Viêm xoang bướm – Căn bệnh hiếm gặp nhưng nguy hiểm ở người cao tuổi

Ca bệnh đặc viêm xoang bướm được các bác sĩ Bệnh viện Quân y 4 điều trị thành công đã gióng lên hồi chuông cảnh báo về một bệnh lý âm thầm nhưng có thể gây biến chứng nặng nề, nhất là ở người cao tuổi.
Bệnh nhân sau khi mổ viêm xoang bướm ngày thứ 7
Bệnh nhân sau khi mổ viêm xoang bướm ngày thứ 7

Ở người cao tuổi, những cơn đau đầu kéo dài thường được cho là nguyên nhân tăng huyết áp, bất thường mạch máu não, hay thoái hóa cột sống cổ. Thế nhưng, đôi khi đó lại là dấu hiệu của một bệnh lý tiềm ẩn vùng tai mũi họng, có thể gây nguy hiểm đến tính mạng nếu không được phát hiện kịp thời – viêm xoang bướm.

Mới đây, các bác sĩ Khoa Tai Mũi Họng, Bệnh viện Quân y 4 đã điều trị thành công cho một bệnh nhân nữ 76 tuổi bị viêm xoang bướm mạn tính do nấm, cứu người bệnh thoát khỏi các biến chứng nguy hiểm trong gang tấc.

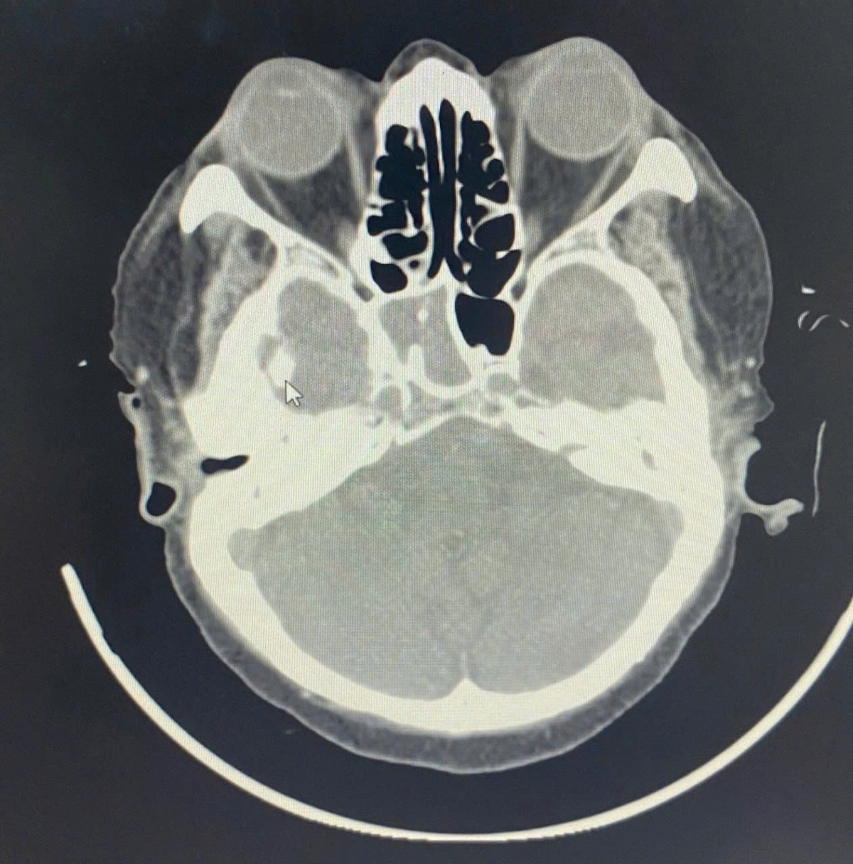
Hình ảnh chụp cắt lớp vi tính viêm xoang bướm bên phải
Hình ảnh chụp cắt lớp vi tính viêm xoang bướm bên phải

