng 30 phút, bệnh nhi co giật liên tục.

Tại Khoa Cấp cứu bệnh viện, bệnh nhi bị tím môi, mạch nhẹ khó bắt, huyết áp khó đo, xét nghiệm NS1Ag dương tính, bệnh nhi được điều trị hỗ trợ hô hấp, chống sốc theo phác đồ.

Tình trạng bệnh nhi diễn tiến nặng, sốc kéo dài, kèm tổn thương gan, rối loạn đông máu, xuất huyết tiêu hóa, tràn dịch màng phổi màng bụng lượng nhiều gây suy hô hấp nặng. Bệnh nhi được truyền máu, truyền huyết tương tươi đông lạnh, kết tủa lạnh, tiểu cầu, chọc dò ổ bụng, màng phổi giải áp.

Bé trai 7 tháng tuổi bị sốc sốt xuất huyết Dengue được cứu sống nhờ can thiệp ECMO
Bé trai 7 tháng tuổi bị sốc sốt xuất huyết Dengue được cứu sống nhờ can thiệp ECMO

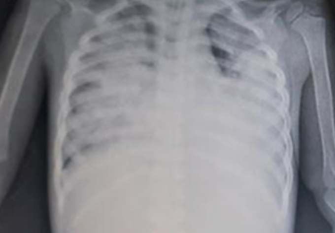
Sau đó, bệnh nhi hô hấp diễn tiến xấu hơn, hình ảnh X-quang phổi cho thấy tổn thương phổi nặng lan tỏa 2 bên, biểu hiện hội chứng suy hô hấp cấp tiến triển nặng nên được các bác sĩ hội chẩn toàn viện, quyết định thực hiện kỹ thuật oxy hóa máu qua màng ngoài cơ thể (ECMO), là vũ khí, phương tiện hỗ trợ hô hấp cuối cùng cho những trường hợp suy hô hấp nguy kịch. Bên cạnh đó, bệnh nhi cũng được điều trị hỗ trợ gan, điều chỉnh nước điện giải, toan chuyển hóa, kháng sinh, hạ sốt, dinh dưỡng.

Kết quả sau 2 tuần, tình trạng bệnh nhi cải thiện dần được cai ECMO sau đó cai máy thở, thở máy không xâm nhập, thở oxy qua cannula rồi trẻ tự thở được với khí trời. Cháu bé được xuất viện sau 49 ngày nằm viện, sức khỏe hồi phục tốt.

Theo Trung tâm Kiểm soát Bệnh tật TP Hồ Chí Minh, từ đầu năm đến nay, thành phố ghi nhận hơn 77.000 ca mắc sốt xuất huyết, tăng gần 7 lần cùng kỳ năm ngoái, số ca bệnh nặng tăng hơn 3,2%. 29 người tử vong trong năm 2022 vì bệnh này, gấp gần 5 lần năm trước. Gần đây, số ca sốt xuất huyết giảm hơn trước nhưng số trường hợp nặng vẫn còn nhiều.

Các bác sĩ khuyến cáo gia đình có trẻ nhỏ cần lưu ý khi trẻ sốt cao trên hai ngày, có một trong các dấu hiệu như quấy khóc, bứt rứt, lăn trở khó chịu hoặc li bì; đau bụng; chảy máu cam, máu răng hoặc ói ra máu, tiêu phân đen; tay chân lạnh, nằm một chỗ không chơi, bỏ bú,... thì phải đưa đến bệnh viện kiểm tra ngay lập tức.

Đặc biệt, cần cẩn trọng khi bệnh nhân có dấu hiệu sốt cao liên tục, từ 38 đến 40 độ C, uống thuốc hạ sốt có bớt nhưng sau đó sốt trở lại. Ở ngày bệnh thứ 3-6, nếu hết sốt nhưng có một trong các dấu hiệu trở nặng, cần nhập viện ngay, bởi đây là giai đoạn nguy hiểm nhất của sốt xuất huyết, không nên chủ quan.

Tránh để các trường hợp phát hiện muộn, bệnh nhân có thể sốc sâu, điều trị khó khăn, nguy cơ gặp nhiều biến chứng nặng như suy hô hấp, rối loạn đông máu, tổn thương gan, suy đa tạng..., thậm chí là tử vong.

Thanh Ngọc

Tin liên quan

Cùng chuyên mục

6 phút sinh tử: Bệnh viện Bạch Mai lập kỳ tích cứu sống bệnh nhân 73 tuổi đột quỵ nguy kịch

6 phút sinh tử: Bệnh viện Bạch Mai lập kỳ tích cứu sống bệnh nhân 73 tuổi đột quỵ nguy kịch

Chỉ trong 6 phút từ chọc mạch đến tái thông, các bác sĩ Bệnh viện Bạch Mai đã giành lại sự sống cho một bệnh nhân 73 tuổi bị tắc động mạch thân nền- dạng đột quỵ có tỷ lệ tử vong lên tới 90%. Kỳ tích y khoa này không chỉ khẳng định trình độ can thiệp đột quỵ của Việt Nam, mà còn mở ra thêm hy vọng sống cho người cao tuổi trước căn bệnh “tử thần”.
Vắc xin RSV cho người lớn có chất bổ trợ lần đầu tiên được triển khai tại Việt Nam

Vắc xin RSV cho người lớn có chất bổ trợ lần đầu tiên được triển khai tại Việt Nam

Ngày 14/12, người lớn và người có bệnh nền tại Việt Nam bắt đầu được tiêm vắc xin RSV phòng viêm phổi, viêm tiểu phế quản do Tập đoàn Dược phẩm GSK (Anh) sản xuất, triển khai tại hơn 250 trung tâm tiêm chủng VNVC trên toàn quốc.
Những kiểm tra y tế không thể bỏ qua khi bước vào tuổi 50

Những kiểm tra y tế không thể bỏ qua khi bước vào tuổi 50

Tuổi 50 được xem là giai đoạn “chín muồi” của cuộc đời - nhưng cũng là thời điểm nhiều bệnh lí mạn tính bắt đầu xuất hiện. Nếu không chú ý chăm sóc, các vấn đề sức khỏe âm thầm tiến triển có thể làm giảm chất lượng cuộc sống và rút ngắn tuổi thọ...
Chấm dứt 20 năm đau đớn do sỏi đường mật trong gan của bệnh nhân cao tuổi

Chấm dứt 20 năm đau đớn do sỏi đường mật trong gan của bệnh nhân cao tuổi

Sỏi đường mật trong gan không còn gây nên những cơn quặn đau ám ảnh và những lần nhập viện triền miên suốt 20 năm qua; hành trình tìm lại sức khỏe của cụ bà đã bước sang một trang mới nhờ phương pháp điều trị hiện đại được triển khai tại Bệnh viện ĐKTP Vinh.
Ngành y tế tư nhân bứt phá: Bệnh viện Đa khoa Phương Đông lọt Top 10 Thương hiệu hàng đầu Việt Nam

Ngành y tế tư nhân bứt phá: Bệnh viện Đa khoa Phương Đông lọt Top 10 Thương hiệu hàng đầu Việt Nam

Bệnh viện Phương Đông vào Top 10 Thương hiệu hàng đầu Việt Nam: Dấu ấn mô hình y tế tư nhân chất lượng cao

Tin khác

Bệnh viện Mắt đem lại “ánh sáng” cho người bệnh bằng kỹ thuật ghép giác mạc nội mô và ghép giác mạc xuyên

Bệnh viện Mắt đem lại “ánh sáng” cho người bệnh bằng kỹ thuật ghép giác mạc nội mô và ghép giác mạc xuyên
Sau khi tiếp nhận mô giác mạc từ Ngân hàng Mắt Nepal vào tối 27/11, Bệnh viện Mắt đã hội chẩn và tiến hành ghép giác mạc thành công cho 12 ca bệnh bị tổn thương giác mạc nặng lâu năm. Đây là một trong số những người bệnh chờ ghép giác mạc của bệnh viên trong thời gian qua.