Bệnh nhân nữ, nhập viện trong tình trạng đau đầu dữ dội kéo dài suốt nhiều tuần, kèm mệt mỏi và mất ngủ, đau nhức vùng đỉnh chẩm, sau gáy, đau sâu 2 hốc mắt. Kết quả chụp cắt lớp vi tính (CT) cho thấy xoang bướm phải bị mờ đặc, tổn thương nghĩ đến nấm xoang. Đây là vị trí nằm sâu trong nền sọ, gần thần kinh thị giác và động mạch cảnh trong – nơi chỉ cần một ổ viêm lan rộng cũng có thể gây mù mắt, viêm màng não hoặc nhiễm khuẩn huyết.

Sau khi được hội chẩn và điều trị bệnh nền, bệnh nhân được phẫu thuật nội soi mũi xoang mở thông xoang bướm, dẫn lưu mủ, lấy khối nấm và bơm rửa, làm sạch ổ viêm. Sau mổ, các triệu chứng đau đầu và mệt mỏi nhanh chóng thuyên giảm, người bệnh hồi phục tốt, ăn ngủ và hoạt động bình thường.

Chia sẻ về ca bệnh này, Bác sĩ CKII Nguyễn Vũ Hiệp – Chủ nhiệm Khoa Tai Mũi Họng, Bệnh viện Quân y 4 cho biết:

“Viêm xoang bướm do nấm là một thể bệnh tương đối hiếm gặp và rất dễ bị bỏ sót trong chẩn đoán lâm sàng, nhất là ở người cao tuổi. Khi bệnh nhân chỉ có biểu hiện đau đầu sâu hoặc mờ mắt, nhiều trường hợp bị nhầm với bệnh lý thần kinh hoặc mạch máu não. Nếu không phát hiện sớm, viêm có thể lan sang ổ mắt hoặc nội sọ, gây biến chứng nguy hiểm đến tính mạng.”

Theo bác sĩ, người cao tuổi cần đặc biệt lưu ý đến những thay đổi bất thường của cơ thể, nhất là khi có bệnh nền như tăng huyết áp, đái tháo đường. Không nên chủ quan tự dùng thuốc giảm đau hay kháng sinh khi chưa có chỉ định, vì dễ che lấp triệu chứng khiến bệnh diễn biến nặng hơn.

Để bảo vệ sức khỏe và phòng tránh viêm xoang nói chung, người cao tuổi nên giữ môi trường sống trong lành, tránh khói bụi, không hút thuốc; giữ ấm cơ thể khi thời tiết thay đổi; Khám sức khỏe tai mũi họng định kỳ, đặc biệt khi có triệu chứng đau đầu kéo dài hoặc ngạt mũi thường xuyên. Đồng thời, cần kiểm soát tốt các bệnh mạn tính, ăn uống đủ chất và tập luyện nhẹ nhàng.

Ca bệnh trên là lời nhắc nhở về tầm quan trọng của việc chủ động chăm sóc và giáo dục sức khỏe cho người cao tuổi, giúp phát hiện sớm các bệnh lý tiềm ẩn, ngăn ngửa biến chứng và nâng cao chất lượng cuộc sống
Hiền Mai

Tin liên quan

Cùng chuyên mục

Bệnh viện Bình Dân: Lần đầu tiên tại Việt Nam phẫu thuật robot điều trị phổi biệt lập

Bệnh viện Bình Dân: Lần đầu tiên tại Việt Nam phẫu thuật robot điều trị phổi biệt lập

Bệnh viện Bình Dân vừa thực hiện thành công ca phẫu thuật robot cắt thùy dưới phổi trái cho một bệnh nhân mắc phổi biệt lập nội thùy – đánh dấu trường hợp đầu tiên tại Việt Nam điều trị bệnh lý này bằng công nghệ robot.
Vinmec khai trương Bệnh viện Vinmec Ocean Park 2 – Mô hình Y tế tích hợp đầu tiên tại Việt Nam

Vinmec khai trương Bệnh viện Vinmec Ocean Park 2 – Mô hình Y tế tích hợp đầu tiên tại Việt Nam