Tăng cường sàng lọc phòng ngừa bệnh phổi ở người cao tuổi trong mùa lạnh

Tăng cường sàng lọc phòng ngừa bệnh phổi ở người cao tuổi trong mùa lạnh
Bệnh phổi ở người cao tuổi trong mùa lạnh đang trở thành mối lo hàng đầu khi thời tiết liên tục giảm sâu, khiến nguy cơ diễn tiến nặng các bệnh hô hấp tăng cao. Cùng với hoạt động sàng lọc quy mô lớn do Bệnh viện Phổi Nghệ An triển khai, các chuyên gia nhấn mạnh vai trò quan trọng của việc chủ động phòng ngừa để bảo vệ sức khỏe lá phổi cho người lớn tuổi trong giai đoạn nhạy cảm này.

Khai trương đơn vị siêu âm can thiệp, Bệnh viện Lê Văn Thịnh đánh dấu bước tiến mới trong điều trị tối thiểu xâm lấn

Khai trương đơn vị siêu âm can thiệp, Bệnh viện Lê Văn Thịnh đánh dấu bước tiến mới trong điều trị tối thiểu xâm lấn
Ngày 5/12, Bệnh viện Lê Văn Thịnh, TP. Hồ Chí Minh tổ chức Lễ khai trương đơn vị siêu âm can thiệp, đánh dấu một cột mốc quan trọng trong lộ trình ứng dụng công nghệ cao, mở ra nhiều phương pháp điều trị hiện đại, ít xâm lấn cho các bệnh lý u lành tuyến giáp và tuyến vú.

Cứu sống thiếu niên 15 tuổi mắc bệnh Whitmore nguy kịch ở Thanh Hóa

Cứu sống thiếu niên 15 tuổi mắc bệnh Whitmore nguy kịch ở Thanh Hóa
Bệnh viện Nhi Thanh Hóa vừa cứu sống bệnh nhi 15 tuổi mắc bệnh Whitmore với biến chứng rất nặng.

Bệnh viện Đông Anh kịp thời cứu sống bệnh nhân 64 tuổi bị đột quỵ

Bệnh viện Đông Anh kịp thời cứu sống bệnh nhân 64 tuổi bị đột quỵ
Bệnh viện Đông Anh (Hà Nội) đã cứu sống bệnh nhân 64 tuổi bị đột quỵ nhờ tiêu sợi huyết kịp thời. Bác sĩ khuyến cáo trời lạnh thất thường làm tăng nguy cơ đột quỵ ở người cao tuổi.

Bệnh viện đa khoa thành phố Vinh cứu sống người bệnh 80 tuổi bị nhồi máu cơ tim

Bệnh viện đa khoa thành phố Vinh cứu sống người bệnh 80 tuổi bị nhồi máu cơ tim
Vừa qua, Khoa Cấp cứu – Bệnh viện Đa khoa Thành phố Vinh (Nghệ An) đã tiếp nhận người bệnh Nguyễn Thị T. (80 tuổi) trong tình trạng đau ngực dữ dội sau xương ức, cảm giác bóp nghẹt, khó thở dù đang nghỉ ngơi, kèm chóng mặt và mệt lả. Trước đó, người bệnh có tiền sử tăng huyết áp – một yếu tố nguy cơ quan trọng của bệnh lý mạch vành.

Bác sĩ điều khiển Robot cắt thận cho bệnh nhân ung thư cao tuổi, nhiều bệnh nền

Bác sĩ điều khiển Robot cắt thận cho bệnh nhân ung thư cao tuổi, nhiều bệnh nền
Sau 12 năm chạy thận, ông Minh (80 tuổi) phát hiện ung thư thận, bác sĩ buộc phải cắt bỏ thận trái, ngăn ung thư tiến triển với sự hỗ trợ của robot Da Vinci Xi.