Ngày 01/03/2026, Hệ thống Y tế Vinmec chính thức khai trương bệnh viện thứ 10 - Vinmec Ocean Park 2, có tổng vốn đầu tư 1.482 tỷ đồng. Đây là bệnh viện đầu tiên triển khai mô hình tích hợp đồng bộ và tại chỗ việc điều trị - phục hồi - an dưỡng, chuyển từ “chữa bệnh đơn thuần” sang “chăm sóc toàn diện”, thiết lập chuẩn mực hoàn toàn mới trong lĩnh vực y tế chất lượng cao tại Việt Nam.
Hội thảo chính sách sửa đổi, bổ sung Luật Phòng, chống tác hại của thuốc lá

Hội thảo chính sách sửa đổi, bổ sung Luật Phòng, chống tác hại của thuốc lá

Sáng 27/2/2026, tại Hà Nội, Bộ Y tế tổ chức Hội thảo truyền thông chính sách của Dự án Luật sửa đổi, bổ sung một số điều của Luật Phòng, chống tác hại của thuốc lá.
Còn nắm tay nhau, còn niềm tin nơi phòng chạy thận

Còn nắm tay nhau, còn niềm tin nơi phòng chạy thận

Giữa những ngày cuối tháng Hai, khi mùa xuân dịu dàng ghé qua tại, Bệnh viện Đa khoa thành phố Vinh vẫn có một câu chuyện lặng lẽ khiến nhiều người không khỏi xúc động. Hai bệnh nhân chạy thận định kỳ – mỗi người chỉ còn một chân – vẫn ngày ngày nắm chặt tay nhau đi qua hành lang bệnh viện. Và bên cạnh họ, những người thầy thuốc trong màu áo blouse trắng âm thầm chăm sóc, nâng đỡ niềm tin vào sự sống.
Bệnh viện Đa khoa Thanh Chương đưa vào sử dụng hệ thống máy đo loãng xương hiện đại từ Hàn Quốc

Bệnh viện Đa khoa Thanh Chương đưa vào sử dụng hệ thống máy đo loãng xương hiện đại từ Hàn Quốc

Bệnh viện Thanh Chương tiếp tục khẳng định quyết tâm nâng cao chất lượng khám chữa bệnh khi chính thức đưa vào vận hành hệ thống máy đo mật độ xương toàn thân Osteosys SMART FAN-BEAM (Hàn Quốc). Việc đầu tư trang thiết bị hiện đại này đánh dấu bước tiến quan trọng trong công tác chẩn đoán, tầm soát và điều trị các bệnh lý cơ xương khớp, đặc biệt là bệnh loãng xương – căn bệnh đang có xu hướng gia tăng và ngày càng trẻ hóa.

Tin khác

Bộ Y tế yêu cầu chủ động phòng ngừa, không để dịch virus Nipah xâm nhập

Bộ Y tế yêu cầu chủ động phòng ngừa, không để dịch virus Nipah xâm nhập
Trước nguy cơ dịch bệnh do virus Nipah lan rộng, Bộ Y tế đã ban hành công văn khẩn yêu cầu các địa phương, cơ sở y tế, viện chuyên ngành tăng cường giám sát cửa khẩu, sẵn sàng thu dung, điều trị và kiểm soát nhiễm khuẩn nhằm ngăn chặn dịch xâm nhập Việt Nam.

Hải Phòng: Tăng cường giám sát, phòng chống bệnh do virus Nipah gây ra

Hải Phòng: Tăng cường giám sát, phòng chống bệnh do virus Nipah gây ra
Cơ quan chức năng TP Hải Phòng vừa triển khai đồng bộ các biện pháp tăng cường giám sát, phòng, chống bệnh tại các cửa ngõ vào thành phố như cảng biển, cảng hàng không.