Gần 2.500 bệnh nhân viêm gan B được xét nghiệm viêm gan D miễn phí

Gần 2.500 bệnh nhân viêm gan B được xét nghiệm viêm gan D miễn phí
Viện Nghiên cứu Tâm Anh thuộc Hệ thống Bệnh viện Đa khoa Tâm Anh cùng Viện Nghiên cứu Vi sinh và Chống dịch Stanford (Hoa Kỳ) thực hiện nghiên cứu HEP-D, đánh giá nguy cơ đồng nhiễm viêm gan siêu vi D trên người bệnh viêm gan B với quy mô lớn nhất từ trước đến nay.

Hà Nội tăng tốc nâng cao chất lượng dân số: Chủ động thích ứng với già hóa bằng những mô hình chăm sóc thiết thực

Hà Nội tăng tốc nâng cao chất lượng dân số: Chủ động thích ứng với già hóa bằng những mô hình chăm sóc thiết thực
Hà Nội đẩy mạnh công tác dân số, mở rộng sàng lọc, chăm sóc sức khỏe người cao tuổi và tuyên truyền thay đổi hành vi trong bối cảnh già hóa ngày càng nhanh.

Cứu sống bệnh nhân 71 tuổi bị ong vò vẽ đốt tại Ninh Bình

Cứu sống bệnh nhân 71 tuổi bị ong vò vẽ đốt tại Ninh Bình
Vừa qua, Bệnh viện đa khoa tỉnh Ninh Bình đã cấp cứu và điều trị kịp thời, thành công cứu sống bệnh nhân 71 tuổi bị ong vò vẽ đốt, biến chứng suy thận cấp và suy đa tạng – tình trạng nguy kịch có thể tử vong nhanh nếu không xử trí kịp thời.

Đái tháo đường: Căn bệnh mạn tính đang ảnh hưởng tới 1/10 người trưởng thành

Đái tháo đường: Căn bệnh mạn tính đang ảnh hưởng tới 1/10 người trưởng thành
Theo Liên đoàn Đái tháo đường Quốc tế (IDF), năm 2025, có tới 11,1% người trưởng thành trên toàn cầu (tương đương 1/9 dân số) đang sống chung với bệnh đái tháo đường. Đáng chú ý, hơn 40% người bệnh chưa biết mình mắc bệnh, làm gia tăng nguy cơ biến chứng nặng.

Hệ thống Y tế Vinmec: Vị thế mới cho Việt Nam trên bản đồ y tế thế giới

Hệ thống Y tế Vinmec: Vị thế mới cho Việt Nam trên bản đồ y tế thế giới
GS.TS Trần Trung Dũng, Tổng Giám đốc Hệ thống Y tế Vinmec, vừa vinh dự được chọn xuất hiện trên trang bìa Asian Hospital & Healthcare Management - Tạp chí uy tín hàng đầu khu vực châu Á về quản trị y tế. Nhân dịp này, ông có chia sẻ với phóng viên Tạp chí Asian Hospital & Healthcare Management về triết lý đặt con người làm trung tâm, nơi Vinmec không ngừng phát triển năng lực lâm sàng và đổi mới y học với mục tiêu duy nhất: mang lại cuộc sống khỏe mạnh hơn cho mọi người bệnh.

Đột quỵ khi trời chuyển lạnh: Người cao tuổi cần lưu ý gì?

Đột quỵ khi trời chuyển lạnh: Người cao tuổi cần lưu ý gì?
Khi thời tiết chuyển lạnh, nguy cơ đột quỵ tăng cao, đặc biệt ở người cao tuổi. Chuyên gia khuyến cáo cách nhận biết sớm và phòng ngừa hiệu quả.

360 sản phụ và bệnh nhân hiếm muộn được chăm sóc sức khỏe sinh sản

360 sản phụ và bệnh nhân hiếm muộn được chăm sóc sức khỏe sinh sản
Quỹ Vì Tầm Vóc Việt (VSF), BAC A BANK và Tập đoàn TH phối hợp với Bệnh viện Phụ sản Trung ương (BVPSTW) tổ chức chương trình “Chăm sóc sức khỏe sinh sản, sức khỏe mẹ và bé - Chắp cánh ước mơ làm cha mẹ”, giúp hàng trăm phụ nữ mang thai và các cặp vợ chồng hiếm muộn được khám, tư vấn và xét nghiệm miễn phí.