Khẳng định vai trò đầu tàu – Hướng tới chỉ đạo tuyến bền vững, đồng bộ và chuyên sâu

Khẳng định vai trò đầu tàu – Hướng tới chỉ đạo tuyến bền vững, đồng bộ và chuyên sâu
Sáng 26/1/2026, tại Hội trường Bệnh viện Phụ Sản Trung ương – Cơ sở 2 (Thôn Ngọc Than, xã Kiều Phú, Hà Nội), Bệnh viện Phụ Sản Trung ương tổ chức Hội nghị Tổng kết công tác chỉ đạo tuyến chuyên ngành Phụ sản khu vực phía Bắc năm 2025.

Virus Nipah có tỷ lệ tử vong cao: Bộ Y tế khuyến cáo người dân không chủ quan

Virus Nipah có tỷ lệ tử vong cao: Bộ Y tế khuyến cáo người dân không chủ quan
Virus Nipah - mầm bệnh nguy hiểm có tỷ lệ tử vong cao, hiện đang ghi nhận ca mắc rải rác tại một số quốc gia châu Á.

Bệnh viện Mắt Đông Đô chuyển giao công nghệ SMILE Pro Vision ID: Cá nhân hóa điều trị tật khúc xạ bằng AI

Bệnh viện Mắt Đông Đô chuyển giao công nghệ SMILE Pro Vision ID: Cá nhân hóa điều trị tật khúc xạ bằng AI
Bệnh viện Mắt Đông Đô phối hợp Tập đoàn Carl Zeiss tổ chức Lễ chuyển giao công nghệ SMILE Pro Vision ID - bước tiến mới trong phẫu thuật tật khúc xạ công nghệ cao, ứng dụng trí tuệ nhân tạo cá nhân hóa điều trị, nâng cao độ an toàn và chất lượng thị giác lâu dài cho người bệnh.

Bệnh viện Đa khoa Thanh Chương đẩy mạnh truyền thông phòng chống đau mắt đỏ

Bệnh viện Đa khoa Thanh Chương đẩy mạnh truyền thông phòng chống đau mắt đỏ
Bệnh viện Đa khoa Thanh Chương là cơ sở y tế tuyến huyện giữ vai trò nòng cốt trong công tác chăm sóc, bảo vệ và nâng cao sức khỏe nhân dân trên địa bàn. Những năm qua, bệnh viện không ngừng nâng cao chất lượng khám chữa bệnh, đầu tư cơ sở vật chất, trang thiết bị và phát triển nguồn nhân lực y tế. Bên cạnh nhiệm vụ điều trị, bệnh viện đặc biệt chú trọng công tác y tế dự phòng, truyền thông – giáo dục sức khỏe cho người dân. Với phương châm lấy người bệnh làm trung tâm, Bệnh viện Đa khoa Thanh Chương từng bước khẳng định uy tín, đáp ứng ngày càng tốt hơn nhu cầu chăm sóc sức khỏe của cộng đồng.

Bộ trưởng Bộ Y tế Đào Hồng Lan: Chăm sóc sức khỏe nhân dân toàn diện, từ sớm, từ xa và ngay từ cơ sở

Bộ trưởng Bộ Y tế Đào Hồng Lan: Chăm sóc sức khỏe nhân dân toàn diện, từ sớm, từ xa và ngay từ cơ sở
Đại hội đại biểu toàn quốc lần thứ XIV của Đảng diễn ra từ ngày 19-25/1/2026. Phóng viên đã trao đổi với Uỷ viên Trung ương Đảng, Bộ trưởng Bộ Y tế Đào Hồng Lan về việc triển khai Nghị quyết 72-NQ/TW ngày 09/09/2025 của Bộ Chính trị, cùng các giải pháp trọng tâm nhằm tháo gỡ những điểm nghẽn kéo dài của ngành y tế, chuyển mạnh từ tư duy “chữa bệnh” sang chăm sóc sức khỏe toàn diện theo vòng đời, lấy người dân làm trung tâm.

Bệnh nhân 69 tuổi thoát khỏi sa sinh dục phức tạp sau ca phẫu thuật tại Vinmec Cần Thơ

Bệnh nhân 69 tuổi thoát khỏi sa sinh dục phức tạp sau ca phẫu thuật tại Vinmec Cần Thơ
Sau thời gian chịu đựng những cơn đau và bất tiện sinh hoạt kéo dài do tình trạng sa sinh dục gây ra, nữ bệnh nhân 69 tuổi đã tìm lại nhịp sống bình yên trước kia nhờ ca phẫu thuật phức tạp được thực hiện thành công bởi đội ngũ y bác sĩ Vinmec Cần Thơ.

iTrack Advance được chuyển giao: Nâng cao hiệu quả điều trị glôcôm

iTrack Advance được chuyển giao: Nâng cao hiệu quả điều trị glôcôm
Tiếp nhận chuyển giao kỹ thuật iTrack Advance – Bước tiến mới trong điều trị bệnh glôcôm ít xâm lấnTiếp nhận chuyển giao kỹ thuật iTrack Advance – Bước tiến mới trong điều trị bệnh glôcôm ít xâm lấn

Nguy cơ suy gan cấp từ Paracetamol nếu lạm dụng

Nguy cơ suy gan cấp từ Paracetamol nếu lạm dụng
Tự ý dùng Paracetamol liều cao trong nhiều ngày, một bệnh nhân cao tuổi ở Sơn La bị suy gan cấp nguy kịch, phải nhập viện điều trị tích cực.

Chủ động phòng ngừa bệnh phổi tắc nghẽn mạn tính khi trời rét - Lời khuyên đặc biệt cho người cao tuổi

Chủ động phòng ngừa bệnh phổi tắc nghẽn mạn tính khi trời rét - Lời khuyên đặc biệt cho người cao tuổi
Thời tiết lạnh dễ làm bệnh phổi tắc nghẽn mạn tính (COPD) bùng phát, đặc biệt ở người cao tuổi. Bài viết cập nhật dấu hiệu, cách phòng ngừa và lời khuyên từ chuyên gia y tế.

Long Châu và Sanofi Việt Nam tiên phong thu gom và tái chế nhựa từ vỉ thuốc

Long Châu và Sanofi Việt Nam tiên phong thu gom và tái chế nhựa từ vỉ thuốc
Sanofi hợp tác cùng hệ thống nhà thuốc và trung tâm tiêm chủng Long Châu tiên phong triển khai dự án “Thu gom & Tái chế nhựa từ vỉ thuốc vì tương lai xanh”, nhằm góp phần thu gom, xử lý và tái chế nhựa, giảm thiểu tác động môi trường.

EcoVadis vinh danh Long Châu thực hành phát triển bền vững hiệu quả và minh bạch

EcoVadis vinh danh Long Châu thực hành phát triển bền vững hiệu quả và minh bạch
Hệ thống nhà thuốc và trung tâm tiêm chủng Long Châu đã được Ecovadis, tổ chức xếp hạng phát triển bền vững doanh nghiệp uy tín hàng đầu thế giới, trao tặng Huy hiệu Committed (Committed Badge).

NMNPremium – Chăm sóc sức khỏe nền tảng cho người trung niên và cao tuổi

NMNPremium – Chăm sóc sức khỏe nền tảng cho người trung niên và cao tuổi
Vừa qua, tại Nhà hát Quân đội, Hội Sở hữu trí tuệ Việt Nam (VIPA) đã long trọng tổ chức Lễ trao chứng nhận “Doanh nghiệp xuất sắc trong Xây dựng và Quản lý tài sản sở hữu trí tuệ, Thương hiệu – nhãn hiệu uy tín hàng đầu Việt Nam 2025, Sản phẩm – Dịch vụ vàng uy tín chất lượng Việt Nam 2025”. Sự kiện nhằm tôn vinh các doanh nghiệp, thương hiệu và sản phẩm tiêu biểu có đóng góp nổi bật trong xây dựng thương hiệu, quản trị tài sản trí tuệ và phát triển bền vững.