Phẫu thuật thành công ung thư da lan rộng vùng mặt cho bệnh nhân 93 tuổi tại Ninh Bình

Phẫu thuật thành công ung thư da lan rộng vùng mặt cho bệnh nhân 93 tuổi tại Ninh Bình
Vừa qua, một bệnh nhân 93 tuổi đã được các bác sỹ Bệnh viện Đa khoa tỉnh Ninh Bình thực hiện thành công ca phẫu thuật ung thư da lan rộng vùng mặt - đánh dấu một bước tiến mới trong việc chăm sóc sức khỏe cho người cao tuổi.
Xem thêm
Bệnh viện Thận Hà Nội: Dinh dưỡng hợp lý giúp bảo vệ tim và thận

Bệnh viện Thận Hà Nội: Dinh dưỡng hợp lý giúp bảo vệ tim và thận

Người mắc bệnh thận mạn thường có nguy cơ cao kèm theo bệnh tim mạch. Một chế độ ăn uống khoa học, kiểm soát muối, đạm, mỡ và lượng nước hợp lý sẽ giúp giảm biến chứng, bảo vệ sức khỏe tim và thận, đặc biệt cần thiết đối với người cao tuổi.
Kết hợp y học cổ truyền và hiện đại, nâng cao sức khỏe người cao tuổi

Kết hợp y học cổ truyền và hiện đại, nâng cao sức khỏe người cao tuổi

Trong khi y học hiện đại ngày càng phát triển, y học cổ truyền (YHCT) vẫn khẳng định vị trí quan trọng trong chăm sóc sức khỏe, nhất là đối với người cao tuổi.
Phòng chống bệnh Alzheimer: Kinh nghiệm quốc tế và bài học thiết thực cho Việt Nam

Phòng chống bệnh Alzheimer: Kinh nghiệm quốc tế và bài học thiết thực cho Việt Nam

Tháng 9 hằng năm được thế giới chọn là Tháng hành động phòng, chống bệnh Alzheimer, là dịp nâng cao nhận thức xã hội về tác động nặng nề của bệnh Alzheimer và các dạng sa sút trí tuệ khác đối với đời sống.
Longevity Medical tri ân PGS.TS.BS Phan Toàn Thắng tại sự kiện gặp gỡ và chia sẻ chuyên sâu về y học tái tạo

Longevity Medical tri ân PGS.TS.BS Phan Toàn Thắng tại sự kiện gặp gỡ và chia sẻ chuyên sâu về y học tái tạo

Trong bối cảnh y học hiện đại ngày càng hướng đến chăm sóc sức khỏe chủ động và nâng cao chất lượng sống, lĩnh vực y học tái tạo và liệu pháp tế bào gốc
Nâng cao năng lực phòng, chống tác hại thuốc lá

Nâng cao năng lực phòng, chống tác hại thuốc lá

Sáng ngày 9/12/2025, tại Hải Phòng, Hội Luật gia TP Hải Phòng phối hợp với Trung tâm Tư vấn Pháp luật và Chính sách về Y tế, HIV/AIDS – trực thuộc Hội Luật gia Việt Nam tổ chức Hội nghị tập huấn nâng cao năng lực về phòng, chống tác hại thuốc lá.
“Vùng xanh thế giới” - Giải mã bí mật nơi con người có tuổi thọ cao

“Vùng xanh thế giới” - Giải mã bí mật nơi con người có tuổi thọ cao

Con người luôn đi tìm bí quyết sống lâu. Thế giới đã có những vùng đất có nhiều người sống thọ. Ở đó, có nhiều người già vẫn khỏe khoắn, minh mẫn, sống vui. Những “Vùng xanh” ấy không phải huyền thoại, tuổi thọ dài không đến từ điều kì bí, mà đến từ cách ta sống mỗi ngày...
Phiên bản di động