Cảm lạnh ở người cao tuổi: Đừng chủ quan với những biến chứng nguy hiểm

Cảm lạnh ở người cao tuổi: Đừng chủ quan với những biến chứng nguy hiểm
Cảm lạnh ở người cao tuổi có thể dẫn tới viêm phổi, làm nặng bệnh nền và gây biến chứng nguy hiểm nếu chủ quan.
Xem thêm
Giải pháp điều trị thoái hóa khớp gối cho người bệnh cao tuổi

Giải pháp điều trị thoái hóa khớp gối cho người bệnh cao tuổi

Bệnh viện đa khoa tỉnh Thanh Hóa vừa phẫu thuật thành công bệnh nhân 76 tuổi bị thoái hóa khớp gối bằng phương pháp thay khớp gối toàn phần bảo toàn cơ.
Chủ động phòng ngừa bệnh phổi tắc nghẽn mạn tính khi trời rét - Lời khuyên đặc biệt cho người cao tuổi

Chủ động phòng ngừa bệnh phổi tắc nghẽn mạn tính khi trời rét - Lời khuyên đặc biệt cho người cao tuổi

Thời tiết lạnh dễ làm bệnh phổi tắc nghẽn mạn tính (COPD) bùng phát, đặc biệt ở người cao tuổi. Bài viết cập nhật dấu hiệu, cách phòng ngừa và lời khuyên từ chuyên gia y tế.
Vinmec Phú Quốc cứu sống bệnh nhân cao tuổi người Đức tính mạng “ngàn cân treo sợi tóc”

Vinmec Phú Quốc cứu sống bệnh nhân cao tuổi người Đức tính mạng “ngàn cân treo sợi tóc”

Một bệnh nhân 81 tuổi người Đức nhập viện trong tình trạng rối loạn nhịp tim nặng, tụt huyết áp sâu và tăng kali máu, nguy cơ ngừng tim đã được cấp cứu thành công tại Bệnh viện Đa khoa Vinmec Phú Quốc. Kết quả điều trị khẳng định năng lực xử trí các tình
Sau kỳ nghỉ Tết, người cao tuổi cần chủ động tầm soát sức khỏe

Sau kỳ nghỉ Tết, người cao tuổi cần chủ động tầm soát sức khỏe

Tết Nguyên đán là dịp sum họp, vui xuân, nhưng cũng là khoảng thời gian nhiều người cao tuổi xao nhãng việc dùng thuốc, ăn uống thiếu kiểm soát, thức khuya, ít vận động. Không ít trường hợp sau kỳ nghỉ xuất hiện tăng huyết áp, rối loạn đường huyết, tái phát bệnh tim mạch hoặc nhập viện vì đột quỵ, suy tim, biến chứng đái tháo đường.
Vinmec Nha Trang cứu bệnh nhân nước ngoài cao tuổi sốc tim, nguy cơ đột tử cận kề

Vinmec Nha Trang cứu bệnh nhân nước ngoài cao tuổi sốc tim, nguy cơ đột tử cận kề

Nhập viện trong tình trạng sốc tim nặng do nhồi máu cơ tim cấp, nguy cơ tử vong rất cao, bệnh nhân người Trung Quốc 79 tuổi đã được các bác sĩ Bệnh viện Đa khoa Vinmec Nha Trang cứu sống ngoạn mục nhờ phối hợp nhiều kỹ thuật can thiệp tim mạch phức tạp.
Ba lần phẫu thuật cứu cụ ông mắc hai bệnh ung thư

Ba lần phẫu thuật cứu cụ ông mắc hai bệnh ung thư

Ở tuổi 70, ông Đông bất ngờ phát hiện mắc cùng lúc ung thư hạ họng, ung thư thực quản và phì đại tuyến tiền liệt. Các bác sĩ Bệnh viện Đa khoa Quốc tế Vinmec Times City đã tiến hành liên tiếp 3 ca phẫu thuật nội soi ít xâm lấn, vừa triệt căn ung thư, vừa
Phiên bản di động